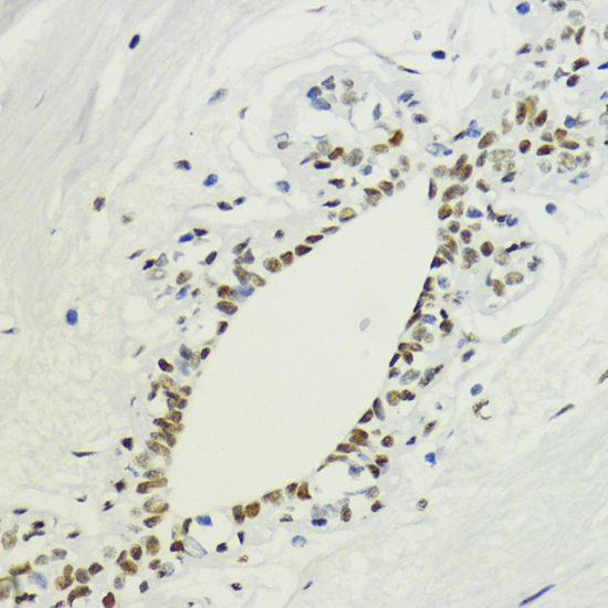
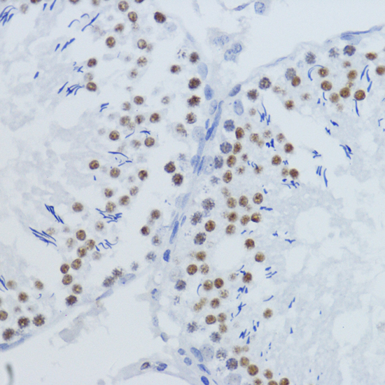
简述:Rabbit Polyclonal
应用:WB,IHC,IF
种属反应性:Human,Mouse,Rat,Other (Wide Range)
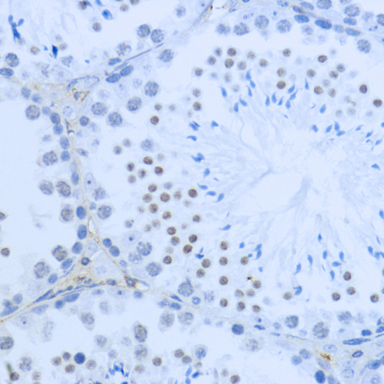
简述:Rabbit Polyclonal
应用:WB,IHC,IF
种属反应性:Human,Mouse,Rat,Other (Wide Range)
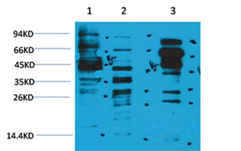
简述:Rabbit Polyclonal Ab
应用:WB;IHC;IF;IP;ELISA
种属反应性:Human;Mouse;Rat;Monkey;Arabidopsis thaliana
简述:Rabbit Polyclonal Ab
应用:WB
种属反应性:
简述:Rabbit Polyclonal
应用:WB ELISA
种属反应性:Human
简述:Rabbit Polyclonal
应用:WB ELISA
种属反应性:Human
简述:Rabbit Polyclonal
应用:WB ELISA
种属反应性:Human
简述:Rabbit Polyclonal
应用:WB ELISA
种属反应性:Human
简述:Rabbit Polyclonal
应用:WB ELISA
种属反应性:Human
简述:Rabbit Polyclonal
应用:WB ELISA
种属反应性:Human
简述:Rabbit Polyclonal
应用:WB ELISA
种属反应性:Human