免费电话:400-9961-933
邮箱:info@sabbiotech.com
欢迎光临本站
川博智能体 English
位置: 首页 > 磷酸化抗体 > GSK3β(Phospho-Ser9) Antibody

GSK3β(Phospho-Ser9) Antibody #11002

是否有货: 有货
产品详情

产品名称GSK3β(Phospho-Ser9) Antibody

来源种属Rabbit

克隆性Polyclonal

纯化Antibodies were produced by immunizing rabbits with synthetic phosphopeptide and KLH conjugates. Antibodies were purified by affinity-chromatography using epitope-specific phosphopeptide. Non-phospho specific antibodies were removed by chromatogramphy using non-phosphopeptide.

应用WB IHC IF

种属反应性Human;Mouse;Rat

特异性The antibody detects endogenous level of GSK3 beta only when phosphorylated at serine 9.

免疫原类型Peptide-KLH

免疫原描述Synthesized phospho-peptide around the phosphorylation site of human GSK3β (phospho Ser9)

基因/蛋白名称GSK3β

标记Unconjugated

别名Factor A, GSK-3 beta, Protein kinase GSK-3-beta, kinase GSK-3 beta

数据库入口号Swiss-Prot: P49841
NCBI Protein: NP_x.1

Uniprot P49841

计算分子量46 kDa

实际分子量46 kDa

浓度1.0mg/ml

配方Liquid in PBS containing 50% glycerol, 0.5% BSA and 0.02% sodium azide.

保存Store at -20°C for long term preservation (recommended). Avoid Store at 4°C for short term use.

应用详情

Predicted MW: 46kd
Western blotting: 1:500~1:1000
Immunohistochemistry: 1:50~1:100
Immunofluorescence: 1:100~1:200

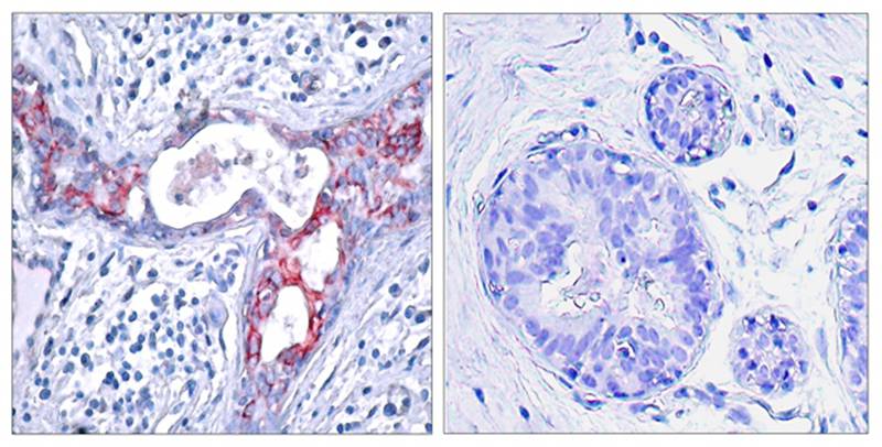
Immunohistochemical analysis of paraffin-embedded human breast carcinoma tissue using GSK3β (Phospho-Ser9) Antibody #11002 (left) or the same antibody preincubated with blocking peptide (right).
Immunofluorescence staining of methanol-fixed Hela cells showing cytoplasmic staining using GSK3β(Phospho-Ser9) Antibody #11002.
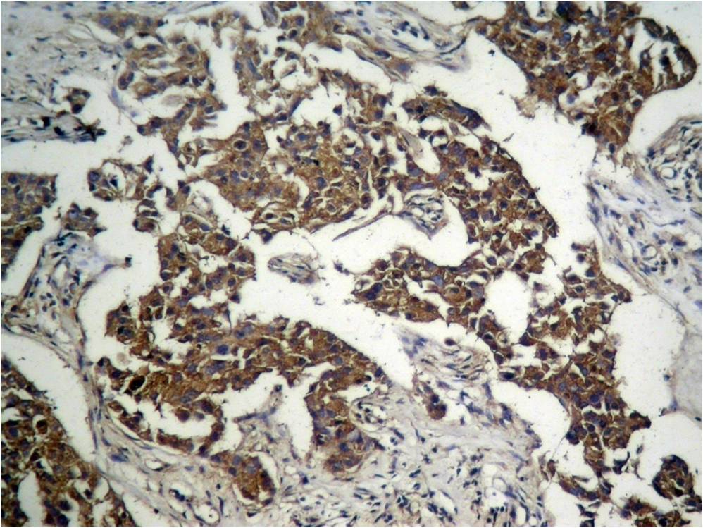
Immunohistochemical analysis of paraffin-embedded human Lung carcinoma tissue using GSK3β (Phospho-Ser9) Antibody #11002.
Immunofluorescence staining of methanol-fixed Hela cells showing cytoplasmic staining using GSK3β (Phospho-Ser9) Antibody #11002.
All lanes : GSK3β(Phospho-Ser9) Antibody at 1/500 dilution
Lane 1 : Hela whole cell lysates
Lane 2 : Hela treated with calf intestinal phosphatase (CIP) whole cell lysates
Lane 3 : Hela treated with 100ng/mL EGF for 20 minutes whole cell lysates
Lane 4 : 293 whole cell lysates
Lane 5 : 293 treated with serum for 30min whole cell lysates
Lysates/proteins at 20 µg per lane.
Secondary
All lanes : Goat Anti-Rabbit IgG H&L (HRP) at 1/20000 dilution
Predicted band size: 46 kDa
Observed band size: 46 kDa
Exposure time: 5 seconds

Participates in the Wnt signaling pathway. Implicated in the hormonal control of several regulatory proteins including glycogen synthase, MYB and the transcription factor JUN. Phosphorylates JUN at sites proximal to its DNA-binding domain, thereby reducing its affinity for DNA. Phosphorylates MUC1 in breast cancer cells, and decreases the interaction of MUC1 with CTNNB1/beta-catenin. Phosphorylates CTNNB1/beta-catenin.

Fan G, et al. (2003) J Biol Chem. 278(52): 52432-52436.
Barry FA, et al. (2003) FEBS Lett. 553(1-2): 173-178.
Welsh, et al. (1996) Trends Cell Biol. 6: 274-279.
Srivastava A K, et al. (1998) Mol Cell Biochem. 182: 135-141.

如果您使用该产品11002发表了文章,请通知我们,让我们可以引用您的文献。

et al,LIPUS Enhance Elongation of Neurites in Rat Cortical Neurons through Inhibition of GSK-3娄脗. , (2010),
PMID: 20708505
et al,B-N-methylamino-l-alanine causes neurological andpathological phenotypes mimicking Amyotrophic LateralSclerosis (ALS): The first step towards an experimentalmodel for sporadic ALS. , (2013),
PMID: 23688553
et al,Protective effects of lithium treatment for spatial memory deficits induced by tau hyperphosphorylation in splenectomized rats. , (2010),
PMID: 20659131
et al,Accumulation of 娄脗-catenin by lithium chloride in porcine myoblast cultures accelerates cell differentiation. , (2011),
PMID: 20857211
et al,Signal regulatory protein 娄脕 negatively regulates mast-cell activation following Fc娄脜RI aggregation. , (2013),
PMID: 23504624
et al,Periostin secreted by cancer-associated fibroblasts promotes cancer stemness in head and neck cancer by activating protein tyrosine kinase 7.In Cell Death Dis.On 2018 Oct 22 by Yu B, Wu K et al..PMID: 30348980 , (2018),
PMID: 30348980
et al,Epithelial Cells Attenuate Toll-Like Receptor-Mediated Inflammatory Responses in Monocyte-Derived Macrophage-Like Cells to Mycobacterium tuberculosis by Modulating the PI3K/Akt/mTOR Signaling Pathway.In Mediators Inflamm.On 2018 Sep by Yang Y, Sun Y et al..PMID:30356420 , (2018),
PMID: 30356420
查看更多
et al,Protective effects of lithium treatment for spatial memory deficits induced by tau hyperphosphorylation in splenectomized rats.In Clin Exp Pharmacol Physiol on 2010 Oct by Tan WF, Cao XZ,et al..PMID:20659131 , (2010),
PMID: 20659131
et al,LIPUS Enhance Elongation of Neurites in Rat Cortical Neurons Through Inhibition of GSK-3beta.In Biomed Environ Sci on 2010 Jun by Cong Ren, Jia-Mou Li, et al..PMID:20708505 , (2010),
PMID: 20708505
et al,Quantitative proteomics reveals that miR-155 regulates the PI3K-AKT pathway in diffuse large B-cell lymphoma. In Am J Pathol on 2012 Jul by Huang X, Shen Y,et al..PMID:22609116 , (2012),
PMID: 22609116
et al,Accumulation of 尾-Catenin by Lithium Chloride in Porcine Myoblast Cultures Accelerates Cell Differentiation.In Mol Biol Rep on 2011 Mar by Yingjuan Yang, Jinzeng Yang,et al..PMID:20857211 , (2011),
PMID: 20857211
et al,Phosphoproteome analysis reveals an important role for glycogen synthase kinase-3 in perfluorododecanoic acid-induced rat liver toxicity. In Toxicol Lett on 2013 Mar 27 by Hongxia Zhang, Junjie Hou, et al..PMID: 23353032 , (2013),
PMID: 23353032
et al,尾-N-methylamino-l-alanine causes neurological and pathological phenotypes mimicking Amyotrophic Lateral Sclerosis (ALS): The first step towards an experimental model for sporadic ALS. In Environ Toxicol Pharmacol on 2013 Sep by Estefan铆a de Munck, Emma Mu帽oz-S谩ez, et al..PMID: 23688553 , (2013),
PMID: 23688553
et al,Signal regulatory protein 伪 negatively regulates mast鈥恈ell activation following Fc蔚RI aggregation. In Eur J Immunol on 2013 Jun by Yu-fei Pan, Li-wei Dong, et al..PMID: 23504624 , (2013),
PMID: 23504624
et al,Gastrokine-2 suppresses epithelial mesenchymal transition through PI3K/AKT/GSK3尾 signaling in gastric cancer.In Tumour Biol.On 2016 Sep by Dai J, Qian C et al..PMID:27323966 , (2016),
PMID: 27323966
et al, Overexpression of astrocyte-elevated gene-1 is associated with ovarian cancer development and progression.In Mol Med Rep on 2015 Apr by Bo Zhou , Jue Yang et al..PMID:25483832 , (2015),
PMID: 25483832
et al,Fumosorinone, a Novel PTP1B Inhibitor, Activates Insulin Signaling in Insulin-Resistance HepG2 Cells and Shows Anti-Diabetic Effect in Diabetic KKAy Mice .In Toxicol Appl Pharmacol On 2015 May 15 by Zhi-Qin Liu , Ting Liu et al..PMID: 25796170 , (2015),
PMID: 25796170
et al,A 尾1/2 Adrenergic Receptor鈥怱ensitive Intracellular Signaling Pathway Modulates CCL2 Production in Cultured Spinal Astrocytes.In J Cell Physiol on 2014 Mar by Norimitsu Morioka , Hiromi Abe et al..PMID:24037783 , (2014),
PMID: 24037783
et al, SNAILs promote G1 phase in selected cancer cells.In Int J Oncol on 2015 Nov by Ya-Lan Wu , Jian-Xin Xue et al ..PMID:26352801 , (2015),
PMID: 26352801
et al,Nuclear factor E2-related factor 2 knockdown enhances glucose uptake and alters glucose metabolism in AML12 hepatocytes , (2017),
PMID: 28440735
et al,hERG activators exhibit antitumor effects in breast cancer through calcineurin and β-catenin-mediated signaling pathways. , (2025),
PMID: 39917621

注释

应用

  • WB免疫印迹
  • IHC免疫组化
  • IF免疫荧光
  • ICC免疫细胞化学
  • FC流式细胞
  • IP免疫沉淀
  • E酶联免疫吸附法
  • DB免疫斑点法
  • ChIP染色质免疫沉淀
  • GICA胶体金免疫层析法
  • NC阴性对照

种属反应性

  • Hu
  • Ms小鼠
  • Rt大鼠
  • Dm果蝇
  • C线虫
  • Mk
  • Rb
  • B
  • D
  • P
  • Hm仓鼠
  • ChHm中国仓鼠
  • Chk
;

联系我们

Location :

南京市高新开发区星火路10号人才大厦C座

Phone :

400-9961-933
025-58868422

Email Address

info@sabbiotech.com