免费电话:400-9961-933
邮箱:info@sabbiotech.com
欢迎光临本站
川博智能体 English
位置: 首页 > 磷酸化抗体 > Src(Phospho-Tyr418) Antibody

Src(Phospho-Tyr418) Antibody #11091

是否有货: 有货
产品详情

产品名称Src(Phospho-Tyr418) Antibody

来源种属Rabbit

克隆性Polyclonal

纯化Antibodies were produced by immunizing rabbits with synthetic phosphopeptide and KLH conjugates. Antibodies were purified by affinity-chromatography using epitope-specific phosphopeptide. Non-phospho specific antibodies were removed by chromatogramphy using non-phosphopeptide.

应用WB IHC

种属反应性Human;Mouse;Rat

特异性The antibody detects endogenous level of Src only when phosphorylated at tyrosine 418.

免疫原类型Peptide-KLH

免疫原描述Peptide sequence around phosphorylation site of tyrosine 418(N-E-Y(p)-T-A)derived from Human Src.

基因/蛋白名称Src

标记Unconjugated

别名ASV; SRC1; c-SRC; p60-Src

数据库入口号Swiss-Prot: P12931
NCBI Gene ID: 6714
NCBI mRNA: NM_005417.3
NCBI Protein: NP_005408.1

Uniprot P12931

浓度1.0mg/ml

配方Supplied at 1.0mg/mL in phosphate buffered saline (without Mg2+ and Ca2+), pH 7.4, 150mM NaCl, 0.02% sodium azide and 50% glycerol.

保存Store at -20°C

应用详情

Predicted MW: 60kd

Western blotting: 1:500~1:1000

Immunohistochemistry: 1:50~1:100

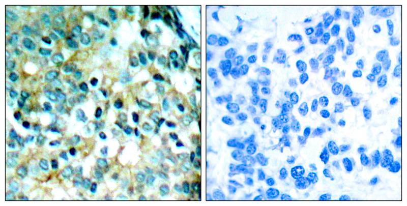
Immunohistochemical analysis of paraffin- embedded human breast carcinoma tissue using Src (phospho- Tyr418) antibody (#11091).
Western blot analysis of extracts from COLO205 cells using Src (Ab-418) antibody (#21115, Lane 1 and 2) and Src (phospho-Tyr418) antibody (#11091, Lane 3 and 4).

 Non-receptor protein tyrosine kinase which is activated following engagement of many different classes of cellular receptors including immune response receptors, integrins and other adhesion receptors, receptor protein tyrosine kinases, G protein-coupled receptors as well as cytokine receptors. Participates in signaling pathways that control a diverse spectrum of biological activities including gene transcription, immune response, cell adhesion, cell cycle progression, apoptosis, migration, and transformation. Due to functional redundancy between members of the SRC kinase family, identification of the specific role of each SRC kinase is very difficult. SRC appears to be one of the primary kinases activated following engagement of receptors and plays a role in the activation of other protein tyrosine kinase (PTK) families. Receptor clustering or dimerization leads to recruitment of SRC to the receptor complexes where it phosphorylates the tyrosine residues within the receptor cytoplasmic domains. Plays an important role in the regulation of cytoskeletal organization through phosphorylation of specific substrates such as AFAP1. Phosphorylation of AFAP1 allows the SRC SH2 domain to bind AFAP1 and to localize to actin filaments. Cytoskeletal reorganization is also controlled through the phosphorylation of cortactin (CTTN). When cells adhere via focal adhesions to the extracellular matrix, signals are transmitted by integrins into the cell resulting in tyrosine phosphorylation of a number of focal adhesion proteins, including PTK2/FAK1 and paxillin (PXN). In addition to phosphorylating focal adhesion proteins, SRC is also active at the sites of cell-cell contact adherens junctions and phosphorylates substrates such as beta-catenin (CTNNB1), delta-catenin (CTNND1), and plakoglobin (JUP). Another type of cell-cell junction, the gap junction, is also a target for SRC, which phosphorylates connexin-43 (GJA1). SRC is implicated in regulation of pre-mRNA-processing and phosphorylates RNA-binding proteins such as KHDRBS1. Also plays a role in PDGF-mediated tyrosine phosphorylation of both STAT1 and STAT3, leading to increased DNA binding activity of these transcription factors. Involved in the RAS pathway through phosphorylation of RASA1 and RASGRF1. Plays a role in EGF-mediated calcium-activated chloride channel activation. Required for epidermal growth factor receptor (EGFR) internalization through phosphorylation of clathrin heavy chain (CLTC and CLTCL1) at 'Tyr-1477'. Involved in beta-arrestin (ARRB1 and ARRB2) desensitization through phosphorylation and activation of ADRBK1, leading to beta-arrestin phosphorylation and internalization. Has a critical role in the stimulation of the CDK20/MAPK3 mitogen-activated protein kinase cascade by epidermal growth factor. Might be involved not only in mediating the transduction of mitogenic signals at the level of the plasma membrane but also in controlling progression through the cell cycle via interaction with regulatory proteins in the nucleus. Plays an important role in osteoclastic bone resorption in conjunction with PTK2B/PYK2. Both the formation of a SRC-PTK2B/PYK2 complex and SRC kinase activity are necessary for this function. Recruited to activated integrins by PTK2B/PYK2, thereby phosphorylating CBL, which in turn induces the activation and recruitment of phosphatidylinositol 3-kinase to the cell membrane in a signaling pathway that is critical for osteoclast function. Promotes energy production in osteoclasts by activating mitochondrial cytochrome C oxidase. Phosphorylates DDR2 on tyrosine residues, thereby promoting its subsequent autophosphorylation. Phosphorylates RUNX3 and COX2 on tyrosine residues, TNK2 on 'Tyr-284' and CBL on 'Tyr-731'. Enhances DDX58/RIG-I-elicited antiviral signaling. Phosphorylates PDPK1 at 'Tyr-9', 'Tyr-373' and 'Tyr-376'. Phosphorylates BCAR1 at 'Tyr-128'.

 

Rabinowich H., Manciulea M., Metes D., Sulica A., Herberman R.B., Corey S.J., Whiteside T.L.J. Immunol. 157:1485-1491(1996)
Taniyama Y., Weber D.S., Rocic P., Hilenski L., Akers M.L., Park J., Hemmings B.A., Alexander R.W., Griendling K.K.Mol. Cell. Biol. 23:8019-8029(2003)                     Johnsen I.B., Nguyen T.T., Bergstroem B., Fitzgerald K.A., Anthonsen M.W.J. Biol. Chem. 284:19122-19131(2009)       

 

如果您使用该产品11091发表了文章,请通知我们,让我们可以引用您的文献。

et al,PTBP3 contributes to the metastasis of gastric cancer by mediating CAV1 alternative splicing.In Cell Death Dis.On 2018 May 1 by PMID: 29752441 , (2018),
PMID: 29752441
et al,A thiazole-derived oridonIn analogue exhibits antitumor activity by directly and allosterically InhibitIng STAT3. In J Biol Chem on 2019 Nov 15;by Shen X, Zhao L,et al..PMID:31594861 , (2019),
PMID: 31594861
et al,Preclinical in vivo evaluation of rapamycin in human malignant peripheral nerve sheath explant xenograft. In Int J Cancer on 2010 Jan 15 by Priya Bhola, Sutapa Banerjee, et al..PMID: 19634141 , (2010),
PMID: 19634141
et al,Identification of Demethylincisterol A 3 as a Selective Inhibitor of Protein Tyrosine Phosphatase Shp2.In Eur J Pharmacol on 2017 Jan 15 by Chuan Chen , Fan Liang,et al..PMID: 27939989 , (2017),
PMID: 27939989
et al,EphB2 signaling-mediated Sirt3 expression reduces MSC senescence by maintaining mitochondrial ROS homeostasis.In Free Radic Biol Med on 2017 Sep by Young Hyun Jung, Hyun Jik Lee,et al..PMID: 28687409 , (2017),
PMID: 28687409
et al,An FAK-YAP-mTOR Signaling Axis Regulates Stem Cell-Based Tissue Renewal in Mice.In Cell Stem Cell on 2017 Jul 6 by Jimmy Kuang-Hsien Hu, Wei Du,et al..PMID: 28457749 , (2017),
PMID: 28457749
et al,Discovery of a Novel Src Homology-2 Domain Containing Protein Tyrosine Phosphatase-2 (SHP2) and Cyclin-Dependent Kinase 4 (CDK4) Dual Inhibitor for the Treatment of Triple-Negative Breast Cancer , (2022),
PMID:

注释

应用

  • WB免疫印迹
  • IHC免疫组化
  • IF免疫荧光
  • ICC免疫细胞化学
  • FC流式细胞
  • IP免疫沉淀
  • E酶联免疫吸附法
  • DB免疫斑点法
  • ChIP染色质免疫沉淀
  • GICA胶体金免疫层析法
  • NC阴性对照

种属反应性

  • Hu
  • Ms小鼠
  • Rt大鼠
  • Dm果蝇
  • C线虫
  • Mk
  • Rb
  • B
  • D
  • P
  • Hm仓鼠
  • ChHm中国仓鼠
  • Chk
;

联系我们

Location :

南京市高新开发区星火路10号人才大厦C座

Phone :

400-9961-933
025-58868422

Email Address

info@sabbiotech.com