免费电话:400-9961-933
邮箱:info@sabbiotech.com
欢迎光临本站
川博智能体 English
位置: 首页 > 磷酸化抗体 > Tau(Phospho-Thr181) Antibody

Tau(Phospho-Thr181) Antibody #11107

是否有货: 有货
产品详情

产品名称Tau(Phospho-Thr181) Antibody

来源种属Rabbit

克隆性Polyclonal

纯化Antibodies were produced by immunizing rabbits with synthetic phosphopeptide and KLH conjugates. Antibodies were purified by affinity-chromatography using epitope-specific phosphopeptide. Non-phospho specific antibodies were removed by chromatogramphy using non-phosphopeptide.

应用WB IHC

种属反应性Human;Mouse;Rat

特异性The antibody detects endogenous level of Tau only when phosphorylated at threonine 181.

免疫原类型Peptide-KLH

免疫原描述Peptide sequence around phosphorylation site of threonine 181 (P-K-T(p)-P-P) derived from Human Tau.

基因/蛋白名称Tau

标记Unconjugated

别名MAPT; MTAPT; MTBT1; Neurofibrillary tangle protein; PHF-tau

数据库入口号Swiss-Prot: P10636
NCBI Protein: NP _001116538.1

Uniprot P10636

浓度1.0mg/ml

配方Supplied at 1.0mg/mL in phosphate buffered saline (without Mg2+ and Ca2+), pH 7.4, 150mM NaCl, 0.02% sodium azide and 50% glycerol.

保存Store at -20°C for long term preservation (recommended). Store at 4°C for short term use.

应用详情
Predicted MW: 48 62 78 kd
Western blotting: 1:500~1:1000
Immunohistochemistry: 1:50~1:100
Western blot analysis of extracts from mouse brain tissue using Tau(Phospho-Thr181) Antibody #11107 and the same antibody preincubated with blocking peptide.
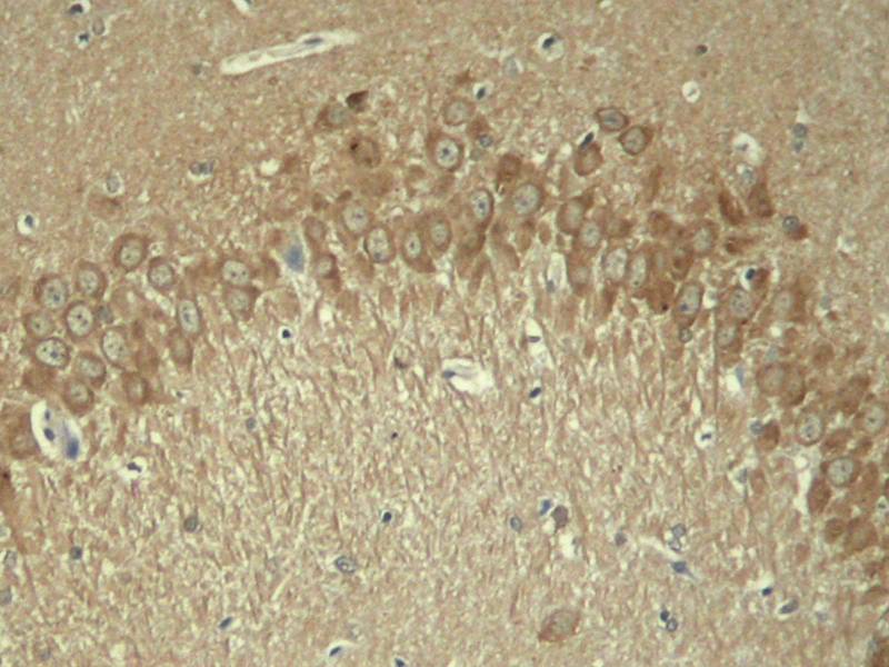
Immunohistochemical analysis of paraffin-embedded rat hippocampal region tissue from a model with Alzheimer
Promotes microtubule assembly and stability, and might be involved in the establishment and maintenance of neuronal polarity. The C-terminus binds axonal microtubules while the N-terminus binds neural plasma membrane components, suggesting that tau functions as a linker protein between both. Axonal polarity is predetermined by tau localization (in the neuronal cell) in the domain of the cell body defined by the centrosome. The short isoforms allow plasticity of the cytoskeleton whereas the longer isoforms may preferentially play a role in its stabilization.

Puig B, et al.(2005) Acta Neuropathol (Berl). 110(3):261-268.
P

如果您使用该产品11107发表了文章,请通知我们,让我们可以引用您的文献。

et al,Cellular prion protein modulates b-amyloid deposition in aged APP/PS1 transgenic mice. , (2013),
PMID: 23831375
et al,Trillium tschonoskii maxim extract attenuates abnormal Tau phosphorylation.Neural Regen Res.In Neural Regen Res.On 2018 May by Luo HB, Shang N. et al..PMID: 29863023 , (2018),
PMID: 29863023
et al,Ribosylation-Derived Advanced Glycation End Products Induce Tau Hyperphosphorylation Through BraIn-Derived Neurotrophic Factor Reduction. In J Alzheimers Dis on 2019 by Wu B, Wang Y, et al..PMID:31381511 , (2019),
PMID: 31381511
et al,Cellular prion protein modulates 尾-amyloid deposition in aged APP/PS1 transgenic mice. In Neurobiol Aging on 2013 Dec by Juan Mar铆a Torres, Rosalina Gav铆n, et al..PMID: 23831375 , (2013),
PMID: 23831375
et al,Resveratrol Attenuates Formaldehyde Induced Hyperphosphorylation of Tau Protein and Cytotoxicity in N2a Cells.In Front Neurosci on 2017 Jan 31 by Xiaping He , Zhenhui Li,et al..PMID: 28197064 , (2017),
PMID: 28197064
et al,Ribosylation triggering A lzheimer's disease鈥恖ike T au hyperphosphorylation via activation of C a MKII.In Aging Cell on 2015 Oct by Yan Wei, Chanshuai Han et al..PMID:26095350 , (2015),
PMID: 26095350
et al,A Novel Mechanism for Endogenous Formaldehyde Elevation in SAMP8 Mouse .In J Alzheimers Dis On 2014 by Min Qiang , Rong Xiao et al..PMID:24583407 , (2014),
PMID: 24583407
查看更多
et al,Role of PrPC Expression in Tau Protein Levels and Phosphorylation in Alzheimer鈥檚 Disease Evolution.In Mol Neurobiol on 2015 by C Vergara, L Ord贸帽ez-Guti茅rrez et al..PMID: 24965601 , (2015),
PMID: 24965601
et al,Alzheimer's Disease and Methanol Toxicity (Part 1): Chronic Methanol Feeding Led to Memory Impairments and Tau Hyperphosphorylation in Mice. In J Alzheimers Dis on 2014 by Meifeng Yang, Jing Lu,et al..PMID:24787915 , (2014),
PMID: 24787915
et al,A Novel Mechanism for Endogenous Formaldehyde Elevation in SAMP8 Mouse. In J Alzheimers Dis on 2014 by Min Qiang, Rong Xiao锟?et al..PMID:24583407 , (2014),
PMID: 24583407
et al,Role of PrPC in tau protein levels and phosphorylation in Alzheimer's disease evolution. In Mol Neurobiol on 2015 by C Vergara, L Ord贸帽ez-Guti茅rrez锛宔t al..PMID:24965601 , (2015),
PMID: 24965601
et al,Two widely used RSK inhibitors, BI-D1870 and SL0101, alter mTORC1 signaling in a RSK-independent manner. In Cell Signal on 2015 Aug by Mart铆n Roff茅, Fernanda C Lupinacci,et al..PMID:25889895 , (2015),
PMID: 25889895
et al,Interneuron Accumulation of Phosphorylated tau Impairs Adult Hippocampal Neurogenesis by Suppressing GABAergic Transmission. In Cell Stem Cell on 2020 Mar 5 by Jie Zheng, Hong-Lian Li,et al..PMID:31978364 , (2020),
PMID: 31978364
et al,Differences in Tau Seeding in Newborn and Adult Wild-Type Mice. In Int J Mol Sci on 2022 Apr 26 by Isidro Ferrer, Pol Andrés-Benito,et al..PMID:35563179 , (2022),
PMID: 35563179
et al,Age-dependent elevation of Nr4a1 attenuates PI3K/AKT/GSK3β pathway and mediates tau hyperphosphorylation and cognitive impairments , (2025),
PMID: 40533054
et al,Fusobacterium nucleatum infection-induced neurodegeneration and abnormal gut microbiota composition in Alzheimer's disease-like rats , (2022),
PMID: 36188448

注释

应用

  • WB免疫印迹
  • IHC免疫组化
  • IF免疫荧光
  • ICC免疫细胞化学
  • FC流式细胞
  • IP免疫沉淀
  • E酶联免疫吸附法
  • DB免疫斑点法
  • ChIP染色质免疫沉淀
  • GICA胶体金免疫层析法
  • NC阴性对照

种属反应性

  • Hu
  • Ms小鼠
  • Rt大鼠
  • Dm果蝇
  • C线虫
  • Mk
  • Rb
  • B
  • D
  • P
  • Hm仓鼠
  • ChHm中国仓鼠
  • Chk
;

联系我们

Location :

南京市高新开发区星火路10号人才大厦C座

Phone :

400-9961-933
025-58868422

Email Address

info@sabbiotech.com