免费电话:400-9961-933
邮箱:info@sabbiotech.com
欢迎光临本站
川博智能体 English
位置: 首页 > 磷酸化抗体 > JunB(Phospho-Ser79) Antibody

JunB(Phospho-Ser79) Antibody #11026

是否有货: 有货
产品详情

产品名称JunB(Phospho-Ser79) Antibody

来源种属Rabbit

克隆性Polyclonal

纯化Antibodies were produced by immunizing rabbits with synthetic phosphopeptide and KLH conjugates. Antibodies were purified by affinity-chromatography using epitope-specific phosphopeptide. Non-phospho specific antibodies were removed by chromatogramphy using non-phosphopeptide.

应用IHC IF

种属反应性Human;Mouse;Rat

特异性The antibody detects endogenous level of JunB only when phosphorylated at serine 79.

免疫原类型Peptide-KLH

免疫原描述Peptide sequence around phosphorylation site of serine 79 (G-A-S(p)-L-K) derived from Human JunB.

基因/蛋白名称JunB

标记Unconjugated

别名AP-1

数据库入口号Swiss-Prot: P17275
NCBI Protein: NP_002220.1

Uniprot P17275

浓度1.0mg/ml

配方Supplied at 1.0mg/mL in phosphate buffered saline (without Mg2+ and Ca2+), pH 7.4, 150mM NaCl, 0.02% sodium azide and 50% glycerol.

保存Store at -20°C for long term preservation (recommended). Store at 4°C for short term use.

应用详情
Predicted MW: 43kd
Immunohistochemistry: 1:50~1:100
Immunofluorescence: 1:100~1:200
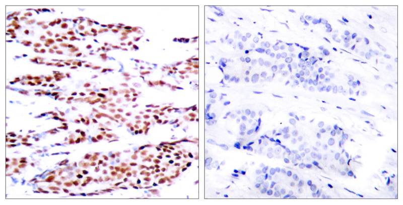
Immunohistochemical analysis of paraffin-embedded human breast carcinoma tissue using JunB(Phospho-Ser79) Antibody #11026(left) or the same antibody preincubated with blocking peptide(right).
Immunofluorescence staining of methanol-fixed Hela cells using JunB(Phospho-Ser79) Antibody #11026.
Transcription factor involved in regulating gene activity following the primary growth factor response. Binds to the DNA sequence 5'-TGA[CG]TCA-3'.

Narayanan K, et al. (2004) J Biol Chem. 279(43): 44294-442302.

如果您使用该产品11026发表了文章,请通知我们,让我们可以引用您的文献。

et al,AP-1 Regulates Cyclin D1 and c-MYC Transcription in an AKT-Dependent Manner in Response to mTOR Inhibition: Role of AIP4/Itch-Mediated JUNB Degradation. , (2010),
PMID: 21135252

注释

应用

  • WB免疫印迹
  • IHC免疫组化
  • IF免疫荧光
  • ICC免疫细胞化学
  • FC流式细胞
  • IP免疫沉淀
  • E酶联免疫吸附法
  • DB免疫斑点法
  • ChIP染色质免疫沉淀
  • GICA胶体金免疫层析法
  • NC阴性对照

种属反应性

  • Hu
  • Ms小鼠
  • Rt大鼠
  • Dm果蝇
  • C线虫
  • Mk
  • Rb
  • B
  • D
  • P
  • Hm仓鼠
  • ChHm中国仓鼠
  • Chk
;

联系我们

Location :

南京市高新开发区星火路10号人才大厦C座

Phone :

400-9961-933
025-58868422

Email Address

info@sabbiotech.com