免费电话:400-9961-933
邮箱:info@sabbiotech.com
欢迎光临本站
川博智能体 English
位置: 首页 > 磷酸化抗体 > BAD(Phospho-Ser112) Antibody

BAD(Phospho-Ser112) Antibody #11067

是否有货: 有货
产品详情

产品名称BAD(Phospho-Ser112) Antibody

来源种属Rabbit

克隆性Polyclonal

纯化Antibodies were produced by immunizing rabbits with synthetic phosphopeptide and KLH conjugates. Antibodies were purified by affinity-chromatography using epitope-specific phosphopeptide. Non-phospho specific antibodies were removed by chromatogramphy using non-phosphopeptide.

应用WB IHC

种属反应性Human;Mouse

特异性The antibody detects endogenous level of BAD only when phosphorylated at serine 112.

免疫原类型Peptide-KLH

免疫原描述Peptide sequence around phosphorylation site of serine 112 (H-S-S(p)-Y-P) derived from Mouse BAD.

基因/蛋白名称BAD

标记Unconjugated

别名Bbc2

数据库入口号Swiss-Prot: Q61337
NCBI Protein: NP_031548.1

Uniprot Q61337

实际分子量23kd

浓度1.0mg/ml

配方Supplied at 1.0mg/mL in phosphate buffered saline (without Mg2+ and Ca2+), pH 7.4, 150mM NaCl, 0.02% sodium azide and 50% glycerol.

保存Store at -20°C for long term preservation (recommended). Store at 4°C for short term use.

应用详情

Predicted MW: 23kd
Western blotting: 1:500~1:1000
Immunohistochemistry: 1:50~1:100

Western blot analysis of extracts from cos7 cells untreated or treated with EGF using BAD(Phospho-Ser112) Antibody #11067
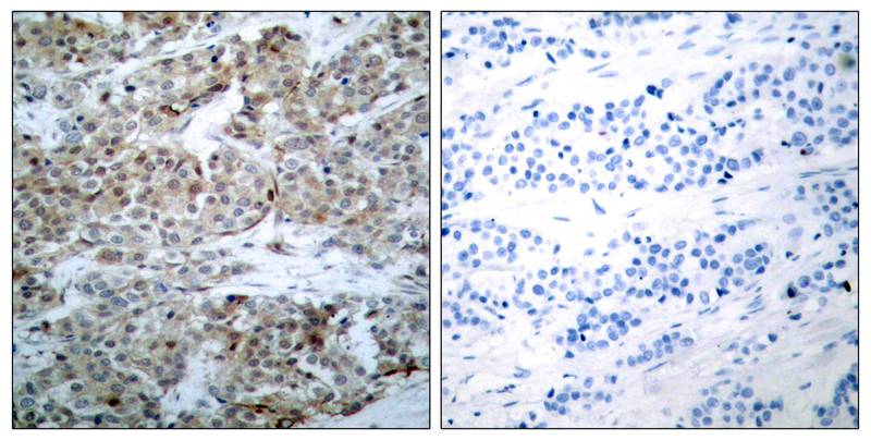
Immunohistochemical analysis of paraffin-embedded human breast carcinoma tissue using BAD(Phospho-Ser112) Antibody #11067(left) or the same antibody preincubated with blocking peptide(right).

The protein encoded by BAD gene is a member of the BCL-2 family. BCL-2 family members are known to be regulators of programmed cell death. This protein positively regulates cell apoptosis by forming heterodimers with BCL-xL and BCL-2, and reversing their death repressor activity. Proapoptotic activity of this protein is regulated through its phosphorylation. Protein kinases AKT and MAP kinase, as well as protein phosphatase calcineurin were found to be involved in the regulation of this protein. Alternative splicing of this gene results in two transcript variants which encode the same isoform.

Zhang B, et al. (2004). Mol Cell Biol.24 (14): 6205-6214.
Rice PL, et al. (2003). Cancer Res.63 (3): 616-620.
Wang XQ, et al. (2001). J Biol Chem.276 (48): 44504-44511.

如果您使用该产品11067发表了文章,请通知我们,让我们可以引用您的文献。

et al,Negative regulation of NaF-induced apoptosis by Bad鈥揅AII complex.In Toxicology on 2011 Sep 5 by S Otsuki, K Sugiyama,et al..PMID:21708216 , (2011),
PMID: 21708216

注释

应用

  • WB免疫印迹
  • IHC免疫组化
  • IF免疫荧光
  • ICC免疫细胞化学
  • FC流式细胞
  • IP免疫沉淀
  • E酶联免疫吸附法
  • DB免疫斑点法
  • ChIP染色质免疫沉淀
  • GICA胶体金免疫层析法
  • NC阴性对照

种属反应性

  • Hu
  • Ms小鼠
  • Rt大鼠
  • Dm果蝇
  • C线虫
  • Mk
  • Rb
  • B
  • D
  • P
  • Hm仓鼠
  • ChHm中国仓鼠
  • Chk
;

联系我们

Location :

南京市高新开发区星火路10号人才大厦C座

Phone :

400-9961-933
025-58868422

Email Address

info@sabbiotech.com