免费电话:400-9961-933
邮箱:info@sabbiotech.com
欢迎光临本站
川博智能体 English
位置: 首页 > 磷酸化抗体 > CDC2(Phospho-Thr161) Antibody

CDC2(Phospho-Thr161) Antibody #11134

是否有货: 有货
产品详情

产品名称CDC2(Phospho-Thr161) Antibody

来源种属Rabbit

克隆性Polyclonal

纯化Antibodies were produced by immunizing rabbits with synthetic phosphopeptide and KLH conjugates. Antibodies were purified by affinity-chromatography using epitope-specific phosphopeptide. Non-phospho specific antibodies were removed by chromatogramphy using non-phosphopeptide.

应用WB IHC

种属反应性Human;Mouse;Rat

特异性The antibody detects endogenous level of CDC2 only when phosphorylated at threonine 161.

免疫原类型Peptide-KLH

免疫原描述Peptide sequence around phosphorylation site of threonine161 (T-Y-T(p)-H-E) derived from Human CDC2.

基因/蛋白名称CDC2

标记Unconjugated

别名CDC28; CDC2A; CDK1; Cyclin-dependent kinase 1;

数据库入口号Swiss-Prot: P06493
NCBI Protein: NP_001163877.1

Uniprot P06493

浓度1.0mg/ml

配方Supplied at 1.0mg/mL in phosphate buffered saline (without Mg2+ and Ca2+), pH 7.4, 150mM NaCl, 0.02% sodium azide and 50% glycerol.

保存Store at -20°C for long term preservation (recommended). Store at 4°C for short term use.

应用详情
Predicted MW: 34kd
Western blotting: 1:500~1:1000
Immunohistochemistry: 1:50~1:100
Western blot analysis of extracts from Hela cells untreated(lane 1) or treated with UV(lane 2) using CDC2(Phospho-Thr161) Antibody #11134.
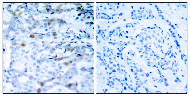
Immunohistochemical analysis of paraffin-embedded human breast carcinoma tissue using CDC2(Phospho-Thr161) Antibody #11134(left) or the same antibody preincubated with blocking peptide(right).
Plays a key role in the control of the eukaryotic cell cycle. It is required in higher cells for entry into S-phase and mitosis. p34 is a component of the kinase complex that phosphorylates the repetitive C-terminus of RNA polymerase II.

Ukomadu C, et al.(2003) J Biol Chem; 278(7): 4840-6.
Morris MC, et al.(2002)J Biol Chem; 277(26): 23847-53.
Brown NR, et al.(1999)J Biol Chem; 274(13): 8746-56.
Liu Y, et al.(2004)J Biol Chem; 279(6): 4507-14.

如果您使用该产品11134发表了文章,请通知我们,让我们可以引用您的文献。

et al,Adaptive Gene Regulation of Pyruvate Dehydrogenase Kinase Isoenzyme 4 in Hepatotoxic Chemical-Induced Liver Injury and Its Stimulatory Potential for DNA Repair and Cell Proliferation.In J Recept Signal Transduct Res on 2011 Feb by Minori Dateki, Megumi Kunitomo,et al..PMID:21182459 , (2011),
PMID: 21182459
et al,Sinularin induces oxidative stress鈥恗ediated G2/M arrest and apoptosis in oral cancer cells.In Environ Toxicol on 2017 Sep by Yung-Ting Chang , Chang-Yi Wu,et al..PMID:28548367 , (2017),
PMID: 28548367
et al,Enhanced Proliferation of Bone Marrow Mesenchymal Stem Cells by Co-Culture With TM4 Mouse Sertoli Cells: Involvement of the EGF/PI3K/AKT Pathway .In Mol Cell Biochem on 2014 Aug byHuan Tian , Meijin Guo et al..PMID:24748323 , (2014),
PMID: 24748323

注释

应用

  • WB免疫印迹
  • IHC免疫组化
  • IF免疫荧光
  • ICC免疫细胞化学
  • FC流式细胞
  • IP免疫沉淀
  • E酶联免疫吸附法
  • DB免疫斑点法
  • ChIP染色质免疫沉淀
  • GICA胶体金免疫层析法
  • NC阴性对照

种属反应性

  • Hu
  • Ms小鼠
  • Rt大鼠
  • Dm果蝇
  • C线虫
  • Mk
  • Rb
  • B
  • D
  • P
  • Hm仓鼠
  • ChHm中国仓鼠
  • Chk
;

联系我们

Location :

南京市高新开发区星火路10号人才大厦C座

Phone :

400-9961-933
025-58868422

Email Address

info@sabbiotech.com