免费电话:400-9961-933
邮箱:info@sabbiotech.com
欢迎光临本站
川博智能体 English
位置: 首页 > 磷酸化抗体 > STAT6(Phospho-Tyr641) Antibody

STAT6(Phospho-Tyr641) Antibody #11050

是否有货: 有货
产品详情

产品名称STAT6(Phospho-Tyr641) Antibody

来源种属Rabbit

克隆性Polyclonal

纯化Antibodies were produced by immunizing rabbits with synthetic phosphopeptide and KLH conjugates. Antibodies were purified by affinity-chromatography using epitope-specific phosphopeptide. Non-phospho specific antibodies were removed by chromatogramphy using non-phosphopeptide.

应用WB IHC IF

种属反应性Human;Mouse;Rat

特异性The antibody detects endogenous level of STAT6 only when phosphorylated at tyrosine 641.

免疫原类型Peptide-KLH

免疫原描述Peptide sequence around phosphorylation site of Tyrosine 641 (R-G-Y(p)-V-P) derived from Human STAT6.

基因/蛋白名称STAT6

标记Unconjugated

别名IL-4 Stat

数据库入口号Swiss-Prot: P42226
NCBI Protein: NP_003144.3

Uniprot P42226

浓度1.0mg/ml

配方Supplied at 1.0mg/mL in phosphate buffered saline (without Mg2+ and Ca2+), pH 7.4, 150mM NaCl, 0.02% sodium azide and 50% glycerol.

保存Store at -20°C for long term preservation (recommended). Store at 4°C for short term use.

应用详情

Predicted MW: 110kd
Western blotting: 1:500~1:1000
Immunohistochemistry: 1:50~1:100

Western blot analysis of extracts from Hela cells untreated or treated with IL-4 using STAT6(Phospho-Tyr641) Antibody #11050.
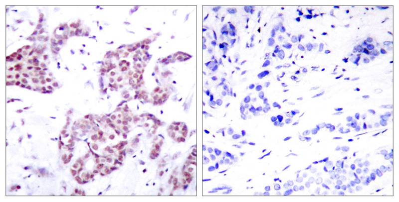
Immunohistochemical analysis of paraffin-embedded human breast carcinoma tissue using STAT6(Phospho-Tyr641) Antibody #11050(left) or the same antibody preincubated with blocking peptide(right).

Carries out a dual function: signal transduction and activation of transcription. Involved in interleukin-4 signalling.

Nelms K, et al. (1999) Annu Rev Immunol. 17:701-738.
Malabarba M G, et al. (1996) Biochem. J. 319:865-872.
Hou J, et al. (1994) Science. 265:1701-1706.
Quelle F W, et al. (1995) Mol Cell Biol. 15: 3336-3343.
Takeda K, et al. (1996) Nature. 380: 627-630.

如果您使用该产品11050发表了文章,请通知我们,让我们可以引用您的文献。

et al,Novel Inhaled pan-JAK Inhibitor, LAS194046, reduces allergen-Induced airway Inflammation, late asthmatic response and pSTATs activation In Brown Norway rats. In J Pharmacol Exp Ther on 2019 May 13 by Calbet M, Ramis I, et al..PMID: 31085698 , (2019),
PMID: 31085698
et al,LXR-β regulates microglial efferocytosis and neuroinflammation in CPSP via STAT6 activation , (2025),
PMID: 40848997

注释

应用

  • WB免疫印迹
  • IHC免疫组化
  • IF免疫荧光
  • ICC免疫细胞化学
  • FC流式细胞
  • IP免疫沉淀
  • E酶联免疫吸附法
  • DB免疫斑点法
  • ChIP染色质免疫沉淀
  • GICA胶体金免疫层析法
  • NC阴性对照

种属反应性

  • Hu
  • Ms小鼠
  • Rt大鼠
  • Dm果蝇
  • C线虫
  • Mk
  • Rb
  • B
  • D
  • P
  • Hm仓鼠
  • ChHm中国仓鼠
  • Chk
;

联系我们

Location :

南京市高新开发区星火路10号人才大厦C座

Phone :

400-9961-933
025-58868422

Email Address

info@sabbiotech.com