免费电话:400-9961-933
邮箱:info@sabbiotech.com
欢迎光临本站
川博智能体 English
位置: 首页 > 磷酸化抗体 > c-Jun(Phospho-Ser243) Antibody

c-Jun(Phospho-Ser243) Antibody #11025

是否有货: 有货
产品详情

产品名称c-Jun(Phospho-Ser243) Antibody

来源种属Rabbit

克隆性Polyclonal

纯化Antibodies were produced by immunizing rabbits with synthetic phosphopeptide and KLH conjugates. Antibodies were purified by affinity-chromatography using epitope-specific phosphopeptide. Non-phospho specific antibodies were removed by chromatogramphy using non-phosphopeptide.

应用WB IHC

种属反应性Human;Mouse;Rat

特异性The antibody detects endogenous level of c-Jun only when phosphorylated at serine 243.

免疫原类型Peptide-KLH

免疫原描述Peptide sequence around phosphorylation site of serine 243 (P-L-S(p)-P-I) derived from Human c-Jun.

基因/蛋白名称c-Jun

标记Unconjugated

别名AH119; AP1; Jun A; c-Jun; p39

数据库入口号Swiss-Prot: P05412
NCBI Protein: NP_002219.1

Uniprot P05412

浓度1.0mg/ml

配方Supplied at 1.0mg/mL in phosphate buffered saline (without Mg2+ and Ca2+), pH 7.4, 150mM NaCl, 0.02% sodium azide and 50% glycerol.

保存Store at -20°C for long term preservation (recommended). Store at 4°C for short term use.

应用详情
Predicted MW: 43kd
Western blotting: 1:500~1:1000
Immunohistochemistry: 1:50~1:100
Western blot analysis of extracts from sorbitol-treated 293, Serum-treated C2C12 and UV-treated HepG2 cells using c-Jun(Phospho-Ser243) Antibody #11025.
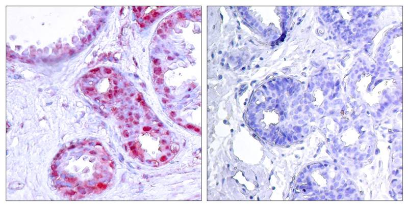
Immunohistochemical analysis of paraffin-embedded human breast carcinoma tissue using c-Jun(Phospho-Ser243) Antibody #11025(left) or the same antibody preincubated with blocking peptide(right).
Transcription factor that recognizes and binds to the enhancer heptamer motif 5'-TGA[CG]TCA-3'.

Boyle W J, et al. (1991) Cell. 64(3): 573-584.
Binetruy B, et al. (1991) Nature. 351: 122-127.
Smeal T, et al. (1991) Nature. 354:494-496.
Derijard B, et al. (1994) Cell. 76:1025-1037.
Kyriakis J M, et al. (1994) Nature. 369: 156-160.

如果您使用该产品11025发表了文章,请通知我们,让我们可以引用您的文献。

et al,Oncogenic functions of secreted Frizzled-related protein 2 in human renal cancer. In Mol Cancer Ther on 2010 Jun by Soichiro Yamamura, Kazumori Kawakami, et al..PMID: 20501806 , (2010),
PMID: 20501806

注释

应用

  • WB免疫印迹
  • IHC免疫组化
  • IF免疫荧光
  • ICC免疫细胞化学
  • FC流式细胞
  • IP免疫沉淀
  • E酶联免疫吸附法
  • DB免疫斑点法
  • ChIP染色质免疫沉淀
  • GICA胶体金免疫层析法
  • NC阴性对照

种属反应性

  • Hu
  • Ms小鼠
  • Rt大鼠
  • Dm果蝇
  • C线虫
  • Mk
  • Rb
  • B
  • D
  • P
  • Hm仓鼠
  • ChHm中国仓鼠
  • Chk
;

联系我们

Location :

南京市高新开发区星火路10号人才大厦C座

Phone :

400-9961-933
025-58868422

Email Address

info@sabbiotech.com