免费电话:400-9961-933
邮箱:info@sabbiotech.com
欢迎光临本站
川博智能体 English
位置: 首页 > 磷酸化抗体 > FKHR(Phospho-Ser319) Antibody

FKHR(Phospho-Ser319) Antibody #11136

是否有货: 有货
产品详情

产品名称FKHR(Phospho-Ser319) Antibody

来源种属Rabbit

克隆性Polyclonal

纯化The antibody was affinity-purified from rabbit antiserum by affinity-chromatography using epitope-specific immunogen.

应用WB IHC IF

种属反应性Human;Mouse;Rat

特异性The antibody detects endogenous level of FKHR only when phosphorylated at serine 319.

免疫原类型Peptide

免疫原描述The antiserum was produced against synthesized peptide derived from human FKHR around the phosphorylation site of Ser319.

基因/蛋白名称FKHR

标记Unconjugated

别名FOXO1

数据库入口号Swiss-Prot: Q12778
NCBI Protein: NP_002006.2

Uniprot Q12778

计算分子量82 kDa

浓度1.0mg/ml

配方Liquid in PBS containing 50% glycerol, 0.5% BSA and 0.02% sodium azide.

保存Store at -20°C for long term preservation (recommended). Store at 4°C for short term use.

应用详情
WB 1:500-1:2000
IHC 1:100-1:300
IF 1:50-200
Western Blot analysis of various cells using FKHR(Phospho-Ser319) Antibody.
Western Blot analysis of 293 cells using FKHR(Phospho-Ser319) Antibody.
Western blot analysis of lysates from HeLa cells treated with EGF, using FKHR(Phospho-Ser319) Antibody.. The lane on the right is blocked with the phospho peptide.
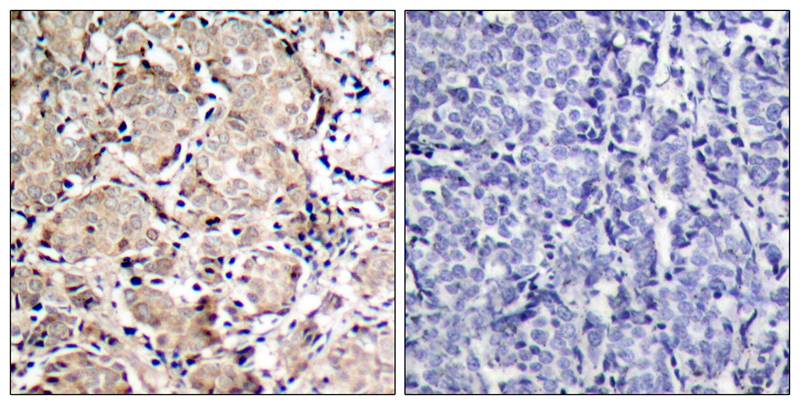
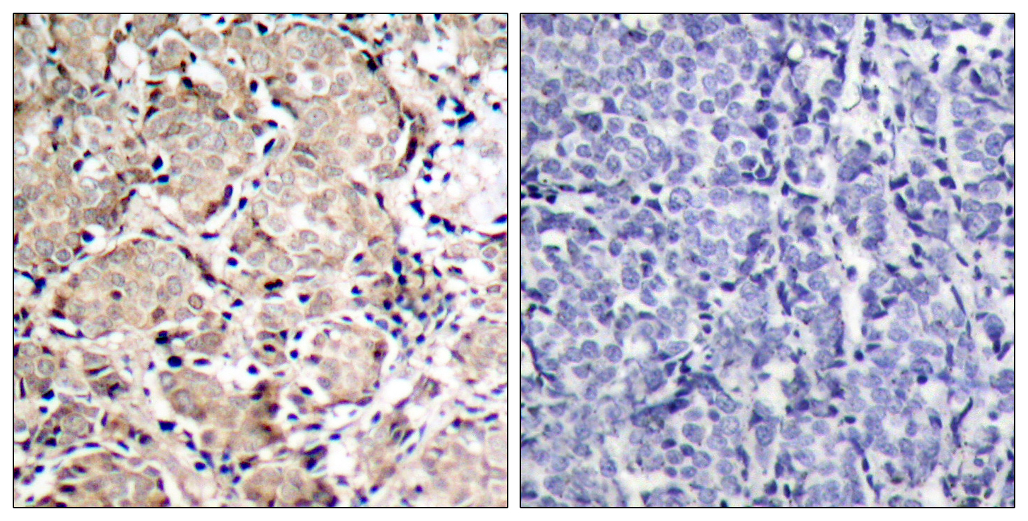
Immunohistochemistry analysis of paraffin-embedded human breast carcinoma, using FKHR(Phospho-Ser319) Antibody. The picture on the right is blocked with the phospho peptide.

FKHR belongs to the forkhead family of transcription factors, which are characterized by a distinct forkhead domain. It may play a role in myogenic growth and differentiation. The mammalian DAF-16-like transcription factors, FKHR, FKHRL1, and AFX, function as key regulators of insulin signaling, cell cycle progression, and apoptosis downstream of phosphoinositide 3-kinase. Gene activation through binding to insulin response sequences has been essential for mediating these functions. D-type Cyclins (in Class III) is required for FKHR mediated inhibition of cell cycle progression and transformation. FKHR gene is mapped to chromosome 13q14

Rena G, et al. (2002) EMBO J 21(9): 2263-2271.
Woods YL, et al. (2001) Biochem J355(Pt 3): 597-607.
Rena G, et al. (2001) Biochem J 354(Pt 3): 605-612.

如果您使用该产品11136发表了文章,请通知我们,让我们可以引用您的文献。

et al,Activation of FoxO by LRRK2 induces expression of proapoptotic proteins and alters survival of postmitotic dopaminergic neuron in Drosophila. In Hum Mol Genet on 2010 Oct 1 by Tomoko Kanao, Katerina Venderova, et al..PMID:20624856 , (2010),
PMID: 20624856
et al,The nitric oxide-cyclic GMP pathway regulates FoxO and alters dopaminergic neuron survival in Drosophila. In PLoS One on 2012 by Tomoko Kanao, Tomoyo Sawada, et al..PMID:22393355 , (2012),
PMID: 22393355
et al,Translocation of forkhead box O1 to the nuclear periphery induces histone modifications that regulate transcriptional repression of PCK1 in HepG2 cells.In Genes Cells on 2015 Apr by Tamaki Arai, Fumi Kano et al..PMID: 25736587 , (2015),
PMID: 25736587

注释

应用

  • WB免疫印迹
  • IHC免疫组化
  • IF免疫荧光
  • ICC免疫细胞化学
  • FC流式细胞
  • IP免疫沉淀
  • E酶联免疫吸附法
  • DB免疫斑点法
  • ChIP染色质免疫沉淀
  • GICA胶体金免疫层析法
  • NC阴性对照

种属反应性

  • Hu
  • Ms小鼠
  • Rt大鼠
  • Dm果蝇
  • C线虫
  • Mk
  • Rb
  • B
  • D
  • P
  • Hm仓鼠
  • ChHm中国仓鼠
  • Chk
;

联系我们

Location :

南京市高新开发区星火路10号人才大厦C座

Phone :

400-9961-933
025-58868422

Email Address

info@sabbiotech.com