免费电话:400-9961-933
邮箱:info@sabbiotech.com
欢迎光临本站
川博智能体 English
位置: 首页 > 磷酸化抗体 > Integrin b3(Phospho-Tyr773) Antibody

Integrin b3(Phospho-Tyr773) Antibody #11060

是否有货: 有货
产品详情

产品名称Integrin b3(Phospho-Tyr773) Antibody

来源种属Rabbit

克隆性Polyclonal

亚型IgG

纯化Antibodies were produced by immunizing rabbits with synthetic phosphopeptide and KLH conjugates. Antibodies were purified by affinity-chromatography using epitope-specific phosphopeptide. Non-phospho specific antibodies were removed by chromatogramphy using non-phosphopeptide.

应用WB IHC

种属反应性Human;Mouse;Rat

特异性The antibody detects endogenous level of Integrin b3 only when phosphorylated at tyrosine 773.

免疫原类型Peptide-KLH

免疫原描述Peptide sequence around phosphorylation site of tyrosine 773 (P-L-Y(p)-K-E) derived from Human Integrin b3.

基因/蛋白名称Integrin b3

标记Unconjugated

别名CD61 antigen; GP3A; GPIIIa; ITB3; Platelet membrane glycoprotein IIIa

数据库入口号Swiss-Prot: P05106
NCBI Protein: NP_000203.2

Uniprot P05106

浓度1.0mg/ml

配方Supplied at 1.0mg/mL in phosphate buffered saline (without Mg2+ and Ca2+), pH 7.4, 150mM NaCl, 0.02% sodium azide and 50% glycerol.

保存Store at -20°C for long term preservation (recommended). Store at 4°C for short term use.

应用详情
Predicted MW: 110kd
Western blotting: 1:500~1:1000
Immunohistochemistry: 1:50~1:100
Western blot analysis of extracts from 293 cells using Integrin b3(Phospho-Tyr773) Antibody #11060 and the same antibody preincubated with blocking peptide.
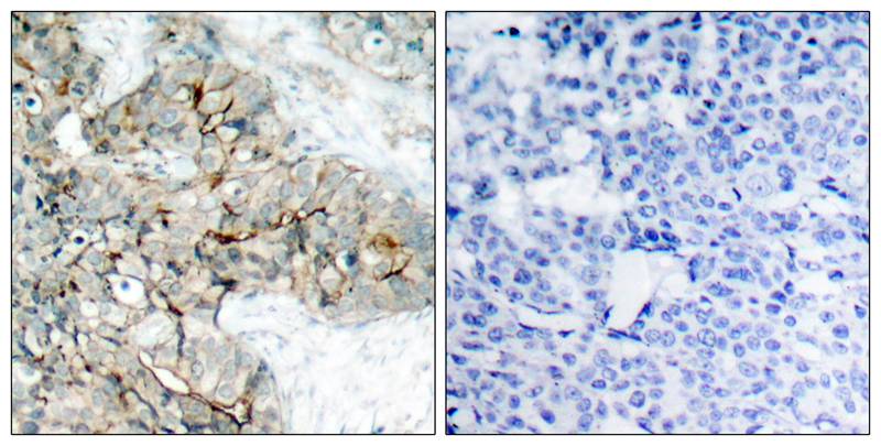
Immunohistochemical analysis of paraffin-embedded human breast carcinoma tissue using Integrin b3(Phospho-Tyr773) Antibody #11060(left) or the same antibody preincubated with blocking peptide(right).
Integrin a-V/beta-3 is a receptor for cytotactin, fibronectin, laminin, matrix metalloproteinase-2, osteopontin, osteomodulin, prothrombin, thrombospondin, vitronectin and von Willebrand factor. Integrin a-IIb/beta-3 is a receptor for fibronectin, fibrinogen, plasminogen, prothrombin, thrombospondin and vitronectin. Integrins a-IIb/beta-3 and a-V/beta-3 recognize the sequence R-G-D in a wide array of ligands. Integrin a-IIb/beta-3 recognizes the sequence H-H-L-G-G-G-A-K-Q-A-G-D-V in fibrinogen gamma chain. Following activation integrin a-IIb/beta-3 brings about platelet/platelet interaction through binding of soluble fibrinogen. This step leads to rapid platelet aggregation which physically plugs ruptured endothelial surface. In case of HIV-1 infection, the interaction with extracellular viral Tat protein seems to enhance angiogenesis in Kaposi's sarcoma lesions.

Chandhoke SK, et al. (2004) J Cell Sci.117 (Pt 8): 1431-1441.
Datta A, et al. (2002) J Biol Chem.277 (6): 3943-3949.
Law DA, et al. (1996) J Biol Chem.271 (18): 10811-10815.

如果您使用该产品11060发表了文章,请通知我们,让我们可以引用您的文献。

et al,Targeting Tyrosine Phosphatases by 3-Bromopyruvate Overcomes Hyperactivation of Platelets from Gastrointestinal Cancer Patients , (2019),
PMID: 31261776

注释

应用

  • WB免疫印迹
  • IHC免疫组化
  • IF免疫荧光
  • ICC免疫细胞化学
  • FC流式细胞
  • IP免疫沉淀
  • E酶联免疫吸附法
  • DB免疫斑点法
  • ChIP染色质免疫沉淀
  • GICA胶体金免疫层析法
  • NC阴性对照

种属反应性

  • Hu
  • Ms小鼠
  • Rt大鼠
  • Dm果蝇
  • C线虫
  • Mk
  • Rb
  • B
  • D
  • P
  • Hm仓鼠
  • ChHm中国仓鼠
  • Chk
;

联系我们

Location :

南京市高新开发区星火路10号人才大厦C座

Phone :

400-9961-933
025-58868422

Email Address

info@sabbiotech.com