免费电话:400-9961-933
邮箱:info@sabbiotech.com
欢迎光临本站
川博智能体 English
位置: 首页 > 磷酸化抗体 > Estrogen Receptor-a(Phospho-Ser167) Antibody

Estrogen Receptor-a(Phospho-Ser167) Antibody#11073

是否有货: 有货
产品详情

产品名称Estrogen Receptor-a(Phospho-Ser167) Antibody

来源种属Rabbit

克隆性Polyclonal

亚型IgG

纯化Antibodies were produced by immunizing rabbits with synthetic phosphopeptide and KLH conjugates. Antibodies were purified by affinity-chromatography using epitope-specific phosphopeptide. Non-phospho specific antibodies were removed by chromatogramphy using non-phosphopeptide.

应用WB IHC IF

种属反应性Human

特异性The antibody detects endogenous level of Estrogen Receptor-a only when phosphorylated at serine16.

免疫原类型Peptide-KLH

免疫原描述Peptide sequence around phosphorylation site of serine 167 (L-A-S(p)-T-N) derived from Human Estrogen Receptor-a.

基因/蛋白名称Estrogen Receptor-a

标记Unconjugated

别名ER; ESR; ESR1; ESTR; ESTRA

数据库入口号Swiss-Prot: P03372
NCBI Protein: NP_000116.2

Uniprot P03372

浓度1.0mg/ml

配方Supplied at 1.0mg/mL in phosphate buffered saline (without Mg2+ and Ca2+), pH 7.4, 150mM NaCl, 0.02% sodium azide and 50% glycerol.

保存Store at -20°C for long term preservation (recommended). Store at 4°C for short term use.

应用详情

Predicted MW: 66kd
Western blotting: 1:500~1:1000
Immunohistochemistry: 1:50~1:100
Immunofluorescence: 1:100~1:200

Western blot analysis of extracts from MCF7 cells using Estrogen Receptor-a(Phospho-Ser167) Antibody #11073(Lane 2) and the same antibody preincubated with blocking peptide(Lane1).
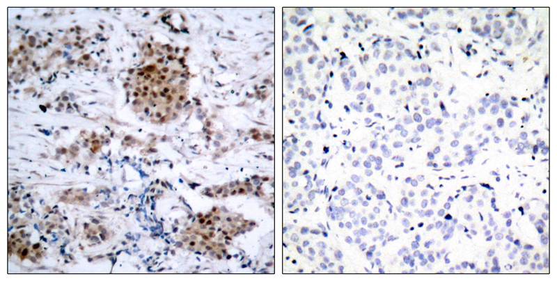
Immunohistochemical analysis of paraffin-embedded human breast carcinoma tissue using Estrogen Receptor-a(Phospho-Ser167) Antibody #11073(left) or the same antibody preincubated with blocking peptide(right).
Immunofluorescence staining of methanol-fixed MCF cells using Estrogen Receptor-a(Phospho-Ser167) Antibody #11073.

Nuclear hormone receptor. The steroid hormones and their receptors are involved in the regulation of eukaryotic gene expression and affect cellular proliferation and differentiation in target tissues.

Feinmesser RL,et al. (1999) J Biol Chem; 274(23): 16168-73.
Gamou S,et al. (1995)FEBS Lett; 357(2): 161-4.
Gamou S, et al. (1994)J Cell Physiol; 158(1): 151-9.
Heisermann GJ, et al. (1988) J Biol Chem; 263(26): 13152-8.

如果您使用该产品11073发表了文章,请通知我们,让我们可以引用您的文献。

et al,Expression of Estrogen Receptor Beta and Phosphorylation of Estrogen Receptor Alpha Serine 167 Correlate with Progression-Free Survival in Patients with Metastatic Breast Cancer Treated with Aromatase Inhibitors. , (2010),
PMID: 21071990
et al,Effect of estradiol on fibroblasts from postmenopausal idiopathic carpal tunnel syndrome patients.In J Cell Physiol. On 2018 Nov byYamanaka Y, Menuki K et al..PMID:29781507 , (2018),
PMID: 29781507
et al,Expression of estrogen receptor beta and phosphorylation of estrogen receptor alpha serine 167 correlate with progression-free survival in patients with metastatic breast cancer treated with aromatase inhibitors.In Oncology on 2010 by Motomura K, Ishitobi M,et al..PMID:21071990 , (2010),
PMID: 21071990

注释

应用

  • WB免疫印迹
  • IHC免疫组化
  • IF免疫荧光
  • ICC免疫细胞化学
  • FC流式细胞
  • IP免疫沉淀
  • E酶联免疫吸附法
  • DB免疫斑点法
  • ChIP染色质免疫沉淀
  • GICA胶体金免疫层析法
  • NC阴性对照

种属反应性

  • Hu
  • Ms小鼠
  • Rt大鼠
  • Dm果蝇
  • C线虫
  • Mk
  • Rb
  • B
  • D
  • P
  • Hm仓鼠
  • ChHm中国仓鼠
  • Chk
;

联系我们

Location :

南京市高新开发区星火路10号人才大厦C座

Phone :

400-9961-933
025-58868422

Email Address

info@sabbiotech.com