免费电话:400-9961-933
邮箱:info@sabbiotech.com
欢迎光临本站
川博智能体 English
位置: 首页 > 磷酸化抗体 > STAT3(Phospho-Tyr705) Antibody

STAT3(Phospho-Tyr705) Antibody #11045

是否有货: 有货
产品详情

产品名称STAT3(Phospho-Tyr705) Antibody

来源种属Rabbit

克隆性Polyclonal

纯化Antibodies were produced by immunizing rabbits with synthetic phosphopeptide and KLH conjugates. Antibodies were purified by affinity-chromatography using epitope-specific phosphopeptide. Non-phospho specific antibodies were removed by chromatogramphy using non-phosphopeptide.

应用WB IHC IF IP

种属反应性Human;Mouse;Rat

特异性The antibody detects endogenous level of STAT3 only when phosphorylated at tyrosine 705.

免疫原类型Peptide-KLH

免疫原描述Peptide sequence around phosphorylation site of tyrosine 705 (A-P-Y(p)-L-K) derived from Human STAT3.

基因/蛋白名称STAT3

标记Unconjugated

别名APRF; Acute-phase response factor; HIES

数据库入口号Swiss-Prot: P40763
NCBI Protein: NP_003141.2

Uniprot P40763

浓度1.0mg/ml

配方Supplied at 1.0mg/mL in phosphate buffered saline (without Mg2+ and Ca2+), pH 7.4, 150mM NaCl, 0.02% sodium azide and 50% glycerol.

保存Store at -20°C for long term preservation (recommended). Store at 4°C for short term use.

应用详情

Predicted MW: 88kd
WB: 1:500~1:1000
IHC: 1:50~1:100
IP: 1:50-200
IF: 1:50-200

Western blot analysis of extracts from Hela cells untreated or treated with IFN a using STAT3(Phospho-Tyr705) Antibody #11045.
Immunohistochemical analysis of paraffin-embedded human breast carcinoma tissue using STAT3 (Phospho-Tyr705) Antibody #11045 (left) or the same antibody preincubated with blocking peptide #51045 (right).
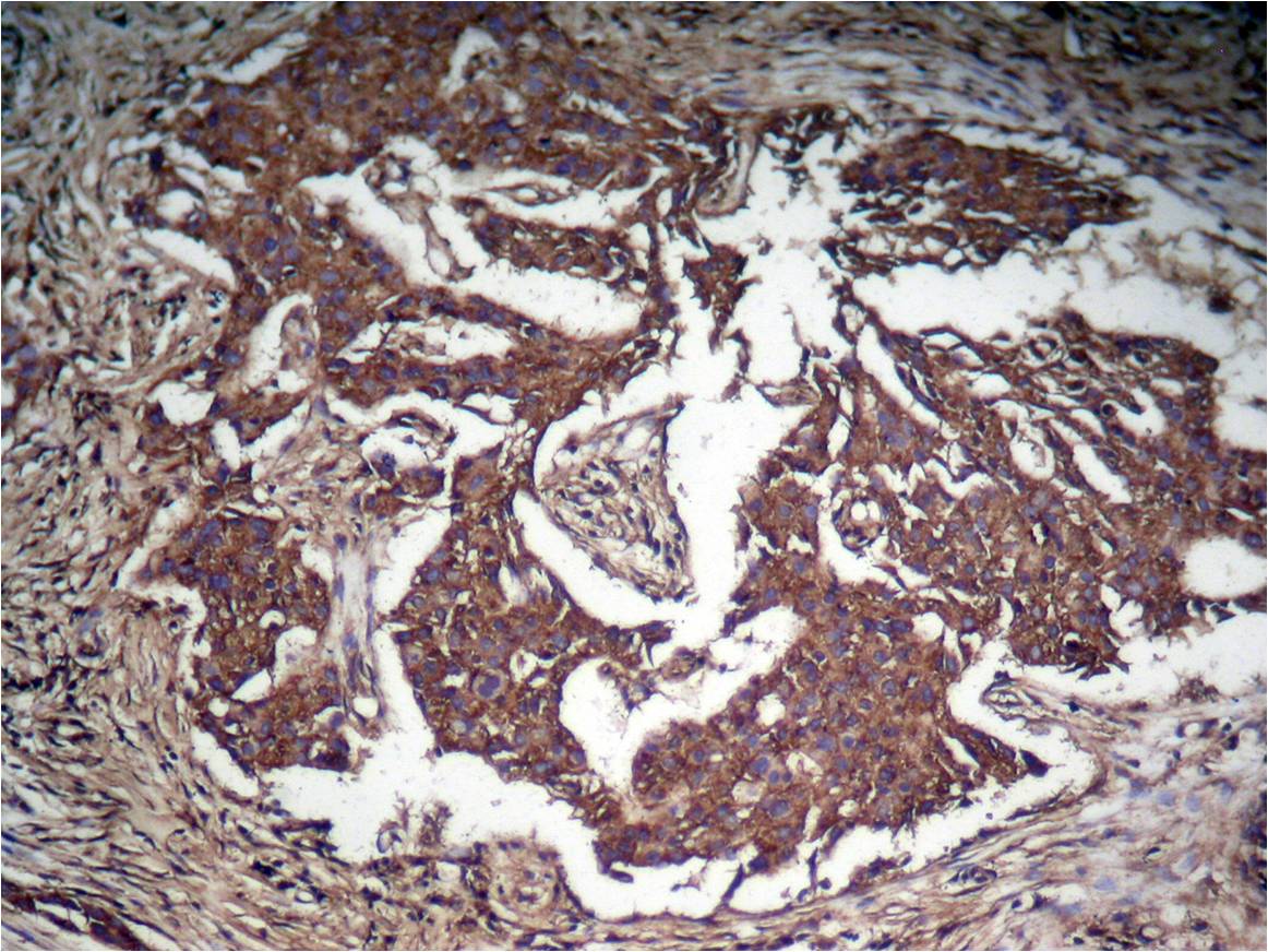
Immunohistochemical analysis of paraffin-embedded human Lung carcinoma tissue using STAT3 (Phospho-Tyr705) Antibody #11045.
Immunofluorescence staining of methanol-fixed MEF cells untreated or treated with IFN using STAT3 (Phospho-Tyr705) Antibody #11045.

Transcription factor that binds to the interleukin-6 (IL-6)-responsive elements identified in the promoters of various acute-phase protein genes. Activated by IL31 through IL31RA.

Fan G, et al. (2003) J Biol Chem. 278(52): 52432-52436.
Barry FA, et al. (2003) FEBS Lett. 553(1-2): 173-178.
Welsh, et al. (1996) Trends Cell Biol. 6: 274-279.
Srivastava A K, et al. (1998) Mol Cell Biochem. 182: 135-141.

如果您使用该产品11045发表了文章,请通知我们,让我们可以引用您的文献。

et al,Resistance to Bleomycin-Induced Lung Fibrosis in MMP-8 Deficient Mice Is Mediated by Interleukin-10. , (2010),
PMID: 20949050
et al,PF-04691502 triggers cell cycle arrest, apoptosis and inhibits the angiogenesis in hepatocellular carcinoma cells , (2013),
PMID: 23639247
et al,Low-level bisphenol A increases production of glial fibrillary acidic protein in differentiating astrocyte progenitor cells through excessive STAT3 and Smad1 activation. , (2006),
PMID: 16860915
et al,Significance and relationship between Cripto-1 and p-STAT3 expression in gastric cancer and precancerous lesions. , (2010),
PMID: 20128024
et al,Atrial natriuretic peptide suppresses Th17 development through regulation of cGMP-dependent protein kinase and PI3K篓CAkt signaling pathways. , (2013),
PMID: 23327998
et al,Overexpression of LEDGF/DFS70 Induces IL-6 via p38 Activation in HaCaT Cells, Similar to that Seen in the Psoriatic Condition. , (2010),
PMID: 20631726
et al,Detection of promoter methylation status of suppressor of cytokine signaling 3 (SOCS3) in tissue and plasma from Chinese patients with different hepatic diseases.In Clin Exp Med. On 2018 Feb by Wei L, Huang Y et al..PMID:28951980 , (2018),
PMID: 28951980
查看更多
et al,A novel IFIH1 mutation in the pincer domain underlies the clinical features of both Aicardi-Gouti res and Singleton-Merten syndromes in a single patient.In Br J Dermatol. On 2018 Feb by Takeichi T, Katayama C et al..PMID:29270977 , (2018),
PMID: 29270977
et al,Inhibition of TPL2 by interferon-α suppresses bladder cancer through activation of PDE4D.In J Exp Clin Cancer Res. On 2018 Nov 27 by Qiang Z, Zhou ZY et al..PMID: 30482227 , (2018),
PMID: 30482227
et al,Effect of STAT3 decoy oligodeoxynucleotides mediated by ultrasound-targeted microbubbles combIned with ultrasound on the growth of squamous cell carcInoma of the esophagus. In Oncol Lett on 2019 Feb by Zhang Y, Zhang M, et al..PMID:30675281 , (2019),
PMID: 30675281
et al,A thiazole-derived oridonIn analogue exhibits antitumor activity by directly and allosterically InhibitIng STAT3. In J Biol Chem on 2019 Nov 15;by Shen X, Zhao L,et al..PMID:31594861 , (2019),
PMID: 31594861
et al,Knockdown of CTCF reduces the binding of EZH2 and affects the methylation of the SOCS3 promoter in hepatocellular carcinoma.In Int J Biochem Cell Biol on 2020 Mar; by Wei L, Liu Q, et al..PMID: 31917284 , (2020),
PMID: 31917284
et al,Endocrine Glands-Derived Vascular Endothelial Growth Factor Protects Pancreatic Cancer Cells From Apoptosis via Upregulation of the Myeloid Cell leukemia-1 Protein.In Biochem Biophys Res Commun on 2009 Aug 14 by Li-Nan Ren, Qing-Fang Li,et al..PMID:19523441 , (2009),
PMID: 19523441
et al,Hydrogen sulfide postconditioning protects isolated rat hearts against ischemia and reperfusion injury mediated by the JAK2/STAT3 survival pathway.In Braz J Med Biol Res on 2012 Oct by Luan HF, Zhao ZB,et al..PMID:22948409 , (2012),
PMID: 22948409
et al,Modulatory effects of sex steroid hormones on brain-derived neurotrophic factor-tyrosine kinase B expression during adolescent development in C57Bl/6 mice. In J Neuroendocrinol on 2012 May by Hill RA, Wu YW, et al..PMID:22221196 , (2012),
PMID: 22221196
et al,Canonical notch pathway protects hepatocytes from ischemia/reperfusion injury in mice by repressing reactive oxygen species production through JAK2/STAT3 signaling.In Hepatology on 2011 Sep 2 by Yu HC, Qin HY,et al..PMID:21633967 , (2011),
PMID: 21633967
et al,HER2-dependent MMP-7 Expression Is Mediated by Activated STAT3.In Cell Signal on 2008 Jul by Guogang Yuan, Lu Qian,et al..PMID:18411043 , (2008),
PMID: 18411043
et al,Overexpression of LEDGF/DFS70 Induces IL-6 via p38 Activation in HaCaT Cells, Similar to That Seen in the Psoriatic Condition.In J Invest Dermatol on 2010 Dec by Takuya Takeichi, Kazumitsu Sugiura, et al..PMID:20631726 , (2010),
PMID: 20631726
et al,PF-04691502 triggers cell cycle arrest, apoptosis and inhibits the angiogenesis in hepatocellular carcinoma cells. In Toxicol Lett on 2013 Jul 4 by Feng-Ze Wang, Peng-Jiao, et al..PMID:23639247 , (2013),
PMID: 23639247
et al,Inhibition of the JAK-STAT3 signaling pathway by ganoderic acid A enhances chemosensitivity of HepG2 cells to cisplatin. In Planta Med on 2012 Nov by Xiangyang Yao, Guilan Li, et al..PMID: 22961117 , (2012),
PMID: 22961117
et al,Atrial natriuretic peptide suppresses Th17 development through regulation of cGMP-dependent protein kinase and PI3K鈥揂kt signaling pathways. In Regul Pept on 2013 Feb 10 by Libing Ma, Jinxiu Li, et al..PMID: 23327998 , (2013),
PMID: 23327998
et al,Notch-induced hIL-6 production facilitates the maintenance of self-renewal of hCD34+ cord blood cells through the activation of Jak-PI3K-STAT3 pathway. In Am J Pathol on 2012 Jan by Bongkum Choi, Eunyoung Chun, et al..PMID:22062221 , (2012),
PMID: 22062221
et al,Phosphorylated Signal Transducer and Activator of Transcription 3 in the Epidermis in Adult-Onset Still's Disease.In J Dermatol on 2017 Oct by Takuya Takeichi, Naoki Watanabe,et al..PMID: 28470759 , (2017),
PMID: 28470759
et al,Periploca Forrestii Saponin Ameliorates CIA via Suppressing Proinflammatory Cytokines and Nuclear Factor kappa-B Pathways.In PLoS One on 2017 May 2 by Chunmei Bao, Yingqin Liu ,et al..PMID: 28463993 , (2017),
PMID: 28463993
et al,6-Hydroxy-3-O-methyl-kaempferol 6-O-glucopyranoside Potentiates the Anti-Proliferative Effect of Interferon 伪/尾 by Promoting Activation of the JAK/STAT Signaling by Inhibiting SOCS3 in Hepatocellular Carcinoma Cells.In Toxicol Appl Pharmacol on 2017 Dec 1 by Orawan Wonganan, Yu-Jiao He,et al..PMID: 29031523 , (2017),
PMID: 29031523
et al,Pre-treatment of Human Umbilical Cord-Derived Mesenchymal Stem Cells With interleukin-6 Abolishes Their Growth-Promoting Effect on Gastric Cancer Cells.In Int J Mol Med on 2015 Feb by Mei Wang , Jie Cai et al..PMID:25483835 , (2015),
PMID: 25483835
et al,Activation of mesenchymal stem cells by macrophages prompts human gastric cancer growth through NF-魏B pathway.In PLoS One on 2014 May 13 by Tingting Yang , Xu Zhang et al..PMID:24824968 , (2014),
PMID: 24824968
et al,Girdin/GIV is upregulated by cyclic tension, propagates mechanical signal transduction, and is required for the cellular proliferation and migration of MG-63 cells.In Biochem Biophys Res Commun.On 2015 Aug 21 by Hu JT, Li Y et al..PMID:26163263 , (2015),
PMID: 26163263
et al,Blocking the bFGF/STAT3 interaction through specific signaling pathways induces apoptosis in glioblastoma cells.In J Neurooncol 2014 Oct by Jingchao Wu , Xuequan Feng et al..PMID: 25048528 , (2014),
PMID: 25048528
et al,Nuclear envelope localization of R an鈥恇inding protein 2 and R an鈥怗TP ase鈥恆ctivating protein 1 in psoriatic epidermal keratinocytes.In Exp Dermatol on 2014 Feb by Kayo Yasuda , Kazumitsu Sugiura et al..PMID: 24438026 , (2014),
PMID: 24438026
et al,Emodin potentiates the antiproliferative effect of interferon 伪/尾 by activation of JAK/STAT pathway signaling through inhibition of the 26S proteasome.In Oncotarget on 2016 Jan 26 by Yujiao He, Junmei Huang et al..PMID:26683360 , (2016),
PMID: 26683360
et al,Migration Suppression of Small Cell Lung Cancer by Polysaccharides from Nostoc commune Vaucher. In J Agric Food Chem on 2016 Aug 17 by Min Guo, Guo-Bin Ding,et al..PMID: 27465400 , (2016),
PMID: 27465400
et al,Cetuximab enhances oridonin-induced apoptosis through mitochondrial pathway and endoplasmic reticulum stress in laryngeal squamous cell carcinoma cells. In Toxicol In Vitro on 2020 May 12 by Ning Kang, Shijie Cao, et al..PMID:32407876 , (2020),
PMID: 32407876
et al,Adaptogenic flower buds exert cancer preventive effects by enhancing the SCFA-producers, strengthening the epithelial tight junction complex and immune responses. In Pharmacol Res on 2020 Sep by Wenrui Xia, Imran Khan, et al..PMID: 32502642 , (2020),
PMID: 32502642
et al,Costunolide improved dextran sulfate sodium-induced acute ulcerative colitis in mice through NF-kB, STAT1/3, and Akt signaling pathways. In Int Immunopharmacol on 2020 Jul by Fan Xie, Hai Zhang, et al..PMID:32413737 , (2020),
PMID: 32413737
et al,Salinomycin promotes T-cell proliferation by inhibiting the expression and enzymatic activity of immunosuppressive indoleamine-2,3-dioxygenase in human breast cancer cells. In Toxicol Appl Pharmacol on 2020 Oct 1 by Yuwen Sheng, Zhonghui Zhang, et al..PMID:32822738 , (2020),
PMID: 32822738
et al,Saponin from Periploca forrestii Schltr Mitigates Oxazolone-Induced Atopic Dermatitis via Modulating Macrophage Activation. In Mediators Inflamm on 2020 Oct 15 by Luting Zeng, Yingqin Liu,et al..PMID:33122966 , (2020),
PMID: 33122966
et al,Magnolol Attenuates Right Ventricular Hypertrophy and Fibrosis in Hypoxia-Induced Pulmonary Arterial Hypertensive Rats Through Inhibition of the JAK2/STAT3 Signaling Pathway. In Front Pharmacol on 2021 Oct 26 by Minyi Fu, Fangmei Luo,et al..PMID:34764873 , (2021),
PMID: 34764873
et al,Autoinflammatory Keratinization Disease With Hepatitis and Autism Reveals Roles for JAK1 Kinase Hyperactivity in Autoinflammation.. In Front Immunol on 2022 Jan 3 by Takuya Takeichi, John Y W Lee,et al..PMID:35046931 , (2021),
PMID: 35046931
et al,A systematic CRISPR screen reveals an IL-20/IL20RA-mediated immune crosstalk to prevent the ovarian cancer metastasis. In Elife on 2021 Jun 11 by Jia Li, Xuan Qin, et al..PMID:34114949 , (2021),
PMID: 34114949
et al,Autoinflammatory Keratinization Disease With Hepatitis and Autism Reveals Roles for JAK1 Kinase Hyperactivity in Autoinflammation. In Front Immunol on 2022 Jan 3 by Takuya Takeichi, John Y W Lee, et al..PMID: 35046931 , (2022),
PMID: 35046931
et al,Receptor tyrosine kinase C-kit promotes a destructive phenotype of FLS in osteoarthritis via intracellular EMT signalingInMol MedOn2023 Mar 23byXu Cao?1?2,?Song Wu et al..PMID:?36959556 , (2023),
PMID: 36959556
et al,Dietary quercetin potentiates the antiproliferative effect of interferon-α in hepatocellular carcinoma cells through activation of JAK/STAT pathway signaling by inhibition of SHP2 phosphatase , (2017),
PMID: 29371942
et al,Molecular mechanism through which Tripterygium hypoglaucum (L´evl.) Hutch alleviates psoriasis , (2024),
PMID:
et al,Mechanism of the Proprietary Chinese Medicine “JiuLiWan” to Treat Ulcerative Colitis Revealed by Network Pharmacology, Molecular Docking, and Experimental … , (2025),
PMID: 40415848

注释

应用

  • WB免疫印迹
  • IHC免疫组化
  • IF免疫荧光
  • ICC免疫细胞化学
  • FC流式细胞
  • IP免疫沉淀
  • E酶联免疫吸附法
  • DB免疫斑点法
  • ChIP染色质免疫沉淀
  • GICA胶体金免疫层析法
  • NC阴性对照

种属反应性

  • Hu
  • Ms小鼠
  • Rt大鼠
  • Dm果蝇
  • C线虫
  • Mk
  • Rb
  • B
  • D
  • P
  • Hm仓鼠
  • ChHm中国仓鼠
  • Chk
;

联系我们

Location :

南京市高新开发区星火路10号人才大厦C座

Phone :

400-9961-933
025-58868422

Email Address

info@sabbiotech.com