免费电话:400-9961-933
邮箱:info@sabbiotech.com
欢迎光临本站
川博智能体 English
位置: 首页 > 磷酸化抗体 > IKK- alpha (Phospho-Thr23) Antibody

IKK- alpha (Phospho-Thr23) Antibody #11129

是否有货: 有货
产品详情

产品名称IKK- alpha (Phospho-Thr23) Antibody

来源种属Rabbit

克隆性Polyclonal

亚型IgG

纯化Antibodies were produced by immunizing rabbits with synthetic phosphopeptide and KLH conjugates. Antibodies were purified by affinity-chromatography using epitope-specific phosphopeptide. Non-phospho specific antibodies were removed by chromatogramphy using non-phosphopeptide.

应用WB;IHC

种属反应性Human;Mouse;Rat

特异性The antibody detects endogenous level of IKKa only when phosphorylated at threonine 23.

免疫原类型Peptide-KLH

免疫原描述Peptide sequence around phosphorylation site of threonine 23 (L-G-T(p)-G-G) derived from Human IKK a.

基因/蛋白名称IKK a

标记Unconjugated

别名I kappa-B kinase alpha; I-kappa-B kinase 1; IKK-A; IKK-alpha; IKK1

数据库入口号Swiss-Prot: O15111
NCBI Protein: NP_001269.3

Uniprot O15111

计算分子量85 kDa

实际分子量85 kDa

浓度1.0mg/ml

配方Supplied at 1.0mg/mL in phosphate buffered saline (without Mg2+ and Ca2+), pH 7.4, 150mM NaCl, 0.02% sodium azide and 50% glycerol.

保存Store at -20°C for long term preservation (recommended). Store at 4°C for short term use.

应用详情

Predicted MW: 85kd
Western blotting: 1:500~1:1000
Immunohistochemistry: 1:50~1:100

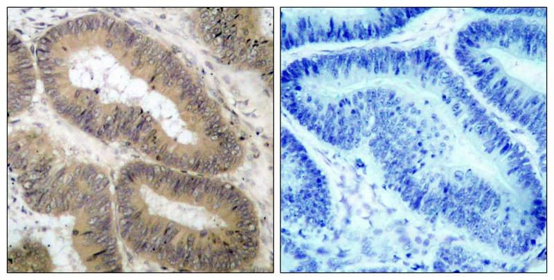
Immunohistochemical analysis of paraffin-embedded human colon carcinoma tissue using IKK- alpha (Phospho-Thr23) Antibody #11129. The picture on the right is treated with the synthesized peptide.
All lanes : IKK- alpha (Phospho-Thr23) Antibody at 1/500 dilution
Lane 1 : 293 whole cell lysates
Lane 2 : 293 treated with 20ng/ml TNFa for 15 minutes whole cell lysates
Lysates/proteins at 20 µg per lane.
Secondary
All lanes : Goat Anti-Rabbit IgG H&L (HRP) at 1/20000 dilution
Predicted band size: 85 kDa
Observed band size: 85 kDa
Exposure time: 7 seconds
All lanes : IKK- alpha (Phospho-Thr23) Antibody at 1/500 dilution
Lane 1 : Hela treated with EGF or calf intestinal phosphatase (CIP) whole cell lysates
Lane 2 : Hela treated with 100ng/mL EGF for 20 minutes whole cell lysates
Lysates/proteins at 20 µg per lane.
Secondary
All lanes : Goat Anti-Rabbit IgG H&L (HRP) at 1/20000 dilution
Predicted band size: 85 kDa
Observed band size: 85 kDa
Exposure time: 9 seconds

Acts as part of the IKK complex in the conventional pathway of NF-kappa-B activation and phosphorylates inhibitors of NF-kappa-B thus leading to the dissociation of the inhibitor/NF-kappa-B complex and ultimately the degradation of the inhibitor. As part of the non-canonical pathway of NF-kappa-B activation, the MAP3K14-activated CHUK/IKKA homodimer phosphorylates NFKB2/p100 associated with RelB, inducing its proteolytic processing to NFKB2/p52 and the formation of NF-kappa-B RelB-p52 complexes. Also phosphorylates NCOA3. Phosphorylates 'Ser-10' of histone H3 at NF-kappa-B-regulated promoters during inflammatory responses triggered by cytokines.

Yuan ZQ, et al.(2002) J Biol Chem; 277(33): 29973-82.
Ozes ON, et al. (1999) Nature; 401(6748): 82-5.

如果您使用该产品11129发表了文章,请通知我们,让我们可以引用您的文献。

et al,Noncanonical NF-魏B activation mediates STAT3-stimulated IDO upregulation in myeloid-derived suppressor cells in breast cancer.In J Immunol on 2014 Sep 1 by Jinpu Yu , Yue Wang et al..PMID:25063873 , (2014),
PMID: 25063873
et al,Protective effects of chlorogenic acid on inflammatory responses induced by Staphylococcus aureus and milk protein synthesis in bovine mammary epithelial cells. In Microb Pathog on 2022 Oct by Qiang Ji, Meng Zhang, et al..PMID: 35995255 , (2022),
PMID: 35995255

注释

应用

  • WB免疫印迹
  • IHC免疫组化
  • IF免疫荧光
  • ICC免疫细胞化学
  • FC流式细胞
  • IP免疫沉淀
  • E酶联免疫吸附法
  • DB免疫斑点法
  • ChIP染色质免疫沉淀
  • GICA胶体金免疫层析法
  • NC阴性对照

种属反应性

  • Hu
  • Ms小鼠
  • Rt大鼠
  • Dm果蝇
  • C线虫
  • Mk
  • Rb
  • B
  • D
  • P
  • Hm仓鼠
  • ChHm中国仓鼠
  • Chk
;

联系我们

Location :

南京市高新开发区星火路10号人才大厦C座

Phone :

400-9961-933
025-58868422

Email Address

info@sabbiotech.com