免费电话:400-9961-933
邮箱:info@sabbiotech.com
欢迎光临本站
川博智能体 English
位置: 首页 > 磷酸化抗体 > EGFR(Phospho-Tyr1092) Antibody

EGFR(Phospho-Tyr1092) Antibody #11081

是否有货: 有货
产品详情

产品名称EGFR(Phospho-Tyr1092) Antibody

来源种属Rabbit

克隆性Polyclonal

纯化Antibodies were produced by immunizing rabbits with synthetic phosphopeptide and KLH conjugates. Antibodies were purified by affinity-chromatography using epitope-specific phosphopeptide. Non-phospho specific antibodies were removed by chromatogramphy using non-phosphopeptide.

应用WB IHC

种属反应性Human;Rat

特异性The antibody detects endogenous level of EGFR only when phosphorylated at tyrosine 1092.

免疫原类型Peptide-KLH

免疫原描述Peptide sequence around phosphorylation site of tyrosine1092 (P-E-Y(p)-I-N) derived from Human EGFR.

基因/蛋白名称EGFR

标记Unconjugated

别名ERBB1; Receptor protein-tyrosine kinase ErbB-1; kinase EGFR

数据库入口号Swiss-Prot: P00533
NCBI Protein: NP_005219.2

Uniprot P00533

计算分子量135 kDa

实际分子量175 kDa

浓度1.0mg/ml

配方Supplied at 1.0mg/mL in phosphate buffered saline (without Mg2+ and Ca2+), pH 7.4, 150mM NaCl, 0.02% sodium azide and 50% glycerol.

保存Store at -20°C for long term preservation (recommended). Store at 4°C for short term use.

应用详情
Predicted MW: 175kd
Western blotting: 1:500~1:1000
Immunohistochemistry: 1:50~1:100
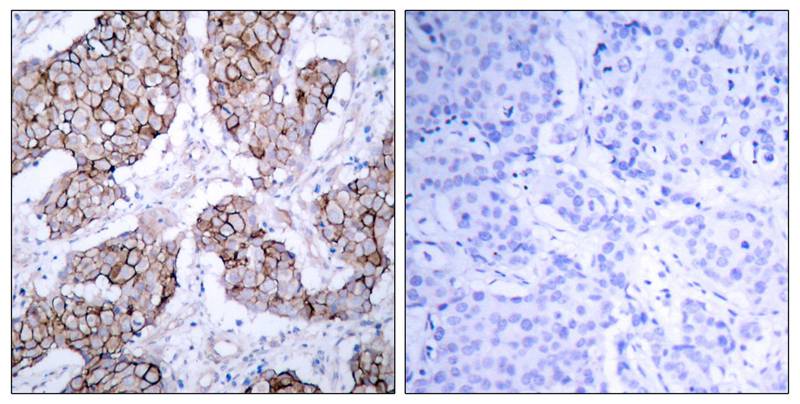
Immunohistochemical analysis of paraffin-embedded human breast carcinoma tissue using EGFR(Phospho-Tyr1092) Antibody #11081(left) or the same antibody preincubated with blocking peptide(right).
All lanes : EGFR (Phospho-Tyr1092) Rabbit mAb at 1/500 dilution
Lane 1 : A431 treated with 100ng/ml EGF for 20 minutes whole cell lysates
Lane 2 : A431 whole cell lysates
Lysates/proteins at 20 µg per lane.
Secondary
All lanes : Goat Anti-Rabbit IgG H&L (HRP) at 1/20000 dilution
Predicted band size: 135 kDa
Observed band size: 175 kDa
Exposure time: 4 seconds
Receptor for EGF, but also for other members of the EGF family, as TGF-a, amphiregulin, betacellulin, heparin-binding EGF-like growth factor, GP30 and vaccinia virus growth factor. Is involved in the control of cell growth and differentiation. Phosphorylates MUC1 in breast cancer cells and increases the interaction of MUC1 with SRC and CTNNB1/beta-catenin.

Buerger C, et al. (2003) J Biol Chem; 278(39): 37610-21.
Wang XQ, (2003) J Biol Chem; 278(49): 48770-8.
Saito T, et al. (2004) Endocrinology; 145(9): 4232-43.
Pao W, et al. (2004) Proc Natl Acad Sci U S A; 101(36): 13306-11.

如果您使用该产品11081发表了文章,请通知我们,让我们可以引用您的文献。

et al,Stiff substrates increase YAP-signaling-mediated matrix metalloproteinase-7 expression. In Oncogenesis on 2015 Sep 7 by A Nukuda 1 , C Sasaki et al..PMID:26344692 , (2015),
PMID: 26344692
et al,The EGF/EGFR axis and its downstream signaling pathways regulate the motility and proliferation of cultured oral keratinocytesInFEBS Open BioOn2023 AugbyRyota Kobayashi, Emi Hoshikawa et al..PMID:37243482 , (2023),
PMID: 37243482
et al,Sirt1 ameliorated cardiac autophagic flux blockage via Prx2 during myocardial ischemia/reperfusion injury , (2025),
PMID: 41077158

注释

应用

  • WB免疫印迹
  • IHC免疫组化
  • IF免疫荧光
  • ICC免疫细胞化学
  • FC流式细胞
  • IP免疫沉淀
  • E酶联免疫吸附法
  • DB免疫斑点法
  • ChIP染色质免疫沉淀
  • GICA胶体金免疫层析法
  • NC阴性对照

种属反应性

  • Hu
  • Ms小鼠
  • Rt大鼠
  • Dm果蝇
  • C线虫
  • Mk
  • Rb
  • B
  • D
  • P
  • Hm仓鼠
  • ChHm中国仓鼠
  • Chk
;

联系我们

Location :

南京市高新开发区星火路10号人才大厦C座

Phone :

400-9961-933
025-58868422

Email Address

info@sabbiotech.com