免费电话:400-9961-933
邮箱:info@sabbiotech.com
欢迎光临本站
川博智能体 English
位置: 首页 > 磷酸化抗体 > STAT3(Phospho-Ser727) Antibody

STAT3(Phospho-Ser727) Antibody #11046

是否有货: 有货
产品详情

产品名称STAT3(Phospho-Ser727) Antibody

来源种属Rabbit

克隆性Polyclonal

纯化Antibodies were produced by immunizing rabbits with synthetic phosphopeptide and KLH conjugates. Antibodies were purified by affinity-chromatography using epitope-specific phosphopeptide. Non-phospho specific antibodies were removed by chromatogramphy using non-phosphopeptide.

应用WB IHC IF

种属反应性Human;Mouse;Rat

特异性The antibody detects endogenous level of STAT3 only when phosphorylated at serine 727.

免疫原类型Peptide-KLH

免疫原描述Peptide sequence around phosphorylation site of serine 727 (P-M-S(p)-P-R) derived from Human STAT3.

基因/蛋白名称STAT3

标记Unconjugated

别名APRF, HIES

数据库入口号Swiss-Prot: P40763
NCBI Protein: NP_003141.2

Uniprot P40763

浓度1.0mg/ml

配方Supplied at 1.0mg/mL in phosphate buffered saline (without Mg2+ and Ca2+), pH 7.4, 150mM NaCl, 0.02% sodium azide and 50% glycerol.

保存Store at -20°C for long term preservation (recommended). Store at 4°C for short term use.

应用详情

Predicted MW: 88kd
Western blotting: 1:500~1:1000
Immunohistochemistry: 1:50~1:100
Immunofluorescence: 1:100~1:200

Western blot analysis of extracts from Hela and HepG2 cells untreated or treated with PMA usingSTAT3(Phospho-Ser727) Antibody #11046.
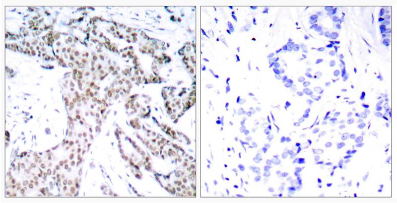
Immunohistochemical analysis of paraffin-embedded human breast carcinoma tissue using STAT3(Phospho-Ser727) Antibody #11046(left) or the same antibody preincubated with blocking peptide(right).
Immunofluorescence staining of methanol-fixed Hela cells using STAT3(Phospho-Ser727) Antibody #11046.
Western blot analysis of extracts from Hela cells, treated with IFNa or calf intestinal phosphatase (CIP), using STAT3 (Phospho-Ser727) Antibody #11046.

Transcription factor that binds to the interleukin-6 (IL-6)-responsive elements identified in the promoters of various acute-phase protein genes. Activated by IL31 through IL31RA.

Heim M H, (1999) J Recept Signal Transduct Res. 19: 75-120.
Takeda K, et al. (1997) Proc Natl Acad Sci USA. 94: 3801-3804.
Catlett-Falcone R, et al. (1999) Immunity. 10: 105-115.
Garcia R, et al. (1998) J Biomed Sci. 5: 79-85.
Bromberg J F, et al. (1999) Cell. 98: 295-303.

如果您使用该产品11046发表了文章,请通知我们,让我们可以引用您的文献。

et al,Neurotrophic Effects of Leukemia Inhibitory Factor on Neural Cells Derived from Human Embryonic Stem Cells. , (2012),
PMID: 22899336
et al,Canonical Notch Pathway Protects Hepatocytes from Ischemia/Reperfusion Injury in Mice by Repressing Reactive Oxygen Species Production Through JAK2/STAT3 Signaling. , (2011),
PMID: 21633967
et al,A thiazole-derived oridonIn analogue exhibits antitumor activity by directly and allosterically InhibitIng STAT3. In J Biol Chem on 2019 Nov 15;by Shen X, Zhao L,et al..PMID:31594861 , (2019),
PMID: 31594861
et al,Anti inflammatory and metabolic reprogramming effects of MENK produce antitumor response in CT26 tumor bearing mice.In J Leukoc Biol on 2020 Jan 29. by Tuo Y, Zhang Z, et al..PMID:31994797 , (2020),
PMID: 31994797
et al,Resistance to bleomycin-induced lung fibrosis in MMP-8 deficient mice is mediated by interleukin-10. In PLoS One on 2010 Oct 7 by Emilio Garc铆a-Prieto, Adri谩n Gonz谩lez-L贸pez, et al..PMID: 20949050 , (2010),
PMID: 20949050
et al,Significance and relationship between Cripto-1 and p-STAT3 expression in gastric cancer and precancerous lesions. In World J Gastroenterol on 2010 Feb 7 by Jian-Guo Zhang, Jing Zhao, et al..PMID: 20128024 , (2010),
PMID: 20128024
et al,Neurotrophic effects of leukemia inhibitory factor on neural cells derived from human embryonic stem cells. In Stem Cells on 2012 Nov by Anirban Majumder, Saswati Banerjee, et al..PMID: 22899336 , (2012),
PMID: 22899336
查看更多
et al,Induction of interleukin-10 is dependent on p38 mitogen-activated protein kinase pathway in macrophages infected with porcine reproductive and respiratory syndrome virus. In Virol J on 2012 Aug 21 by Jun Hou, Lianghai Wang, et al..PMID: 22909062 , (2012),
PMID: 22909062
et al,Protein Kinase CK2 Inhibition Down Modulates the NF-魏B and STAT3 Survival Pathways, Enhances the Cellular Proteotoxic Stress and Synergistically Boosts the Cytotoxic Effect of Bortezomib on Multiple Myeloma and Mantle Cell Lymphoma Cells. In PLoS One on 2013 Sep 27 by Sabrina Manni, Alessandra Brancalion, et al..PMID:24086494 , (2013),
PMID: 24086494
et al, Prognostic significance of serine-phosphorylated STAT3 expression in pT1-T2 oral tongue carcinoma.In Clin Exp Otorhinolaryngol On 2015 Sep by Elena Fasanaro , Claudia Staffieri et al..PMID:26330924 , (2015),
PMID: 26330924
et al,Blocking the bFGF/STAT3 interaction through specific signaling pathways induces apoptosis in glioblastoma cells.In J Neurooncol 2014 Oct by Jingchao Wu , Xuequan Feng et al..PMID: 25048528 , (2014),
PMID: 25048528
et al,Migration Suppression of Small Cell Lung Cancer by Polysaccharides from Nostoc commune Vaucher. In J Agric Food Chem on 2016 Aug 17 by Min Guo, Guo-Bin Ding,et al..PMID: 27465400 , (2016),
PMID: 27465400
et al,Pwp1 Is Required for the Differentiation Potential of Mouse Embryonic Stem Cells Through Regulating Stat3 Signaling. In Stem Cells on 2015 Mar by Junwei Shen, Wenwen Jia,et al..PMID:25335925 , (2015),
PMID: 25335925
et al,Evaluation of the Prognostic Role of pSTAT3 Expression in Temporal Bone Squamous Cell Carcinoma , (2013),
PMID: 24005169
et al,AHR Agonist ITE Boosted PD1 Antibody’s Effects by Inhibiting Myeloid-Derived Cells Suppressive Cells in an Orthotopic Mouse Glioma Model , (2025),
PMID:
et al,Identification of Cytochrome P450 2E1 as a Novel Target in Neuroinflammation and Development of Its Inhibitor Q11 as a Treatment Strategy. , (2025),
PMID: 40122152

注释

应用

  • WB免疫印迹
  • IHC免疫组化
  • IF免疫荧光
  • ICC免疫细胞化学
  • FC流式细胞
  • IP免疫沉淀
  • E酶联免疫吸附法
  • DB免疫斑点法
  • ChIP染色质免疫沉淀
  • GICA胶体金免疫层析法
  • NC阴性对照

种属反应性

  • Hu
  • Ms小鼠
  • Rt大鼠
  • Dm果蝇
  • C线虫
  • Mk
  • Rb
  • B
  • D
  • P
  • Hm仓鼠
  • ChHm中国仓鼠
  • Chk
;

联系我们

Location :

南京市高新开发区星火路10号人才大厦C座

Phone :

400-9961-933
025-58868422

Email Address

info@sabbiotech.com