免费电话:400-9961-933
邮箱:info@sabbiotech.com
欢迎光临本站
川博智能体 English
位置: 首页 > 磷酸化抗体 > MEF2a(Phospho-Thr312) Antibody

MEF2a(Phospho-Thr312) Antibody #11039

是否有货: 有货
产品详情

产品名称MEF2a(Phospho-Thr312) Antibody

来源种属Rabbit

克隆性Polyclonal

纯化Antibodies were produced by immunizing rabbits with synthetic phosphopeptide and KLH conjugates. Antibodies were purified by affinity-chromatography using epitope-specific phosphopeptide. Non-phospho specific antibodies were removed by chromatogramphy using non-phosphopeptide.

应用WB IHC IF

种属反应性Human;Mouse;Rat

特异性The antibody detects endogenous level of MEF2A only when phosphorylated at threonine 312.

免疫原类型Peptide-KLH

免疫原描述Peptide sequence around phosphorylation site of threonine 312 (L-A-T(p)-P-V) derived from Human MEF2A.

基因/蛋白名称MEF2a

标记Unconjugated

别名MEF2, ADCAD1, RSRFC4, RSRFC9

数据库入口号Swiss-Prot: Q02078
NCBI Protein: NP_001124398.1

Uniprot Q02078

浓度1.0mg/ml

配方Supplied at 1.0mg/mL in phosphate buffered saline (without Mg2+ and Ca2+), pH 7.4, 150mM NaCl, 0.02% sodium azide and 50% glycerol.

保存Store at -20°C for long term preservation (recommended). Store at 4°C for short term use.

应用详情

Predicted MW: 54kd
Immunohistochemistry: 1:50~1:100
Immunofluorescence: 1:100~1:200

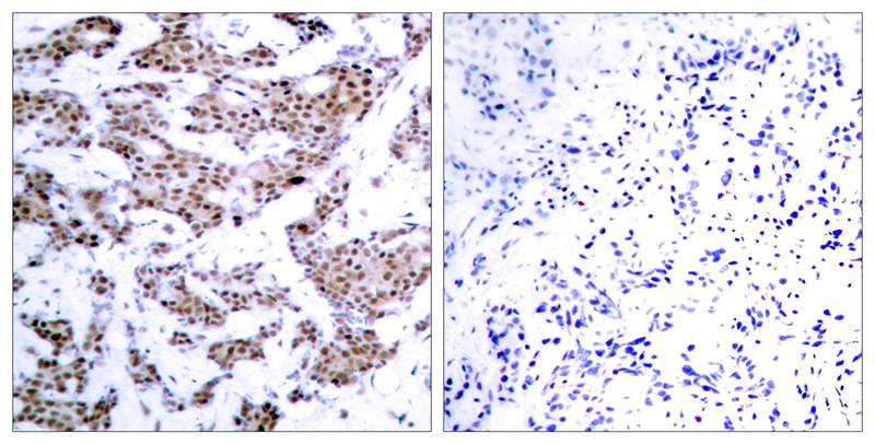
Immunohistochemical analysis of paraffin-embedded human breast carcinoma tissue using MEF2A(Phospho-Thr312) Antibody #11039(left) or the same antibody preincubated with blocking peptide(right).
Immunofluorescence staining of methanol-fixed Hela cells using MEF2A(Phospho-Thr312) Antibody #11039.
Western blot analysis of extracts from C2C12 cells, treated with Anisomycin or calf intestinal phosphatase (CIP), using MEF2A (Phospho-Thr312) Antibody #11039.

The process of differentiation from mesodermal precursor cells to myoblasts has led to the discovery of a variety of tissue-specific factors that regulate muscle gene expression. The myogenic basic helix-loop-helix proteins, including myoD (MIM 159970), myogenin (MIM 159980), MYF5 (MIM 159990), and MRF4 (MIM 159991) are one class of identified factors. A second family of DNA binding regulatory proteins is the myocyte-specific enhancer factor-2 (MEF2) family. Each of these proteins binds to the MEF2 target DNA sequence present in the regulatory regions of many, if not all, muscle-specific genes. The MEF2 genes are members of the MADS gene family (named for the yeast mating type-specific transcription factor MCM1, the plant homeotic genes 'agamous' and 'deficiens' and the human serum response factor SRF (MIM 600589)), a family that also includes several homeotic genes and other transcription factors, all of which share a conserved DNA-binding domain

K Satoh, J Ohnishi, A Sato, et al. (2007) Nemo-Like Kinase-Myocyte Enhancer Factor 2A Signaling Regulates Anterior Formation in Xenopus Development. Molecular and Cellular Biology, 27(21):7623-30.
This article references the use of the #11039 in the following applications :Western blotting

如果您使用该产品11039发表了文章,请通知我们,让我们可以引用您的文献。

et al,Nemo-Like Kinase-Myocyte Enhancer Factor 2A Signaling Regulates Anterior Formation in Xenopus Development. , (2007),
PMID: 17785444

注释

应用

  • WB免疫印迹
  • IHC免疫组化
  • IF免疫荧光
  • ICC免疫细胞化学
  • FC流式细胞
  • IP免疫沉淀
  • E酶联免疫吸附法
  • DB免疫斑点法
  • ChIP染色质免疫沉淀
  • GICA胶体金免疫层析法
  • NC阴性对照

种属反应性

  • Hu
  • Ms小鼠
  • Rt大鼠
  • Dm果蝇
  • C线虫
  • Mk
  • Rb
  • B
  • D
  • P
  • Hm仓鼠
  • ChHm中国仓鼠
  • Chk
;

联系我们

Location :

南京市高新开发区星火路10号人才大厦C座

Phone :

400-9961-933
025-58868422

Email Address

info@sabbiotech.com