免费电话:400-9961-933
邮箱:info@sabbiotech.com
欢迎光临本站
川博智能体 English
位置: 首页 > 磷酸化抗体 > ATM(Phospho-Ser1981) Antibody

ATM(Phospho-Ser1981) Antibody #11122

是否有货: 有货
产品详情

产品名称ATM(Phospho-Ser1981) Antibody

来源种属Rabbit

克隆性Polyclonal

纯化Antibodies were produced by immunizing rabbits with synthetic phosphopeptide and KLH conjugates. Antibodies were purified by affinity-chromatography using epitope-specific phosphopeptide. Non-phospho specific antibodies were removed by chromatogramphy using non-phosphopeptide.

应用WB IHC

种属反应性Human

特异性The antibody detects endogenous level of ATM only when phosphorylated at serine 1981.

免疫原类型Peptide-KLH

免疫原描述Peptide sequence around phosphorylation site of serine 1981 (E-G-S(p)-Q-S) derived from Human ATM.

基因/蛋白名称ATM

标记Unconjugated

别名Ataxia telangiectasia mutated homolog; Ataxia telangiectasia mutated; kinase ATM

数据库入口号Swiss-Prot: Q13315
NCBI Protein: NP_000042.3

Uniprot Q13315

浓度1.0mg/ml

配方Supplied at 1.0mg/mL in phosphate buffered saline (without Mg2+ and Ca2+), pH 7.4, 150mM NaCl, 0.02% sodium azide and 50% glycerol.

保存Store at -20°C for long term preservation (recommended). Store at 4°C for short term use.

应用详情

Predicted MW: 350kd
Western blotting: 1:500~1:1000
Immunohistochemistry: 1:50~1:100
 

Western blot analysis of extracts from Hela cells untreated or treated with UV using ATM(Phospho-Ser1981) Antibody #11122
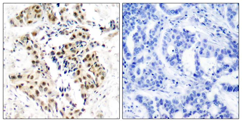
Immunohistochemical analysis of paraffin-embedded human breast carcinoma tissue using ATM(Phospho-Ser1981) Antibody #11122(left) or the same antibody preincubated with blocking peptide(right).

ATM encoded by this gene belongs to the PI3/PI4-kinase family. This protein is an important cell cycle checkpoint kinase that phosphorylates; thus, it functions as a regulator of a wide variety of downstream proteins, including tumor suppressor proteins p53 and BRCA1, checkpoint kinase CHK2, checkpoint proteins RAD17 and RAD9, and DNA repair protein NBS1. This protein and the closely related kinase ATR are thought to be master controllers of cell cycle checkpoint signaling pathways that are required for cell response to DNA damage and for genome stability. Mutations in this gene are associated with ataxia telangiectasia, an autosomal recessive disorder. Two transcript variants encoding different isoforms have been found for this gene.

Gupta A. et al. (2005) Mol Cell Biol. 25(12): 5292-5305.
Bernstein JL. et al. (2002) Breast Cancer Res. 4(6): 249-252.
Silverman J. et al. (2004) Genes Dev. 18(17): 2108-2119.
Nakada D. et al. (2003) Nucleic Acids Res. 31(6): 1715-1724.
 

如果您使用该产品11122发表了文章,请通知我们,让我们可以引用您的文献。

et al,Expression status of ataxia telangiectasia mutated gene coorelated with Prognosis in advanced gastric cancer , (2008),
PMID: 17928013
et al,Mutant telomerase RNAs induce DNA damage and apoptosis via the TRF2-ATM pathway in telomerase-overexpressing primary fibroblasts. , (2011),
PMID: 21824286
et al,Identification of Signaling Pathways Mediating Cell Cycle Arrest and Apoptosis Induced by Porphyromonas gingivalis in Human Trophoblasts, Infect. , (2012),
PMID: 22689813
et al,ATM localization and gene expression in the adult mouse eye. , (2009),
PMID: 19234633
et al,ATM localization and gene expression in the adult mouse eye. In Mol Vis on 2009 by Julia Leemput, Christel Masson, et al..PMID:19234633 , (2009),
PMID: 19234633
et al,Mutant telomerase RNAs induce DNA damage and apoptosis via the TRF2鈥怉TM pathway in telomerase鈥恛verexpressing primary fibroblasts. In FEBS J on 2011 Oct by Ling L Tay, Wei H Tan, et al..PMID: 21824286 , (2011),
PMID: 21824286

注释

应用

  • WB免疫印迹
  • IHC免疫组化
  • IF免疫荧光
  • ICC免疫细胞化学
  • FC流式细胞
  • IP免疫沉淀
  • E酶联免疫吸附法
  • DB免疫斑点法
  • ChIP染色质免疫沉淀
  • GICA胶体金免疫层析法
  • NC阴性对照

种属反应性

  • Hu
  • Ms小鼠
  • Rt大鼠
  • Dm果蝇
  • C线虫
  • Mk
  • Rb
  • B
  • D
  • P
  • Hm仓鼠
  • ChHm中国仓鼠
  • Chk
;

联系我们

Location :

南京市高新开发区星火路10号人才大厦C座

Phone :

400-9961-933
025-58868422

Email Address

info@sabbiotech.com