免费电话:400-9961-933
邮箱:info@sabbiotech.com
欢迎光临本站
川博智能体 English
位置: 首页 > 磷酸化抗体 > GATA1(Phospho-Ser142) Antibody

GATA1(Phospho-Ser142) Antibody #11041

是否有货: 有货
产品详情

产品名称GATA1(Phospho-Ser142) Antibody

来源种属Rabbit

克隆性Polyclonal

亚型IgG

纯化Antibodies were produced by immunizing rabbits with synthetic phosphopeptide and KLH conjugates. Antibodies were purified by affinity-chromatography using epitope-specific phosphopeptide. Non-phospho specific antibodies were removed by chromatogramphy using non-phosphopeptide.

应用WB IHC IF

种属反应性Human;Mouse;Rat

特异性The antibody detects endogenous level of GATA1 only when phosphorylated at serine 142.

免疫原类型Peptide-KLH

免疫原描述Peptide sequence around phosphorylation site of serine 142 (R-L-S(p)-P-D) derived from Human GATA1.

基因/蛋白名称GATA1

标记Unconjugated

别名GAT1; GATA1; GF-1; NF-E1;

数据库入口号Swiss-Prot: P15976
NCBI Protein: NP_002040.1

Uniprot P15976

浓度1.0mg/ml

配方Supplied at 1.0mg/mL in phosphate buffered saline (without Mg2+ and Ca2+), pH 7.4, 150mM NaCl, 0.02% sodium azide and 50% glycerol.

保存Store at -20°C for long term preservation (recommended). Store at 4°C for short term use.

应用详情

Predicted MW: 43kd
Western blotting: 1:500~1:1000
Immunohistochemistry: 1:50~1:100
Immunofluorescence: 1:100~1:200

Western blot analysis of extracts from HL60 cells untreated or treated with PMA using GATA1(Phospho-Ser142) Antibody #11041.
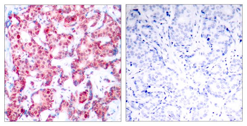
Immunohistochemical analysis of paraffin-embedded human breast carcinoma tissue using GATA1(Phospho-Ser142) Antibody #11041(left) or the same antibody preincubated with blocking peptide(right).
Immunofluorescence staining of methanol-fixed K562 cells using GATA1 (Phospho-Ser142) Antibody #11041.

GATA1 encodes a protein which belongs to the GATA family of transcription factors. The protein plays an important role in erythroid development by regulating the switch of fetal hemoglobin to adult hemoglobin. Mutations in this gene have been associated with X-linked dyserythropoietic anemia and thrombocytopenia.

Zon LI, et al. (1990) Proc Natl Acad. Sci USA. 87: 668-672.
Trainor C D, et al. (1990) Nature. 343: 92-96.
Nichols K E, et al. (2000) Nat Genet. 24: 266-270.

如果您使用该产品11041发表了文章,请通知我们,让我们可以引用您的文献。

et al,FAM122A Inhibits Erythroid Differentiation through GATA1. In Stem Cell Reports on 2020 Sep 8 by Jing Chen, Qiong Zhou, et al..PMID:32763160 , (2020),
PMID: 32763160

注释

应用

  • WB免疫印迹
  • IHC免疫组化
  • IF免疫荧光
  • ICC免疫细胞化学
  • FC流式细胞
  • IP免疫沉淀
  • E酶联免疫吸附法
  • DB免疫斑点法
  • ChIP染色质免疫沉淀
  • GICA胶体金免疫层析法
  • NC阴性对照

种属反应性

  • Hu
  • Ms小鼠
  • Rt大鼠
  • Dm果蝇
  • C线虫
  • Mk
  • Rb
  • B
  • D
  • P
  • Hm仓鼠
  • ChHm中国仓鼠
  • Chk
;

联系我们

Location :

南京市高新开发区星火路10号人才大厦C座

Phone :

400-9961-933
025-58868422

Email Address

info@sabbiotech.com