免费电话:400-9961-933
邮箱:info@sabbiotech.com
欢迎光临本站
川博智能体 English
位置: 首页 > 磷酸化抗体 > BCL-XL(Phospho-Ser62) Antibody

BCL-XL(Phospho-Ser62) Antibody #11066

是否有货: 有货
产品详情

产品名称BCL-XL(Phospho-Ser62) Antibody

来源种属Rabbit

克隆性Polyclonal

亚型IgG

应用WB IHC IF

种属反应性Human;Mouse;Rat

免疫原类型Peptide-KLH

基因/蛋白名称BCL-XL

标记Unconjugated

别名BCLX, BCL2L, BCLXL, BCLXS,

Uniprot Q07817

浓度1.0mg/ml

应用详情
Immunofluorescence staining of methanol-fixed HeLa cells using BCL-XL (phospho-Ser62) antibody (#11066, Red).
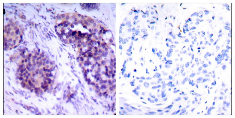
Immunohistochemical analysis of paraffin-embedded human breast carcinoma tissue using BCL-XL (phospho-Ser62) antibody (#11066).
Western blot analysis of extracts from Hela cells untreated or treated with EGF using BCL-XL (Phospho-Ser62) Antibody #11066.
Western blot analysis of extracts from Hela cells, treated with Noc or calf intestinal phosphatase (CIP), using BCL-XL (Phospho-Ser62) Antibody #11066.

如果您使用该产品11066发表了文章,请通知我们,让我们可以引用您的文献。

et al,Down-regulation of JAK1 by RNA interference inhibits growth of the lung cancer cell line A549 and interferes with the PI3K/mTOR pathway. In J Cancer Res Clin Oncol on 2011 Nov by Dan Liu, Yi Huang, et al..PMID:21861134 , (2011),
PMID: 21861134

注释

应用

  • WB免疫印迹
  • IHC免疫组化
  • IF免疫荧光
  • ICC免疫细胞化学
  • FC流式细胞
  • IP免疫沉淀
  • E酶联免疫吸附法
  • DB免疫斑点法
  • ChIP染色质免疫沉淀
  • GICA胶体金免疫层析法
  • NC阴性对照

种属反应性

  • Hu
  • Ms小鼠
  • Rt大鼠
  • Dm果蝇
  • C线虫
  • Mk
  • Rb
  • B
  • D
  • P
  • Hm仓鼠
  • ChHm中国仓鼠
  • Chk
;

联系我们

Location :

南京市高新开发区星火路10号人才大厦C座

Phone :

400-9961-933
025-58868422

Email Address

info@sabbiotech.com