兔单克隆提供服务
• 蛋白、多肽、小分子抗原
• 客户抗原或委托表达
• 克隆数要求
• 应用验收指标要求
•表达抗体要求
兔单克隆抗体服务流程

如果您有正在进行的项目,请联系我们了解如何向我们提供新鲜的脾脏或外周血用于 B 细胞分离。
平台特色
![]() |
![]() |
新品上线
| Recombinant IL6 Rabbit mAb(G12) #58001 | |
![]() |
![]() |
| 检测灵敏度: <0.5pg/ml Human IL-6 ELISA Standard Curve Detection Antibody (G12):58001 |
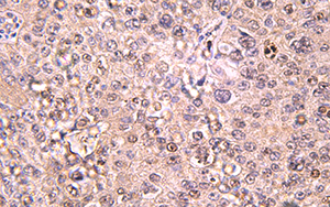
Immunohistochemical analysis of paraffin-embedded human lung cancer tissue |
| Recombinant Tau(Phospho-Thr181) Rabbit mAb(G69) #58002 |
Recombinant Tau(Phospho-Thr217) Rabbit mAb(G122) #58004 |
![]() |
![]() |
| Western blot analysis of extracts from 293 cells, transfected with Tau and treated with calf intestinal phosphatase (CIP) using Tau(Phospho-Thr181) Rabbit mAb. | Western blot analysis of extracts from 293 cells, transfected with Tau and treated with calf intestinal phosphatase (CIP) using Tau(Phospho-Thr217) Rabbit mAb. |






