免费电话:400-9961-933
邮箱:info@sabbiotech.com
欢迎光临本站
川博智能体 English
位置: 首页 > 磷酸化抗体 > GSK3a(Phospho-Ser21) Antibody

GSK3a(Phospho-Ser21) Antibody #11007

是否有货: 有货
产品详情

产品名称GSK3a(Phospho-Ser21) Antibody

来源种属Rabbit

克隆性Polyclonal

纯化Antibodies were produced by immunizing rabbits with synthetic phosphopeptide and KLH conjugates. Antibodies were purified by affinity-chromatography using epitope-specific phosphopeptide. Non-phospho specific antibodies were removed by chromatogramphy using non-phosphopeptide.

应用WB IHC IF

种属反应性Human;Mouse;Rat

特异性The antibody detects endogenous level of GSK3a only when phosphorylated at serine 21and does not detect GSK-3b when phosphorylated at Ser9.

免疫原类型Peptide-KLH

免疫原描述Peptide sequence around phosphorylation site of serine 21 (T-S-S(p)-F-A) derived from Human GSK3a.

基因/蛋白名称GSK3a

标记Unconjugated

别名Factor A; GSK-3 alpha; kinase GSK3-alpha

数据库入口号Swiss-Prot: P49840
NCBI Protein: NP_063937.2

Uniprot P49840

浓度1.0mg/ml

配方Supplied at 1.0mg/mL in phosphate buffered saline (without Mg2+ and Ca2+), pH 7.4, 150mM NaCl, 0.02% sodium azide and 50% glycerol.

保存Store at -20°C for long term preservation (recommended). Store at 4°C for short term use.

应用详情

Predicted MW: 51kd
Western blotting: 1:500~1:1000
Immunohistochemistry: 1:50~1:100
Immunofluorescence: 1:100~1:200

Western blot analysis of extracts from 293 cells untreated(lane 1) or treated with serum(lane 2) using GSK3a(Phospho-Ser21) Antibody #11007.
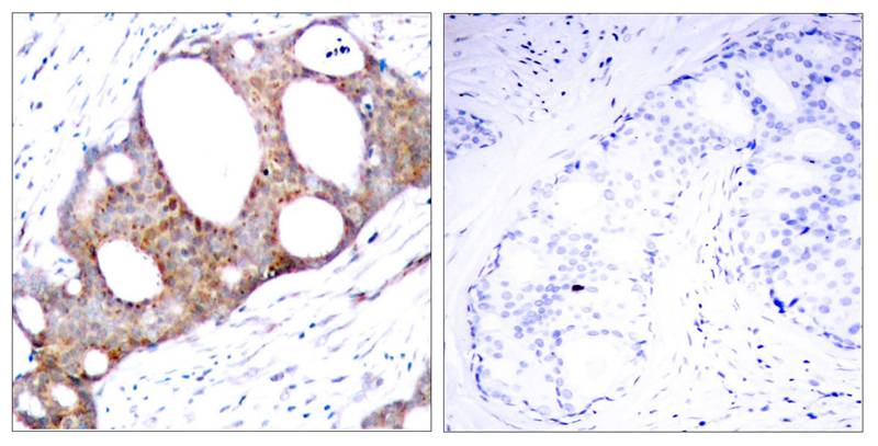
Immunohistochemical analysis of paraffin-embedded human breast carcinoma tissue using GSK3a(Phospho-Ser21) Antibody #11007(left) or the same antibody preincubated with blocking peptide(right).
Immunofluorescence staining of methanol-fixed Hela cells showing cytoplasmic staining using GSK3a(Phospho-Ser21) Antibody #11007.
Western blot analysis of extracts from 293 cells, treated with insulin or calf intestinal phosphatase (CIP), using GSK3α (Phospho-Ser21) Antibody #11007.

Implicated in the hormonal control of several regulatory proteins including glycogen synthase, MYB and the transcription factor JUN.

Barry FA, et al. (2003) FEBS Lett. 553(1-2): 173-178.
Koivisto L, et al. (2003) J Cell Sci. 116(Pt 18): 3749-3760.
Welsh G I, et al. (1996) Trends Cell Biol. 6:274-279.
Srivastava A K, et al. (1998) Mol. Cell. Biochem. 182: 135-141.

如果您使用该产品11007发表了文章,请通知我们,让我们可以引用您的文献。

et al,Down-regulation of JAK1 by RNA interference inhibits growth of the lung cancer cell line A549 and interferes with the PI3K/mTOR pathway. , (2011),
PMID: 21861134
et al,Down-regulation of JAK1 by RNA interference inhibits growth of the lung cancer cell line A549 and interferes with the PI3K/mTOR pathway. In J Cancer Res Clin Oncol on 2011 Nov by Dan Liu, Yi Huang, et al..PMID:21861134 , (2011),
PMID: 21861134

注释

应用

  • WB免疫印迹
  • IHC免疫组化
  • IF免疫荧光
  • ICC免疫细胞化学
  • FC流式细胞
  • IP免疫沉淀
  • E酶联免疫吸附法
  • DB免疫斑点法
  • ChIP染色质免疫沉淀
  • GICA胶体金免疫层析法
  • NC阴性对照

种属反应性

  • Hu
  • Ms小鼠
  • Rt大鼠
  • Dm果蝇
  • C线虫
  • Mk
  • Rb
  • B
  • D
  • P
  • Hm仓鼠
  • ChHm中国仓鼠
  • Chk
;

联系我们

Location :

南京市高新开发区星火路10号人才大厦C座

Phone :

400-9961-933
025-58868422

Email Address

info@sabbiotech.com