免费电话:400-9961-933
邮箱:info@sabbiotech.com
欢迎光临本站
川博智能体 English
位置: 首页 > 磷酸化抗体 > Myosin Light Chain 2 (Phospho-Ser19) Antibody

Myosin Light Chain 2 (Phospho-Ser19) Antibody #11114

是否有货: 有货
产品详情

Cas10398

产品名称Myosin Light Chain 2 (Phospho-Ser19) Antibody

来源种属Rabbit

克隆性Polyclonal

纯化The antibody was purified by immunogen affinity chromatography.

应用WB;IHC;ICC/IF

种属反应性Human;Mouse;Rat

特异性The antibody detects endogenous level of Myosin Light Chain 2 only when phosphorylated at serine 19.

免疫原类型Peptide-KLH

免疫原描述Peptide sequence around phosphorylation site of serine 19 (A-T-S(p)-N-V) derived from Human Myosin Light Chain 2.

基因/蛋白名称Myosin Light Chain 2

标记Unconjugated

别名LC20; MLC2; MRLC1; MYRL2; MLC-2C; MMIHS4

数据库入口号P24844

Uniprot P24844

浓度1.0mg/ml

配方Liquid in 0.42% Potassium phosphate, 0.87% Sodium chloride, pH 7.3, 30% glycerol, and 0.01% sodium azide.

保存Store at -20°C for long term preservation (recommended). Store at 4°C for short term use.

应用详情
WB 1:500-1:1000;
IHC 1:50-1:200;
ICC/IF 1:50-1:200
Western blot analysis of Myosin Light Chain 2 (Phospho-Ser19) Antibody expression in Rat heart (A) lysates.
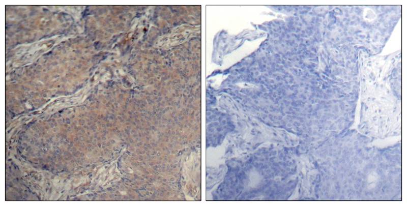
Immunohistochemical analysis of Myosin Light Chain 2 (Phospho-Ser19) staining in human brain formalin fixed paraffin embedded tissue section. The section was pre-treated using heat mediated antigen retrieval with sodium citrate buffer (pH 6.0). The section was then incubated with the antibody at room temperature and detected using an HRP conjugated compact polymer system. DAB was used as the chromogen. The section was then counterstained with haematoxylin and mounted with DPX.
Immunofluorescent analysis of Myosin Light Chain 2 (Phospho-Ser19) staining in HUVEC cells. Formalin-fixed cells were permeabilized with 0.1% Triton X-100 in TBS for 5-10 minutes and blocked with 3% BSA-PBS for 30 minutes at room temperature. Cells were probed with the primary antibody in 3% BSA-PBS and incubated overnight at 4 °C in a humidified chamber. Cells were washed with PBST and incubated with a AF594-conjugated secondary antibody (red) in PBS at room temperature in the dark.

Myosin regulatory subunit that plays an important role in regulation of both smooth muscle and nonmuscle cell contractile activity via its phosphorylation. Implicated in cytokinesis, receptor capping, and cell locomotion

Janiak A, et al. (2006) Mol Biol Cell. Apr; 17(4): 1606-1619.
Croft DR, et al. (2006) Mol Cell Biol. 2 Jun; 26(12): 4612-4627
Li Z, et al. (2006) Mol Cell Biol. Jun; 26(11): 4240-4256

如果您使用该产品11114发表了文章,请通知我们,让我们可以引用您的文献。

et al,TLR-mediated secretion of endoplasmic reticulum aminopeptidase 1 from macrophages.In J Immunol on 2014 May 1 by Yoshikuni Goto, Kenji Ogawa et al..PMID:24688025 , (2014),
PMID: 24688025
et al, Phosphorylated myosin light chain 2 (p-MLC2) as a molecular marker of antemortem coronary artery spasm.In Med Sci Monit on 2016 Sep 19 by Liliang Li, Yuhua Li et al..PMID: 27643564 , (2016),
PMID: 27643564
et al,Tetramethylpyrazine Suppresses the Enhanced Ca2+ Sensitivity through Inhibiting the Expression of RhoA-ROCK in Artery of Simulated Weightlessness Rats. , (2022),
PMID:
et al,FOXD3 confers chemo-sensitivity in ovarian cancer through a miR-335/DAAM1/myosin II axis-dependent mechanismInJ Ovarian ResOn2023 Jan 10byShufen Wang?1,?Yan Ma? et al..PMID:?36627652 , (2023),
PMID: 36627652
et al,Gastrodin attenuates angiotensin II-induced vascular contraction and MLCK/p-MLC2 pathway activationIn Pharm BiolOn2023 DecbyZhi Guo , Xuan Yang et al..PMID:37211627 , (2023),
PMID: 37211627
et al,Trifolin inhibits the calcium-driven contraction pathway in vascular smooth muscle , (2025),
PMID: 40520190
et al,DAPK1 acts as a positive regulator of hypertension via induction of vasoconstriction , (2025),
PMID: 40454931

注释

应用

  • WB免疫印迹
  • IHC免疫组化
  • IF免疫荧光
  • ICC免疫细胞化学
  • FC流式细胞
  • IP免疫沉淀
  • E酶联免疫吸附法
  • DB免疫斑点法
  • ChIP染色质免疫沉淀
  • GICA胶体金免疫层析法
  • NC阴性对照

种属反应性

  • Hu
  • Ms小鼠
  • Rt大鼠
  • Dm果蝇
  • C线虫
  • Mk
  • Rb
  • B
  • D
  • P
  • Hm仓鼠
  • ChHm中国仓鼠
  • Chk
;

联系我们

Location :

南京市高新开发区星火路10号人才大厦C座

Phone :

400-9961-933
025-58868422

Email Address

info@sabbiotech.com