免费电话:400-9961-933
邮箱:info@sabbiotech.com
欢迎光临本站
川博智能体 English
位置: 首页 > 磷酸化抗体 > p53(Phospho-Ser15) Antibody

p53(Phospho-Ser15) Antibody #11094

是否有货: 有货
产品详情

产品名称p53(Phospho-Ser15) Antibody

来源种属Rabbit

克隆性Polyclonal

纯化Antibodies were produced by immunizing rabbits with synthetic phosphopeptide and KLH conjugates. Antibodies were purified by affinity-chromatography using epitope-specific phosphopeptide. Non-phospho specific antibodies were removed by chromatogramphy using non-phosphopeptide.

应用WB;IHC;IP;IF;ELISA

种属反应性Human;Mouse;Rat

特异性The antibody detects endogenous level of p53 only whenphosphorylated at serine15.

免疫原类型Peptide-KLH

免疫原描述Peptide sequence around phosphorylation site of serine 15 (P-L-S(p)-Q-E) derived from Human p53.

基因/蛋白名称p53

标记Unconjugated

别名Tumor suppressor p53; Phosphoprotein p53; Antigen NY-CO-13; TP53;

数据库入口号Swiss-Prot: P04637
NCBI Protein: NP_000537.3

Uniprot P04637

浓度1.0mg/ml

配方Supplied at 1.0mg/mL in phosphate buffered saline (without Mg2+ and Ca2+), pH 7.4, 150mM NaCl, 0.02% sodium azide and 50% glycerol.

保存Store at -20°C for long term preservation (recommended). Store at 4°C for short term use.

应用详情

Predicted MW: 53kd
Western blotting: 1:500~1:1000
Immunohistochemistry: 1:50~1:100
Immunofluorescence: 1:100~1:200

Western blot analysis of extracts from 293 cells untreated or treated with UV using p53(Phospho-Ser15) Antibody #11094.
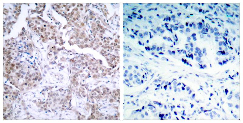
Immunohistochemical analysis of paraffin-embedded human breast carcinoma tissue using p53 (Phospho-Ser15) Antibody #11094 (left) or the same antibody preincubated with blocking peptide #51094 (right).
Immunofluorescence staining of methanol-fixed Hela cells using p53(Phospho-Ser15) Antibody #11094.
Immunofluorescence staining of methanol-fixed Hela cells using p53 (Phospho-Ser15) Antibody #11094.

Acts as a tumor suppressor in many tumor types; induces growth arrest or apoptosis depending on the physiological circumstances and cell type. Involved in cell cycle regulation as a trans-activator that acts to negatively regulate cell division by controlling a set of genes required for this process. One of the activated genes is an inhibitor of cyclin-dependent kinases. Apoptosis induction seems to be mediated either by stimulation of BAX and FAS antigen expression, or by repression of Bcl-2 expression. Implicated in Notch signaling cross-over.

Lin T, et al. (2005) Nat Cell Biol; 7(2): 165-71.
Vega FM, et al. (2004) Mol Cell Biol; 24(23): 10366-80.
Li J, et al. (2004) J Biol Chem; 279(40): 41275-9.
Wang J, et al. (2004) J Biol Chem; 279(38): 39584-92.

如果您使用该产品11094发表了文章,请通知我们,让我们可以引用您的文献。

et al,Pro-Apoptotic Effects of JDA-202, a Novel Natural Diterpenoid, on Esophageal Cancer Through Targeting Peroxiredoxin I.In Antioxid Redox Signal on 2017 Jul 10 by Xiao-Jing Shi , Lina Ding,et al..PMID: 27650197 , (2017),
PMID: 27650197
et al,Mechanism of the Proprietary Chinese Medicine “JiuLiWan” to Treat Ulcerative Colitis Revealed by Network Pharmacology, Molecular Docking, and Experimental … , (2025),
PMID: 40415848

注释

应用

  • WB免疫印迹
  • IHC免疫组化
  • IF免疫荧光
  • ICC免疫细胞化学
  • FC流式细胞
  • IP免疫沉淀
  • E酶联免疫吸附法
  • DB免疫斑点法
  • ChIP染色质免疫沉淀
  • GICA胶体金免疫层析法
  • NC阴性对照

种属反应性

  • Hu
  • Ms小鼠
  • Rt大鼠
  • Dm果蝇
  • C线虫
  • Mk
  • Rb
  • B
  • D
  • P
  • Hm仓鼠
  • ChHm中国仓鼠
  • Chk
;

联系我们

Location :

南京市高新开发区星火路10号人才大厦C座

Phone :

400-9961-933
025-58868422

Email Address

info@sabbiotech.com