免费电话:400-9961-933
邮箱:info@sabbiotech.com
欢迎光临本站
川博智能体 English
位置: 首页 > 磷酸化抗体 > Rb(Phospho-Ser795) Antibody

Rb(Phospho-Ser795) Antibody #11130

是否有货: 有货
产品详情

产品名称Rb(Phospho-Ser795) Antibody

来源种属Rabbit

克隆性Polyclonal

亚型IgG

纯化Antibodies were produced by immunizing rabbits with synthetic phosphopeptide and KLH conjugates. Antibodies were purified by affinity-chromatography using epitope-specific phosphopeptide. Non-phospho specific antibodies were removed by chromatogramphy using non-phosphopeptide.

应用WB IHC IF

种属反应性Human

特异性The antibody detects endogenous level of Rb only when phosphorylated at serine 795.

免疫原类型Peptide-KLH

免疫原描述Peptide sequence around phosphorylation site of serine 795 (P-S-S(p)-P-L) derived from Human Rb.

基因/蛋白名称Rb

标记Unconjugated

别名P105-RB; PP105; PP110; RB-1; RB1

数据库入口号Swiss-Prot: P06400
NCBI Protein: NP_000312.2

Uniprot P06400

浓度1.0mg/ml

配方Supplied at 1.0mg/mL in phosphate buffered saline (without Mg2+ and Ca2+), pH 7.4, 150mM NaCl, 0.02% sodium azide and 50% glycerol.

保存Store at -20°C for long term preservation (recommended). Store at 4°C for short term use.

应用详情
Predicted MW: 110kd
Western blotting: 1:500~1:1000
Immunohistochemistry: 1:50~1:100
Immunofluorescence: 1:100~1:200
Western blot analysis of extracts from K562 cells untreated(lane 1) or treated with serum(lane 2) using Rb(Phospho-Ser795) Antibody #11130.
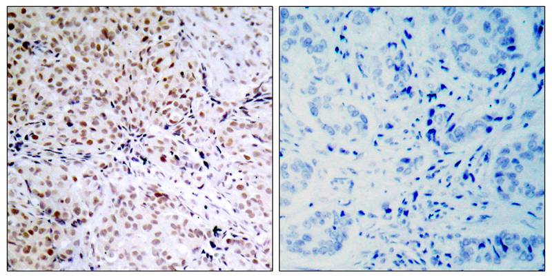
Immunohistochemical analysis of paraffin-embedded human breast carcinoma tissue using Rb(Phospho-Ser795) Antibody #11130(left) or the same antibody preincubated with blocking peptide(right).
Immunofluorescence staining of methanol-fixed Hela cells using Rb(Phospho-Ser795) Antibody #11130.
Key regulator of entry into cell division that acts as a tumor suppressor. Acts as a transcription repressor of E2F1 target genes. The underphosphorylated, active form of RB1 interacts with E2F1 and represses its transcription activity, leading to cell cycle arrest. Directly involved in heterochromatin formation by maintaining overall chromatin structure and, in particular, that of constitutive heterochromatin by stabilizing histone methylation. Recruits and targets histone methyltransferases SUV39H1, SUV420H1 and SUV420H2, leading to epigenetic transcriptional repression. Controls histone H4 'Lys-20' trimethylation. Inhibits the intrinsic kinase activity of TAF1. In case of viral infections, interactions with SV40 large T antigen, HPV E7 protein or adenovirus E1A protein induce the disassembly of RB1-E2F1 complex thereby disrupting RB1's activity.

Fang Sun , Hanjiang Fu , Qin Liu, et al. (2008) Downregulation of CCND1 and CDK6 by miR-34a induces cell cyclearrest. FEBS Letters, 582:1564

如果您使用该产品11130发表了文章,请通知我们,让我们可以引用您的文献。

et al,Downregulation of CCND1 and CDK6 by miR-34a induces cell cyclearrest. , (2008),
PMID: 18406353
et al,T-helper-1-cell cytokines drive cancer into senescence. , (2013),
PMID: 23376950
et al,Downregulation of CCND1 and CDK6 by miR-34a Induces Cell Cycle Arrest.In FEBS Lett on 2008 Apr 30 by Fang Sun, Hanjiang Fu,et al..PMID:18406353 , (2008),
PMID: 18406353
et al,T-helper-1-cell Cytokines Drive Cancer Into Senescence. In Nature on 2013 Feb 21 by Heidi Braum眉ller, Thomas Wieder, et al..PMID: 23376950 , (2013),
PMID: 23376950
et al,EEN regulates the proliferation and survival of multiple myeloma cells by potentiating IGF-1 secretion.In Biochem Biophys Res Commun on 2014 May 2 by Er-Wen Huang , Sheng-Jiang Xue et al ..PMID: 24704450 , (2014),
PMID: 24704450
et al, Nuclear distribution of claudin-2 increases cell proliferation in human lung adenocarcinoma cells.In Biochim Biophys Acta on 2014 Sep by Akira Ikari, Ryo Watanabe et al..PMID: 24907662 , (2014),
PMID: 24907662

注释

应用

  • WB免疫印迹
  • IHC免疫组化
  • IF免疫荧光
  • ICC免疫细胞化学
  • FC流式细胞
  • IP免疫沉淀
  • E酶联免疫吸附法
  • DB免疫斑点法
  • ChIP染色质免疫沉淀
  • GICA胶体金免疫层析法
  • NC阴性对照

种属反应性

  • Hu
  • Ms小鼠
  • Rt大鼠
  • Dm果蝇
  • C线虫
  • Mk
  • Rb
  • B
  • D
  • P
  • Hm仓鼠
  • ChHm中国仓鼠
  • Chk
;

联系我们

Location :

南京市高新开发区星火路10号人才大厦C座

Phone :

400-9961-933
025-58868422

Email Address

info@sabbiotech.com