免费电话:400-9961-933
邮箱:info@sabbiotech.com
欢迎光临本站
川博智能体 English
位置: 首页 > 磷酸化抗体 > PDK1(Phospho-Ser241) Antibody

PDK1(Phospho-Ser241) Antibody #11005

是否有货: 有货
产品详情

产品名称PDK1(Phospho-Ser241) Antibody

来源种属Rabbit

克隆性Polyclonal

纯化Antibodies were produced by immunizing rabbits with synthetic phosphopeptide and KLH conjugates. Antibodies were purified by affinity-chromatography using epitope-specific phosphopeptide. Non-phospho specific antibodies were removed by chromatogramphy using non-phosphopeptide.

应用WB IHC IF

种属反应性Human;Mouse;Rat

特异性The antibody detects endogenous level of PDK1 only when phosphorylated at serine 241.

免疫原类型Peptide-KLH

免疫原描述Peptide sequence around phosphorylation site of serine 241 (A-N-S(p)-F-V) derived from Human PDK1.

基因/蛋白名称PDK1

标记Unconjugated

别名PDPK1; PkB kinase; Protein kinase B kinase; hPDK1; kinase PDK1

数据库入口号Swiss-Prot: O15530
NCBI Protein: NP_002604.1

Uniprot O15530

浓度1.0mg/ml

配方Supplied at 1.0mg/mL in phosphate buffered saline (without Mg2+ and Ca2+), pH 7.4, 150mM NaCl, 0.02% sodium azide and 50% glycerol.

保存Store at -20°C for long term preservation (recommended). Store at 4°C for short term use.

应用详情
Predicted MW: 63kd
Western blotting: 1:500~1:1000
Immunohistochemistry: 1:50~1:100
Immunofluorescence: 1:100~1:200
Western blot analysis of extracts from 293 and PC12 cells untreated or treated with EGF using PDK1(Phospho-Ser241) Antibody #11005.
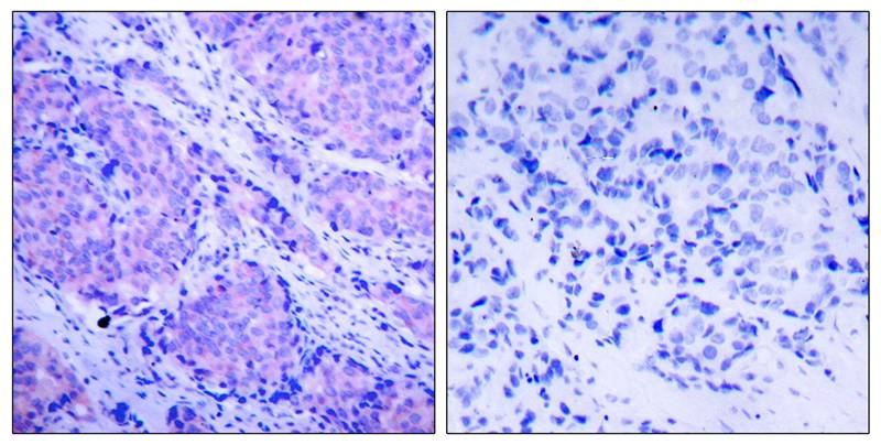
Immunohistochemical analysis of paraffin-embedded human breast carcinoma tissue using PDK1(Phospho-Ser241) Antibody #11005(left) or the same antibody preincubated with blocking peptide(right).
Immunofluorescence staining of methanol-fixed Hela cells using PDK1(Phospho-Ser241) Antibody #11005.
Phosphorylates and activates not only PKB/AKT, but also PKA, PKC-zeta, RPS6KA1 and RPS6KB1. May play a general role in signaling processes and in development.

Scheid MP,et al. (2005)Mol Cell Biol; 25(6): 2347-63
Chen H, et al. (2001) Biochemistry; 40(39): 11851-9
Sato S,et al. (2002) J Biol Chem; 277(42): 39360-7
Lim MA, et al.(2003)Proc Natl Acad Sci U S A; 100(24): 14006-11

如果您使用该产品11005发表了文章,请通知我们,让我们可以引用您的文献。

et al,Activation of Mammalian Target of Rapamycin Pathway Confers Adverse Outcome in Nonsmall Cell Lung Carcinoma. , (2011),
PMID: 21387259
et al,Activation of mammalian target of rapamycin pathway confers adverse outcome in nonsmall cell lung carcinoma锟?In Cancer on 2011 Aug 15 by Dan Liu, Yi Huang, et al..PMID:21387259 , (2011),
PMID: 21387259
et al,Phosphoproteome analysis reveals an important role for glycogen synthase kinase-3 in perfluorododecanoic acid-induced rat liver toxicity. In Toxicol Lett on 2013 Mar 27 by Hongxia Zhang, Junjie Hou, et al..PMID: 23353032 , (2013),
PMID: 23353032
et al,Notch-induced hIL-6 production facilitates the maintenance of self-renewal of hCD34+ cord blood cells through the activation of Jak-PI3K-STAT3 pathway. In Am J Pathol on 2012 Jan by Bongkum Choi, Eunyoung Chun, et al..PMID:22062221 , (2012),
PMID: 22062221

注释

应用

  • WB免疫印迹
  • IHC免疫组化
  • IF免疫荧光
  • ICC免疫细胞化学
  • FC流式细胞
  • IP免疫沉淀
  • E酶联免疫吸附法
  • DB免疫斑点法
  • ChIP染色质免疫沉淀
  • GICA胶体金免疫层析法
  • NC阴性对照

种属反应性

  • Hu
  • Ms小鼠
  • Rt大鼠
  • Dm果蝇
  • C线虫
  • Mk
  • Rb
  • B
  • D
  • P
  • Hm仓鼠
  • ChHm中国仓鼠
  • Chk
;

联系我们

Location :

南京市高新开发区星火路10号人才大厦C座

Phone :

400-9961-933
025-58868422

Email Address

info@sabbiotech.com