免费电话:400-9961-933
邮箱:info@sabbiotech.com
欢迎光临本站
川博智能体 English
位置: 首页 > 磷酸化抗体 > Estrogen Receptor-a(Phospho-Ser106) Antibody

Estrogen Receptor-a(Phospho-Ser106) Antibody #11071

是否有货: 有货
产品详情

产品名称Estrogen Receptor-a(Phospho-Ser106) Antibody

来源种属Rabbit

克隆性Polyclonal

纯化Antibodies were produced by immunizing rabbits with synthetic phosphopeptide and KLH conjugates. Antibodies were purified by affinity-chromatography using epitope-specific phosphopeptide. Non-phospho specific antibodies were removed by chromatogramphy using non-phosphopeptide.

应用WB IHC IF

种属反应性Human;Mouse;Rat

特异性The antibody detects endogenous level of Estrogen Receptor-a only when phosphorylated at serine 106.

免疫原类型Peptide-KLH

免疫原描述Peptide sequence around phosphorylation site of serine106 (S-P- S(p)-P-L) derived from Human Estrogen Receptor-a.

基因/蛋白名称Estrogen Receptor-a

标记Unconjugated

别名ER; ESR; ESR1; ESTR; ESTRA

数据库入口号Swiss-Prot: P03372
NCBI Protein: NP_000116.2

Uniprot P03372

浓度1.0mg/ml

配方Supplied at 1.0mg/mL in phosphate buffered saline (without Mg2+ and Ca2+), pH 7.4, 150mM NaCl, 0.02% sodium azide and 50% glycerol.

保存Store at -20°C for long term preservation (recommended). Store at 4°C for short term use.

应用详情
Predicted MW: 66kd
Western blotting: 1:500~1:1000
Immunohistochemistry: 1:50~1:100
Immunofluorescence: 1:100~1:200
Western blot analysis of extracts from MCF7 cells untreated or treated with EGF using Estrogen Receptor-a(Phospho-Ser106) Antibody #11071.
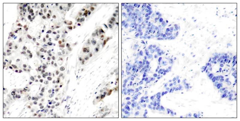
Immunohistochemical analysis of paraffin-embedded human breast carcinoma tissue using Estrogen Receptor-a(Phospho-Ser106) Antibody #11071(left) or the same antibody preincubated with blocking peptide(right).
Immunofluorescence staining of methanol-fixed MCF cells using Estrogen Receptor-a(Phospho-Ser106) Antibody #11071.
Nuclear hormone receptor. The steroid hormones and their receptors are involved in the regulation of eukaryotic gene expression and affect cellular proliferation and differentiation in target tissues.

Marone R, et al. (2004) Nat Cell Biol; 6(6): 515-22.
Ren Z, et al. (2002) J Biol Chem; 277(41): 38486-93.
Ouyang X,et al. (1998)Carcinogenesis; 19(11): 2013-9.
Ouyang X,et al. (1998) Exp Cell Res; 241(2): 467-75.
Klapper, L. N. et al. (2000) Cancer Res. 60, 3384-3388.

如果您使用该产品11071发表了文章,请通知我们,让我们可以引用您的文献。

et al,Astragalus root induces ovarian β?oxidation and suppresses estrogen?dependent uterine proliferation.In Mol Med Rep. On 2018 Dec Orkhon B1, Kobayashi K et al..PMID: 30272268 , (2018),
PMID: 30272268
et al,Inhibiting cancer metastasis with water-solubilized membrane receptor CXCR4QTY-Fc as a molecular trap , (2025),
PMID: 40845831

注释

应用

  • WB免疫印迹
  • IHC免疫组化
  • IF免疫荧光
  • ICC免疫细胞化学
  • FC流式细胞
  • IP免疫沉淀
  • E酶联免疫吸附法
  • DB免疫斑点法
  • ChIP染色质免疫沉淀
  • GICA胶体金免疫层析法
  • NC阴性对照

种属反应性

  • Hu
  • Ms小鼠
  • Rt大鼠
  • Dm果蝇
  • C线虫
  • Mk
  • Rb
  • B
  • D
  • P
  • Hm仓鼠
  • ChHm中国仓鼠
  • Chk
;

联系我们

Location :

南京市高新开发区星火路10号人才大厦C座

Phone :

400-9961-933
025-58868422

Email Address

info@sabbiotech.com