免费电话:400-9961-933
邮箱:info@sabbiotech.com
欢迎光临本站
川博智能体 English
位置: 首页 > 磷酸化抗体 > Myc(Phospho-Thr58) Antibody

Myc(Phospho-Thr58) Antibody#11034

是否有货: 有货
产品详情

产品名称Myc(Phospho-Thr58) Antibody

来源种属Rabbit

克隆性Polyclonal

纯化Antibodies were produced by immunizing rabbits with synthetic phosphopeptide and KLH conjugates. Antibodies were purified by affinity-chromatography using epitope-specific phosphopeptide. Non-phospho specific antibodies were removed by chromatogramphy using non-phosphopeptide.

应用WB IHC

种属反应性Human;Mouse;Rat

特异性The antibody detects endogenous level of Myc only when phosphorylated at threonine 58.

免疫原类型Peptide-KLH

免疫原描述Peptide sequence around phosphorylation site of threonine 58 (L-P-T(p)-P-P) derived from Human Myc.

基因/蛋白名称Myc

标记Unconjugated

别名c-myc

数据库入口号Swiss-Prot: P01106
NCBI Protein: NP_002458.2

Uniprot P01106

浓度1.0mg/ml

配方Supplied at 1.0mg/mL in phosphate buffered saline (without Mg2+ and Ca2+), pH 7.4, 150mM NaCl, 0.02% sodium azide and 50% glycerol.

保存Store at -20°C for long term preservation (recommended). Store at 4°C for short term use.

应用详情
Predicted MW: 60kd
Western blotting: 1:500~1:1000
Immunohistochemistry: 1:50~1:100
Western blot analysis of extracts from Hela cells using Myc(Phospho-Thr58) Antibody #11034(Lane 2) and the same antibody preincubated with blocking peptide(Lane1).
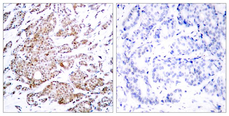
Immunohistochemical analysis of paraffin-embedded human breast carcinoma tissue using Myc(Phospho-Thr58) Antibody #11034(left) or the same antibody preincubated with blocking peptide(right).
Participates in the regulation of gene transcription. Binds DNA in a non-specific manner, yet also specifically recognizes the core sequence 5'-CAC[GA]TG-3'. Seems to activate the transcription of growth-related genes.

Jin Z, et al. (2004) J Biol Chem. 279(38): 40209-40219.
Welcker M, et al. (2004) Proc Natl Acad Sci U S A. 101(24): 9085-9090.
Baudino T A, et al. (2001) Mol Cell Biol. 21: 691-702.
Blackwood E M, et al. (1991) Science. 251:1211-1217.
Henriksson M, et al. (1996) Adv Cancer Res. 68: 109-182.

如果您使用该产品11034发表了文章,请通知我们,让我们可以引用您的文献。

et al,MYC protein dysregulation is driven by BCR鈥怭I 3K signalling in diffuse large B鈥恈ell lymphoma.In Histopathology on 2017 Nov by Wei-Ge Wang , Ze-Bing Liu,et al..PMID:28639315 , (2017),
PMID: 28639315

注释

应用

  • WB免疫印迹
  • IHC免疫组化
  • IF免疫荧光
  • ICC免疫细胞化学
  • FC流式细胞
  • IP免疫沉淀
  • E酶联免疫吸附法
  • DB免疫斑点法
  • ChIP染色质免疫沉淀
  • GICA胶体金免疫层析法
  • NC阴性对照

种属反应性

  • Hu
  • Ms小鼠
  • Rt大鼠
  • Dm果蝇
  • C线虫
  • Mk
  • Rb
  • B
  • D
  • P
  • Hm仓鼠
  • ChHm中国仓鼠
  • Chk
;

联系我们

Location :

南京市高新开发区星火路10号人才大厦C座

Phone :

400-9961-933
025-58868422

Email Address

info@sabbiotech.com