免费电话:400-9961-933
邮箱:info@sabbiotech.com
欢迎光临本站
川博智能体 English
位置: 首页 > 磷酸化抗体 > Akt(Phospho-Thr308) Antibody

Akt(Phospho-Thr308) Antibody #11055

是否有货: 有货
产品详情

产品名称Akt(Phospho-Thr308) Antibody

来源种属Rabbit

克隆性Polyclonal

纯化Antibodies were produced by immunizing rabbits with synthetic phosphopeptide and KLH conjugates. Antibodies were purified by affinity-chromatography using epitope-specific phosphopeptide. Non-phospho specific antibodies were removed by chromatogramphy using non-phosphopeptide.

应用WB IHC IF

种属反应性Human;Mouse;Rat

特异性The antibody detects endogenous level of Akt only when phosphorylated at threonine 308.

免疫原类型Peptide-KLH

免疫原描述Peptide sequence around phosphorylation site of threonine 308 (M-K-T(p)-F-C) derived from Human Akt.

基因/蛋白名称Akt

标记Unconjugated

别名C-AKT; PKB; PKB-alpha; RAC; RAC-PK-alpha

数据库入口号Swiss-Prot: P31749
NCBI Protein: NP_001014431.1

Uniprot P31749

浓度1.0mg/ml

配方Supplied at 1.0mg/mL in phosphate buffered saline (without Mg2+ and Ca2+), pH 7.4, 150mM NaCl, 0.02% sodium azide and 50% glycerol.

保存Store at -20°C for long term preservation (recommended). Store at 4°C for short term use.

应用详情

Predicted MW: 60kd
Western blotting: 1:500~1:1000
Immunohistochemistry: 1:50~1:100
Immunofluorescence: 1:100~1:200

Western blot analysis of extracts from Hela cells untreated or treated with EGF, serum or both using Akt(Phospho-Thr308) Antibody #11055.
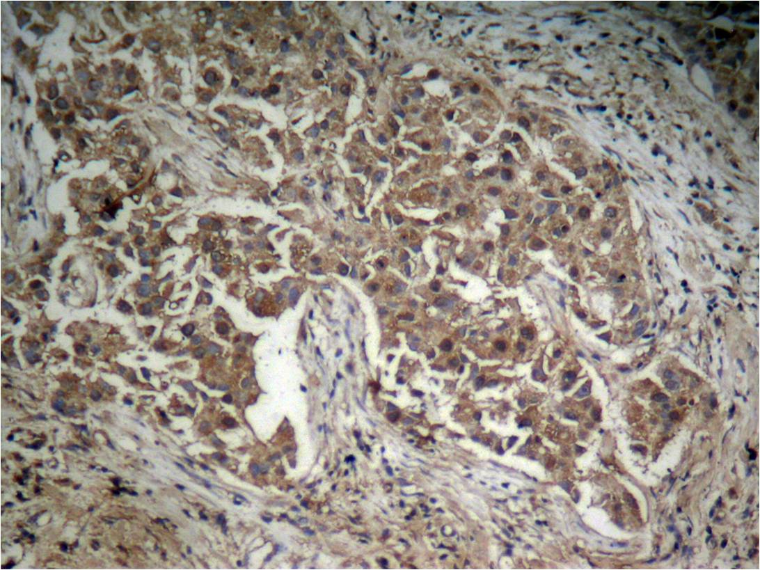
Immunohistochemical analysis of paraffin-embedded human lung carcinoma tissue, using Akt (Phospho-Thr308) Antibody #11055 (left) or the same antibody preincubated with blocking peptide #51055 (right).
Immunofluorescence staining of methanol-fixed Hela cells showing nuclear dot staining using Akt(Phospho-Thr308) Antibody #11055.
Immunohistochemical analysis of paraffin-embedded human lung carcinoma tissue, using Akt (Phospho-Thr308) Antibody #11055.
Immunofluorescence staining of methanol-fixed Hela cells showing nuclear dot staining using Akt (Phospho-Thr308) Antibody #11055.

General protein kinase capable of phosphorylating several known proteins. Phosphorylates TBC1D4. Signals downstream of phosphatidylinositol 3-kinase (PI3K) to mediate the effects of various growth factors such as platelet-derived growth factor (PDGF), epidermal growth factor (EGF), insulin and insulin-like growth factor I (IGF-I). Plays a role in glucose transport by mediating insulin-induced translocation of the GLUT4 glucose transporter to the cell surface. Mediates the antiapoptotic effects of IGF-I. Mediates insulin-stimulated protein synthesis by phosphorylating TSC2 at 'Ser-939' and 'Thr-1462', thereby activating mTORC1 signaling and leading to both phosphorylation of 4E-BP1 and in activation of RPS6KB1. Promotes glycogen synthesis by mediating the insulin-induced activation of glycogen synthase.

Tremblay F, et al. (2005)Diabetes; 54(9): 2674-84.
Xu BE, et al. (2005)J Biol Chem; 280(40): 34218-23.
Samuels Y, et al. (2005)Cancer Cell; 7(6): 561-73.
Di Maira G, et al. (2005)Cell Death Differ; 12(6): 668-77.

如果您使用该产品11055发表了文章,请通知我们,让我们可以引用您的文献。

et al,T-cadherin modulates endothelial barrier function , (2010),
PMID: 20039275
et al,Loss of fatty acid synthase inhibits the 隆掳HER2-PI3K/Akt axis隆卤 activity and malignant phenotype of Caco-2 cells Lipids in Health and Disease. , (2013),
PMID: 23725225
et al,A role for Wnt/β-catenIn signallIng In suppressIng Bacillus Calmette-GuerIn-Induced macrophage autophagy. In Microb Pathog on 2019 Feb; by Wu X, Zhang J, et al..PMID:30550847 , (2019),
PMID: 30550847
et al,Pregnane X receptor activation constraIns mucosal NF-κB activity In active Inflammatory bowel disease. In PLoS One on 2019 Oct 3,by DeurIng JJ, Li M,et al..PMID:31581194 , (2019),
PMID: 31581194
et al,Downregulation of FHL1 protein in glioma inhibits tumor growth through PI3K/AKT signaling.In Oncol Lett on 2020 Jun; by Li SZ, Hu YY, et al..PMID: 32382330 , (2020),
PMID: 32382330
et al,Fatty Acid Synthase Regulates Proliferation and Migration of Colorectal Cancer Cells via HER2-PI3K/Akt Signaling Pathway.In Nutr Cancer on 2012 Aug by Nan Li, Xiaodong Bu,et al..PMID:22860766 , (2012),
PMID: 22860766
et al,T-cadherin Modulates Endothelial Barrier Function.In J Cell Physiol on 2010 Apr by Jingyan Han, Mikhail A Kutuzov,et al..PMID:20039275 , (2010),
PMID: 20039275
查看更多
et al,Glutamate Acting on N-Methyl-D-aspartate Receptors Attenuates Insulin-like Growth Factor-1 Receptor Tyrosine Phosphorylation and Its Survival Signaling Properties in Rat Hippocampal Neurons. In J Biol Chem 2009 Jan 9 by Wen-Hua Zheng, R茅mi Quirion锛宔t al..PMID: 18981172 , (2009),
PMID: 18981172
et al,Glutamate acting on NMDA receptors attenuates IGF-1 receptor tyrosine phosphorylation and its survival signaling properties in rat hippocampal neurons. In J Biol Chem on 2009 Jan 9 by Wen-Hua Zheng, R茅mi Quirion锟?et al..PMID:18981172 , (2009),
PMID: 18981172
et al,T鈥恈adherin modulates endothelial barrier function. In J Cell Physiol on 2010 Apr by Jingyan Han, Mikhail A Kutuzov, et al..PMID: 20039275 , (2010),
PMID: 20039275
et al,Cadmium-induced ER Stress and Inflammation Are Mediated Through C/EBP-DDIT3 Signaling in Human Bronchial Epithelial Cells.In Exp Mol Med on 2017 Sep by Jeeyoung Kim , Haengseok Song,et al..PMID: 28860664 , (2017),
PMID: 28860664
et al,Choline Prevents Fetal Overgrowth and Normalizes Placental Fatty Acid and Glucose Metabolism in a Mouse Model of Maternal Obesity.In J Nutr Biochem on 2017 Nov by Juha Nam , Esther Greenwald,et al..PMID: 28915389 , (2017),
PMID: 28915389
et al,H2O2 treatment or serum deprivation induces autophagy and apoptosis in naked mole-rat skin fibroblasts by inhibiting the PI3K/Akt signaling pathway.In Oncotarget on 2016 Dec 20 by Shanmin Zhao, Li Li et al..PMID:27863375 , (2016),
PMID: 27863375
et al,The combined anticancer of peanut skin procyanidins and resveratrol to CACO‐2 colorectal cancer cellsInFood Sci NutrOn2023 Aug 3byNa Wang,Enguang Gao et al..PMID: 37831732 , (2023),
PMID: 37831732
et al,AMOTL2 inhibits JUN Thr239 dephosphorylation by binding PPP2R2A to suppress the proliferation in non-small cell lung cancer cells , (2021),
PMID: 32950569
et al,FGL1-mediated lymph node metastasis in stage T1 non-small cell lung cancer: therapeutic targeting , (2025),
PMID: 41024301

注释

应用

  • WB免疫印迹
  • IHC免疫组化
  • IF免疫荧光
  • ICC免疫细胞化学
  • FC流式细胞
  • IP免疫沉淀
  • E酶联免疫吸附法
  • DB免疫斑点法
  • ChIP染色质免疫沉淀
  • GICA胶体金免疫层析法
  • NC阴性对照

种属反应性

  • Hu
  • Ms小鼠
  • Rt大鼠
  • Dm果蝇
  • C线虫
  • Mk
  • Rb
  • B
  • D
  • P
  • Hm仓鼠
  • ChHm中国仓鼠
  • Chk
;

联系我们

Location :

南京市高新开发区星火路10号人才大厦C座

Phone :

400-9961-933
025-58868422

Email Address

info@sabbiotech.com