免费电话:400-9961-933
邮箱:info@sabbiotech.com
欢迎光临本站
川博智能体 English
位置: 首页 > 磷酸化抗体 > Paxillin(Phospho-Tyr118) Antibody

Paxillin(Phospho-Tyr118) Antibody #11089

是否有货: 有货
产品详情

产品名称Paxillin(Phospho-Tyr118) Antibody

来源种属Rabbit

克隆性Polyclonal

纯化Antibodies were produced by immunizing rabbits with synthetic phosphopeptide and KLH conjugates. Antibodies were purified by affinity-chromatography using epitope-specific phosphopeptide. Non-phospho specific antibodies were removed by chromatogramphy using non-phosphopeptide.

应用WB IHC

种属反应性Human;Mouse;Rat

特异性The antibody detects endogenous level of Paxillin only when phosphorylated at tyrosine 118.

免疫原类型Peptide-KLH

免疫原描述Peptide sequence around phosphorylation site of tyrosine 118 (H-V-Y(p)-S-F) derived from Human Paxillin.

基因/蛋白名称Paxillin

标记Unconjugated

别名PAXI; PXN;

数据库入口号Swiss-Prot: P49023
NCBI Protein: NP_001074324.1

Uniprot P49023

浓度1.0mg/ml

配方Supplied at 1.0mg/mL in phosphate buffered saline (without Mg2+ and Ca2+), pH 7.4, 150mM NaCl, 0.02% sodium azide and 50% glycerol.

保存Store at -20°C for long term preservation (recommended). Store at 4°C for short term use.

应用详情
Predicted MW: 68kd
Western blotting: 1:500~1:1000
Immunohistochemistry: 1:50~1:100
Western blot analysis of extracts from 3T3 cells untreated or treated with serum using Paxillin(Phospho-Tyr118) Antibody #11089.
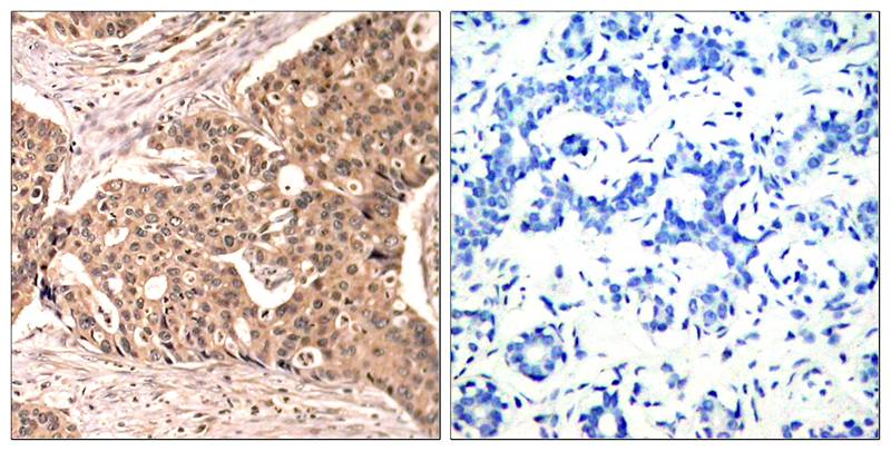
Immunohistochemical analysis of paraffin-embedded human breast carcinoma tissue using Paxillin(Phospho-Tyr118) Antibody #11089(left) or the same antibody preincubated with blocking peptide(right).
Cytoskeletal protein involved in actin-membrane attachment at sites of cell adhesion to the extracellular matrix (focal adhesion).

Tao WA, et al.(2005)Nat Methods.2(8): 591-598.
Zhang Y, et al.(2005) Mol Cell Proteomics.4(9): 1240-1250.
Sanders MA, et al.(2005)J Biol Chem.280(25): 23516-23522.
Rush J, et al.(2004) Nat Biotechnol. 23(1): 94-101.

如果您使用该产品11089发表了文章,请通知我们,让我们可以引用您的文献。

et al,Discovery of a novel inhibitor of the protein tyrosine phosphatase Shp2.In Sci Rep on 2015 Dec 2 by Chuan Chen , Mengmeng Cao et al..PMID: 26626996 , (2015),
PMID: 26626996

注释

应用

  • WB免疫印迹
  • IHC免疫组化
  • IF免疫荧光
  • ICC免疫细胞化学
  • FC流式细胞
  • IP免疫沉淀
  • E酶联免疫吸附法
  • DB免疫斑点法
  • ChIP染色质免疫沉淀
  • GICA胶体金免疫层析法
  • NC阴性对照

种属反应性

  • Hu
  • Ms小鼠
  • Rt大鼠
  • Dm果蝇
  • C线虫
  • Mk
  • Rb
  • B
  • D
  • P
  • Hm仓鼠
  • ChHm中国仓鼠
  • Chk
;

联系我们

Location :

南京市高新开发区星火路10号人才大厦C座

Phone :

400-9961-933
025-58868422

Email Address

info@sabbiotech.com