简述:Rabbit Polyclonal
应用:WB
种属反应性:Human
简述:Rabbit Polyclonal
应用:WB
种属反应性:Human
简述:Rabbit Polyclonal
应用:WB;IHC;IF
种属反应性:Human;Mouse
简述:Rabbit Polyclonal
应用:IHC
种属反应性:Human
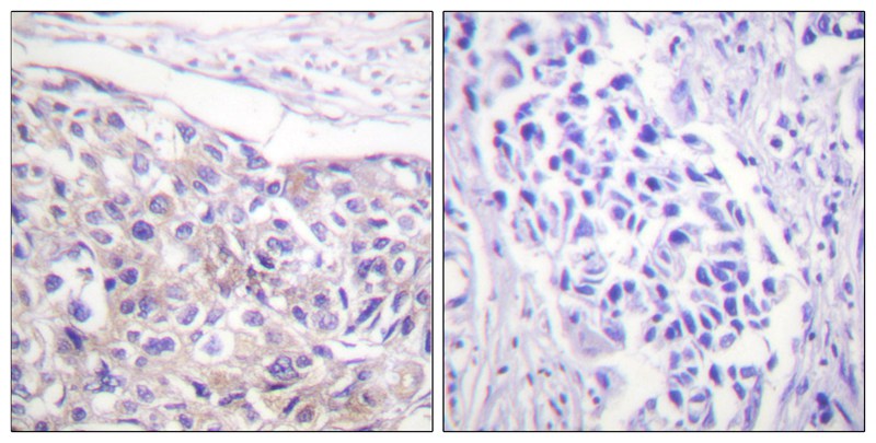
简述:Rabbit Polyclonal
应用:WB IHC
种属反应性:Human
简述:Rabbit Polyclonal
应用:WB
种属反应性:Human
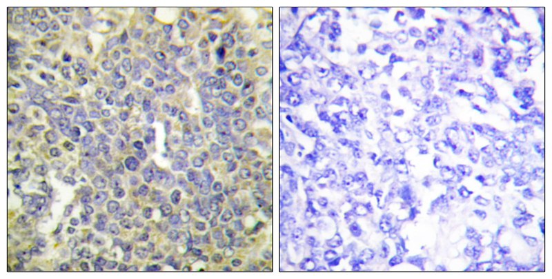
简述:Rabbit Polyclonal
应用:WB IHC
种属反应性:Human
简述:Rabbit Polyclonal
应用:WB
种属反应性:Human
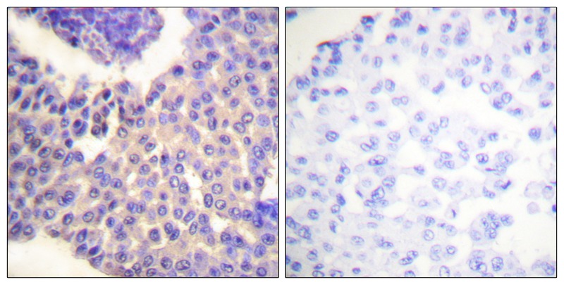
简述:Rabbit Polyclonal
应用:WB IHC
种属反应性:Human
简述:Rabbit Polyclonal
应用:WB IHC
种属反应性:Human
简述:Rabbit Polyclonal
应用:WB
种属反应性:Human