免费电话:400-9961-933
邮箱:info@sabbiotech.com
欢迎光临本站
川博智能体 English
位置: 首页 > 磷酸化抗体 > LIMK1(Phospho-Thr508) Antibody

LIMK1(Phospho-Thr508) Antibody #11126

是否有货: 有货
产品详情

产品名称LIMK1(Phospho-Thr508) Antibody

来源种属Rabbit

克隆性Polyclonal

纯化Antibodies were produced by immunizing rabbits with synthetic phosphopeptide and KLH conjugates. Antibodies were purified by affinity-chromatography using epitope-specific phosphopeptide. Non-phospho specific antibodies were removed by chromatogramphy using non-phosphopeptide.

应用WB IHC IF

种属反应性Human;Mouse;Rat

特异性The antibody detects endogenous level of LIMK1 only when phosphorylated at threonine 508.

免疫原类型Peptide-KLH

免疫原描述Peptide sequence around phosphorylation site of threonine 508 (R-Y-T(p)-V-V) derived from Human LIMK1.

基因/蛋白名称LIMK1

标记Unconjugated

别名LIMK-1; kinase LIMK1;

数据库入口号Swiss-Prot: P53667
NCBI Protein: NP_002305.1

Uniprot P53667

浓度1.0mg/ml

配方Supplied at 1.0mg/mL in phosphate buffered saline (without Mg2+ and Ca2+), pH 7.4, 150mM NaCl, 0.02% sodium azide and 50% glycerol.

保存Store at -20°C for long term preservation (recommended). Store at 4°C for short term use.

应用详情

Predicted MW: 72kd
Western blotting: 1:500~1:1000
Immunohistochemistry: 1:50~1:100
Immunofluorescence: 1:100~1:200

Western blot analysis of extracts from UV-treated C2C12, PMA-treated Hela and anisomycin-treated 293 cells using LIMK1(Phospho-Thr508) Antibody #11126.
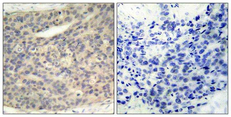
Immunohistochemical analysis of paraffin-embedded human breast carcinoma tissue using LIMK1(Phospho-Thr508) Antibody #11126(left) or the same antibody preincubated with blocking peptide(right).
Immunofluorescence staining of methanol-fixed Hela cells using LIMK1(Phospho-Thr508) Antibody #11126.
Lane 1 : Hela treated with PMA; Lane 2 : Mouse brain tissue; Lane 3 : Rat brain tissue; Lane 4 : N-peptide blocked Hela treated with PMA; Lane 5 : N-peptide blocked Mouse brain tissue; Lane 6 : N-peptide blocked Rat brain tissue; Lane 7 : P-peptide blocked Hela treated with PMA; Lane 8 : P-peptide blocked Mouse brain tissue; Lane 9 : P-peptide blocked Rat brain tissue; Lysates/proteins at 40 µg per lane. Predicted band size : 72 kDa Observed band size : 72 kDa

Protein kinase which regulates actin filament dynamics. Phosphorylates and inactivates the actin binding/depolymerizing factor cofilin, thereby stabilizing the actin cytoskeleton. Isoform 3 has a dominant negative effect on actin cytoskeletal changes. May be involved in brain development.

Soosairajah J, et al. (2005) EMBO J.
Ohashi K, et al. (2000) J Biol Chem; 275(5): 3577-82.
Edwards DC, et al. (1999) Nat Cell Biol; 1(5): 253-9.

如果您使用该产品11126发表了文章,请通知我们,让我们可以引用您的文献。

et al,DGCR6L, A Novel PAK4 Interaction Protein, Regulates PAK4-mediated migration of Human Gastric Cancer Cell via LIMK1. , (2008),
PMID: 19778628
et al,DGCR6L, a novel PAK4 interaction protein, regulates PAK4-mediated migration of human gastric cancer cell via LIMK1. In Int J Biochem Cell Biol on 2010 Jan by Xiaodong Li, Qiang Ke, et al..PMID: 19778628 , (2010),
PMID: 19778628
et al,Astragaloside IV improves muscle atrophy by modulating the activity of UPS and ALP via suppressing oxidative stress and inflammation in denervated mice , (2025),
PMID: 39480556

注释

应用

  • WB免疫印迹
  • IHC免疫组化
  • IF免疫荧光
  • ICC免疫细胞化学
  • FC流式细胞
  • IP免疫沉淀
  • E酶联免疫吸附法
  • DB免疫斑点法
  • ChIP染色质免疫沉淀
  • GICA胶体金免疫层析法
  • NC阴性对照

种属反应性

  • Hu
  • Ms小鼠
  • Rt大鼠
  • Dm果蝇
  • C线虫
  • Mk
  • Rb
  • B
  • D
  • P
  • Hm仓鼠
  • ChHm中国仓鼠
  • Chk
;

联系我们

Location :

南京市高新开发区星火路10号人才大厦C座

Phone :

400-9961-933
025-58868422

Email Address

info@sabbiotech.com