免费电话:400-9961-933
邮箱:info@sabbiotech.com
欢迎光临本站
川博智能体 English
位置: 首页 > 磷酸化抗体 > cofilin(Phospho-Ser3) Antibody

cofilin(Phospho-Ser3) Antibody #11139

是否有货: 有货
产品详情

产品名称cofilin(Phospho-Ser3) Antibody

来源种属Rabbit

克隆性Polyclonal

纯化Antibodies were produced by immunizing rabbits with synthetic phosphopeptide and KLH conjugates. Antibodies were purified by affinity-chromatography using epitope-specific phosphopeptide. Non-phospho specific antibodies were removed by chromatogramphy using non-phosphopeptide.

应用WB IHC IF

种属反应性Human;Mouse;Rat

特异性The antibody detects endogenous level of cofilin only when phosphorylated at serine 3.

免疫原类型Peptide-KLH

免疫原描述Peptide sequence around phosphorylation site of serine 3 (M-A-S(p)-G-V) derived from Human cofilin.

基因/蛋白名称cofilin

标记Unconjugated

别名CFL; CFL1;

数据库入口号Swiss-Prot: P23528
NCBI Protein: NP_005498.1

Uniprot P23528

浓度1.0mg/ml

配方Supplied at 1.0mg/mL in phosphate buffered saline (without Mg2+ and Ca2+), pH 7.4, 150mM NaCl, 0.02% sodium azide and 50% glycerol.

保存Store at -20°C for long term preservation (recommended). Store at 4°C for short term use.

应用详情

Predicted MW: 19kd
Western blotting: 1:500~1:1000
Immunohistochemistry: 1:50~1:100
Immunofluorescence: 1:100~1:200

Western blot analysis of extracts from COLO205 cells using cofilin(Phospho-Ser3) Antibody #11139(Lane 2) and the same antibody preincubated with blocking peptide(Lane1).
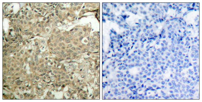
Immunohistochemical analysis of paraffin-embedded human breast carcinoma tissue using cofilin(Phospho-Ser3) Antibody #11139(left) or the same antibody preincubated with blocking peptide(right).
Immunofluorescence staining of methanol-fixed Hela cells using cofilin(Phospho-Ser3) Antibody #11139.
Lane 1 : HUVEC;
Lane 2 : HUVEC treated with EGF;
Lane 3 : MCF;
Lane 4 : MCF treated with EGF;
Lysates/proteins at 40 µg per lane.
Predicted band size : 19 kDa Observed band size : 19 kDa

Controls reversibly actin polymerization and depolymerization in a pH-sensitive manner. It has the ability to bind G- and F-actin in a 1:1 ratio of cofilin to actin. It is the major component of intranuclear and cytoplasmic actin rods.

Kobayashi M, et al. (2006) EMBO J 25(4): 713-26.
Wang Y, et al. (2005) Biol Chem 280(13): 12683-9.
Smith-Beckerman DM, et al. (2005) Mol Cell Proteomics: 156-68.

如果您使用该产品11139发表了文章,请通知我们,让我们可以引用您的文献。

et al,Actin-regulated feedback loop based on Phactr4, PP1 and cofilin maintains the actin monomer pool. , (2012),
PMID: 23203801
et al,Downregulation of p57 accelerates the growth and invasion of hepatocellular carcinoma. , (2011),
PMID: 22002319
et al,Regulation of cofilin phosphorylation and asymmetry in collective cell migration during morphogenesis. , (2011),
PMID: 21205790
et al,Downregulation of p57 Accelerates the Growth and Invasion of Hepatocellular Carcinoma.In Carcinogenesis on 2011 Dec by Hui Guo , Yi Lv,et al..PMID: 22002319 , (2011),
PMID: 22002319
et al,Regulation of cofilin phosphorylation and asymmetry in collective cell migration during morphogenesis. In Development on 2011 Feb by Lijun Zhang, Jun Luo, et al..PMID: 21205790 , (2011),
PMID: 21205790
et al,Actin-regulated feedback loop based on Phactr4, PP1 and cofilin maintains the actin monomer pool. In J Cell Sci on 2013 Jan 15 by Tiina Viita, Kari-Pekka Skarp,et al..PMID: 23203801 , (2013),
PMID: 23203801
et al,The role of cytoplasmic p57 in invasion of hepatocellular carcinoma.In BMC Gastroenterol. On 2015 Aug 15 by Hui Guo, Yi Li et al..PMID:26271467 , (2015),
PMID: 26271467
查看更多
et al,Genome-wide RNAi Screen for Nuclear Actin Reveals a Network of Cofilin Regulators .In J Cell Sci on 2015 Jul 1 by Joseph Dopie, Eeva K Rajakyl盲 et al..PMID: 26021350 , (2015),
PMID: 26021350
et al,Suppression of p21Rac Signaling and Increased Innate Immunity Mediate Remission in Crohn鈥檚 Disease.In sci Transl Med on 2014 Apr 23 by Kaushal Parikh , Lu Zhou et al..PMID:24760188 , (2014),
PMID: 24760188
et al,The NAV2 homolog Sickie regulates F-actin-mediated axonal growth in聽Drosophila聽mushroom body neurons via the non-canonical Rac-Cofilin pathway.In Development on 2014 Dec by Takashi Abe, Daisuke Yamazaki et al..PMID:25411210 , (2014),
PMID: 25411210
et al,X chromosome-linked intellectual disability protein PQBP1 associates with and regulates the translation of specific mRNAs. In Hum Mol Genet on 2015 Aug 15 by Didi Wan, Zi Chao Zhang,et al..PMID:26002102 , (2015),
PMID: 26002102
et al,Scribble scaffolds a signalosome for active forgetting. In Neuron on 2016 Jun 15 by Isaac Cervantes-Sandoval, Molee Chakraborty,et al..PMID:27263975 , (2016),
PMID: 27263975
et al,LIM Kinase Regulation of Cytoskeletal Dynamics Is Required for Salivary Gland Branching Morphogenesis. In Mol Biol Cellon 2014 Aug 15 by Shayoni Ray, Joseph A Fanti锛宔t al..PMID:24966172 , (2014),
PMID: 24966172
et al,Regulation of nuclear actin levels and MRTF/SRF target gene expression during PC6.3 cell differentiation. In Exp Cell Res on 2022 Nov 15 by Salla Kyher?inen, Alise Hyrskyluoto, et al..PMID: 36122768 , (2022),
PMID: 36122768

注释

应用

  • WB免疫印迹
  • IHC免疫组化
  • IF免疫荧光
  • ICC免疫细胞化学
  • FC流式细胞
  • IP免疫沉淀
  • E酶联免疫吸附法
  • DB免疫斑点法
  • ChIP染色质免疫沉淀
  • GICA胶体金免疫层析法
  • NC阴性对照

种属反应性

  • Hu
  • Ms小鼠
  • Rt大鼠
  • Dm果蝇
  • C线虫
  • Mk
  • Rb
  • B
  • D
  • P
  • Hm仓鼠
  • ChHm中国仓鼠
  • Chk
;

联系我们

Location :

南京市高新开发区星火路10号人才大厦C座

Phone :

400-9961-933
025-58868422

Email Address

info@sabbiotech.com