简述:Rabbit Polyclonal
应用:WB
种属反应性:Human
简述:Rabbit Polyclonal
应用:WB
种属反应性:Human
简述:Rabbit Polyclonal
应用:IHC
种属反应性:Human
简述:Rabbit Polyclonal
应用:WB
种属反应性:Human
简述:Rabbit Polyclonal
应用:WB IHC
种属反应性:Human
简述:Rabbit Polyclonal
应用:WB
种属反应性:Human
简述:Rabbit Polyclonal
应用:WB,IHC
种属反应性:Human, Mouse, Rat,Bovine,Monkey,Pig
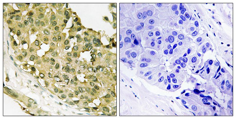
简述:Rabbit Polyclonal
应用:IHC
种属反应性:Human
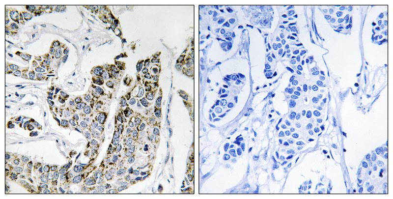
简述:Rabbit Polyclonal
应用:IHC
种属反应性:Human
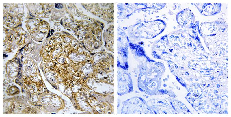
简述:Rabbit Polyclonal
应用:IHC
种属反应性:Human
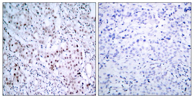
简述:Rabbit Polyclonal
应用:IHC
种属反应性:Human