免费电话:400-9961-933
邮箱:info@sabbiotech.com
欢迎光临本站
川博智能体 English
位置: 首页 > 磷酸化抗体 > c-Jun(Phospho-Ser73) Antibody

c-Jun(Phospho-Ser73) Antibody #11003

是否有货: 有货
产品详情

产品名称c-Jun(Phospho-Ser73) Antibody

来源种属Rabbit

克隆性Polyclonal

亚型IgG

纯化Antibodies were produced by immunizing rabbits with synthetic phosphopeptide and KLH conjugates. Antibodies were purified by affinity-chromatography using epitope-specific phosphopeptide. Non-phospho specific antibodies were removed by chromatogramphy using non-phosphopeptide.

应用WB IHC

种属反应性Human;Mouse;Rat

特异性The antibody detects endogenous level of c-Jun only when phosphorylated at serine 73.

免疫原类型Peptide-KLH

免疫原描述Peptide sequence around phosphorylation site of serine 73 (L-A-S(p)-P-E) derived from Human c-Jun.

基因/蛋白名称c-Jun

标记Unconjugated

别名AH119; AP1; Jun A; c-Jun; p39

数据库入口号Swiss-Prot: P05412
NCBI Protein: NP_002219.1

Uniprot P05412

计算分子量36 kDa

实际分子量43 kDa

浓度1.0mg/ml

配方Supplied at 1.0mg/mL in phosphate buffered saline (without Mg2+ and Ca2+), pH 7.4, 150mM NaCl, 0.02% sodium azide and 50% glycerol.

保存Store at -20°C for long term preservation (recommended). Store at 4°C for short term use.

应用详情

Predicted MW: 43kd
Western blotting: 1:500~1:1000
Immunohistochemistry: 1:50~1:100

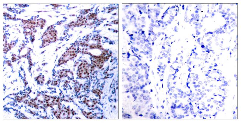
Immunohistochemical analysis of paraffin-embedded human breast carcinoma tissue using c-Jun(Phospho-Ser73) Antibody #11003(left) or the same antibody preincubated with blocking peptide(right).
All lanes : c-Jun(Phospho-Ser73) Antibody at 1/500 dilution
Lane 1 : PC14 whole cell lysates
Lane 2 : PC14 treated with 100ng/mL EGF for 20 minutes whole cell lysates
Lane 3 : C6 whole cell lysates
Lane 4 : C6 treated with 200 nM PMA for 20 minutes whole cell lysate
Lane 5 : C6 treated with calf intestinal phosphatase (CIP) whole cell lysates
Lysates/proteins at 20 µg per lane.
Secondary
All lanes : Goat Anti-Rabbit IgG H&L (HRP) at 1/20000 dilution
Predicted band size: 36 kDa
Observed band size: 43 kDa
Exposure time: 6 seconds

Transcription factor that recognizes and binds to the enhancer heptamer motif 5'-TGA[CG]TCA-3'.

如果您使用该产品11003发表了文章,请通知我们,让我们可以引用您的文献。

et al,Increase in claudin-2 expression by an EGFR/MEK/ERK/c-Fos pathway in lung adenocarcinoma A549 cells. In Biochim Biophys Acta on 2012 Jun by Akira Ikari, Tomonari Sato, et al..PMID: 22546605 , (2012),
PMID: 22546605
et al,The pivotal role of SUMO-1-JNK-Tau axis in an in vitro model of oxidative stress counteracted by the protective effect of curcumin. In Biochem Pharmacol on 2020 Aug by Lucia Buccarello, Jessica Dragotto, et al..PMID:32502496 , (2020),
PMID: 32502496
et al,Differential apoptosis gene expressions of rhabdomyosarcoma cells in response to enterovirus 71 infection.In BMC Infect Dis on 2012 Nov 28 by Shi W, Li X,et al..PMID:23191987 , (2012),
PMID: 23191987

注释

应用

  • WB免疫印迹
  • IHC免疫组化
  • IF免疫荧光
  • ICC免疫细胞化学
  • FC流式细胞
  • IP免疫沉淀
  • E酶联免疫吸附法
  • DB免疫斑点法
  • ChIP染色质免疫沉淀
  • GICA胶体金免疫层析法
  • NC阴性对照

种属反应性

  • Hu
  • Ms小鼠
  • Rt大鼠
  • Dm果蝇
  • C线虫
  • Mk
  • Rb
  • B
  • D
  • P
  • Hm仓鼠
  • ChHm中国仓鼠
  • Chk
;

联系我们

Location :

南京市高新开发区星火路10号人才大厦C座

Phone :

400-9961-933
025-58868422

Email Address

info@sabbiotech.com