免费电话:400-9961-933
邮箱:info@sabbiotech.com
欢迎光临本站
川博智能体 English
位置: 首页 > 磷酸化抗体 > BAD(Phospho-Ser136) Antibody

BAD(Phospho-Ser136) Antibody #11068

是否有货: 有货
产品详情

产品名称BAD(Phospho-Ser136) Antibody

来源种属Rabbit

克隆性Polyclonal

纯化Antibodies were produced by immunizing rabbits with synthetic phosphopeptide and KLH conjugates. Antibodies were purified by affinity-chromatography using epitope-specific phosphopeptide. Non-phospho specific antibodies were removed by chromatogramphy using non-phosphopeptide.

应用WB IHC

种属反应性Human;Mouse;Rat

特异性The antibody detects endogenous level of BAD only when phosphorylated at serine136.

免疫原类型Peptide-KLH

免疫原描述Peptide sequence around phosphorylation site of serine136 (S-R-S(p)-A-P) derived from Mouse BAD.

基因/蛋白名称BAD

标记Unconjugated

别名Bbc2

数据库入口号Swiss-Prot: Q61337
NCBI Protein: NP_031548.1

Uniprot Q61337

浓度1.0mg/ml

配方Supplied at 1.0mg/mL in phosphate buffered saline (without Mg2+ and Ca2+), pH 7.4, 150mM NaCl, 0.02% sodium azide and 50% glycerol.

保存Store at -20°C for long term preservation (recommended). Store at 4°C for short term use.

应用详情

Predicted MW: 23kd
Western blotting: 1:500~1:1000
Immunohistochemistry: 1:50~1:100

Western blot analysis of extracts from HT29 cells untreated or treated with UV using BAD(Phospho-Ser136) Antibody #11068.
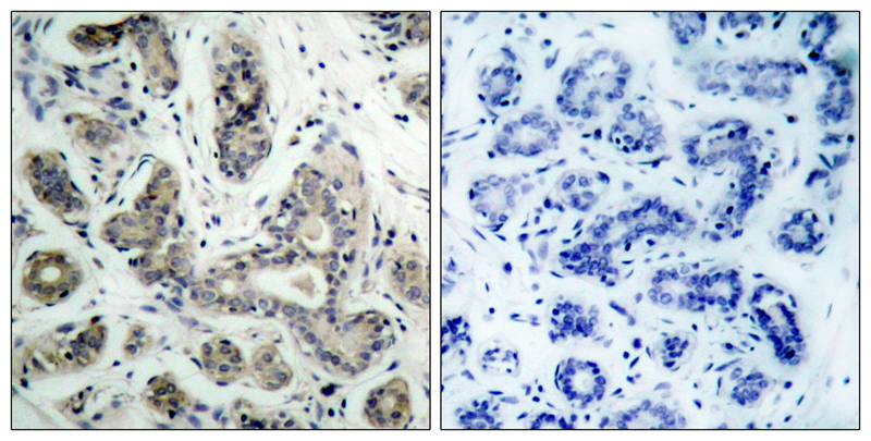
Immunohistochemical analysis of paraffin-embedded human breast carcinoma tissue using BAD(Phospho-Ser136) Antibody #11068(left) or the same antibody preincubated with blocking peptide(right).

The protein encoded by BAD gene is a member of the BCL-2 family. BCL-2 family members are known to be regulators of programmed cell death. This protein positively regulates cell apoptosis by forming heterodimers with BCL-xL and BCL-2, and reversing their death repressor activity. Proapoptotic activity of this protein is regulated through its phosphorylation. Protein kinases AKT and MAP kinase, as well as protein phosphatase calcineurin were found to be involved in the regulation of this protein. Alternative splicing of this gene results in two transcript variants which encode the same isoform.

Wang XQ, et al. (2001). J Biol Chem.276 (48): 44504-44511.
Lee YI, et al. (2001). J Biol Chem.276 (20): 16969-16977.
Maiti D, et al. (2001). J Biol Chem.276 (1): 329-333.

如果您使用该产品11068发表了文章,请通知我们,让我们可以引用您的文献。

et al,Silencing of caspase-8 and caspase-3 by RNA interference prevents vascular endothelial cell injury in mice with endotoxic shock. , (2007),
PMID: 17601517
et al,Negative regulation of NaF-induced apoptosis by Bad篓CCAII complex. , (2011),
PMID: 21708216
et al,miR-137 and miR-197 induce apoptosis and suppress tumorigenicity by targeting MCL-1 in multiple myeloma.In Clin Cancer Res on 2015 May 15 by Yijun Yang , Fei Li et al..PMID:25724519 , (2015),
PMID: 25724519

注释

应用

  • WB免疫印迹
  • IHC免疫组化
  • IF免疫荧光
  • ICC免疫细胞化学
  • FC流式细胞
  • IP免疫沉淀
  • E酶联免疫吸附法
  • DB免疫斑点法
  • ChIP染色质免疫沉淀
  • GICA胶体金免疫层析法
  • NC阴性对照

种属反应性

  • Hu
  • Ms小鼠
  • Rt大鼠
  • Dm果蝇
  • C线虫
  • Mk
  • Rb
  • B
  • D
  • P
  • Hm仓鼠
  • ChHm中国仓鼠
  • Chk
;

联系我们

Location :

南京市高新开发区星火路10号人才大厦C座

Phone :

400-9961-933
025-58868422

Email Address

info@sabbiotech.com