免费电话:400-9961-933
邮箱:info@sabbiotech.com
欢迎光临本站
川博智能体 English
位置: 首页 > 磷酸化抗体 > p90RSK(Phospho-Thr348) Antibody

p90RSK(Phospho-Thr348) Antibody #11105

是否有货: 有货
产品详情

产品名称p90RSK(Phospho-Thr348) Antibody

来源种属Rabbit

克隆性Polyclonal

纯化Antibodies were produced by immunizing rabbits with synthetic phosphopeptide and KLH conjugates. Antibodies were purified by affinity-chromatography using epitope-specific phosphopeptide. Non-phospho specific antibodies were removed by chromatogramphy using non-phosphopeptide.

应用WB IHC IF

种属反应性Human;Mouse;Rat

特异性The antibody detects endogenous level of p90RSK only when phosphorylated at threonine 348.

免疫原类型Peptide-KLH

免疫原描述Peptide sequence around phosphorylation site of threonine 348 (S-R-T(p)-P-R) derived from Mouse p90RSK

基因/蛋白名称p90RSK

标记Unconjugated

别名KS6A1; MAPKAP-K1a; RPS6KA1; RSK1; S6K-alpha 1

数据库入口号Swiss-Prot: P18653
NCBI Gene ID: 20111
NCBI Protein: NP_001006666.1

Uniprot P18653

浓度1.0mg/ml

配方Supplied at 1.0mg/mL in phosphate buffered saline (without Mg2+ and Ca2+), pH 7.4, 150mM NaCl, 0.02% sodium azide and 50% glycerol.

保存Store at -20°C for long term preservation (recommended). Store at 4°C for short term use.

应用详情

Predicted MW: 90kd
Western blotting: 1:500~1:1000
Immunohistochemistry: 1:50~1:100
Immunofluorescence: 1:100~1:200

Western blot analysis of extracts from Hela cells untreated or treated with UV using p90RSK(Phospho-Thr348) Antibody #11105.
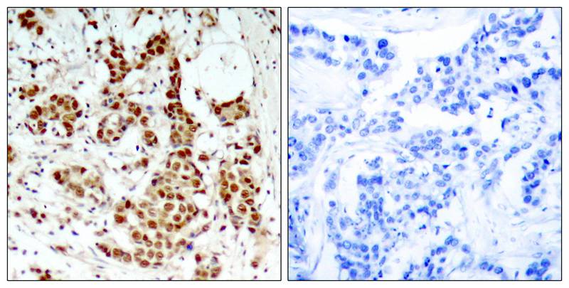
Immunohistochemical analysis of paraffin-embedded human breast carcinoma tissue using p90RSK(Phospho-Thr348) Antibody #11105(left) or the same antibody preincubated with blocking peptide(right).
Immunofluorescence staining of methanol-fixed Hela cells using p90RSK(Phospho-Thr348) Antibody #11105.

Serine/threonine kinase that may play a role in mediating the growth-factor and stress induced activation of the transcription factor CREB.

Silverman E, et al. Mol Cell Biol. 2004 Dec; 24(24): 10573-10583.
Andrew D, et al. Biochem J. 2006 February 1; 393(Pt 3): 715

如果您使用该产品11105发表了文章,请通知我们,让我们可以引用您的文献。

et al,Inhibitory effects of resveratrol on hepatitis B virus X protein-induced hepatocellular carcinoma.In J Vet Sci on 2017 Dec 31 by Seungmo Park, Jihae Lim ,et al..PMID: 28385009 , (2017),
PMID: 28385009

注释

应用

  • WB免疫印迹
  • IHC免疫组化
  • IF免疫荧光
  • ICC免疫细胞化学
  • FC流式细胞
  • IP免疫沉淀
  • E酶联免疫吸附法
  • DB免疫斑点法
  • ChIP染色质免疫沉淀
  • GICA胶体金免疫层析法
  • NC阴性对照

种属反应性

  • Hu
  • Ms小鼠
  • Rt大鼠
  • Dm果蝇
  • C线虫
  • Mk
  • Rb
  • B
  • D
  • P
  • Hm仓鼠
  • ChHm中国仓鼠
  • Chk
;

联系我们

Location :

南京市高新开发区星火路10号人才大厦C座

Phone :

400-9961-933
025-58868422

Email Address

info@sabbiotech.com