免费电话:400-9961-933
邮箱:info@sabbiotech.com
欢迎光临本站
川博智能体 English
位置: 首页 > 磷酸化抗体 > MKK6(Phospho-Ser207) Antibody

MKK6(Phospho-Ser207) Antibody #11146

是否有货: 有货
产品详情

产品名称MKK6(Phospho-Ser207) Antibody

来源种属Rabbit

克隆性Polyclonal

纯化Antibodies were produced by immunizing rabbits with synthetic phosphopeptide and KLH conjugates. Antibodies were purified by affinity-chromatography using epitope-specific phosphopeptide. Non-phospho specific antibodies were removed by chromatogramphy using non-phosphopeptide.

应用WB IHC IF

种属反应性Human;Mouse;Rat

特异性The antibody detects endogenous level of MKK6 only when phosphorylated at serine207.

免疫原类型Peptide-KLH

免疫原描述Peptide sequence around phosphorylation site of serine 207 (V-D-S(p)-V-A) derived from Human MKK6.

基因/蛋白名称MKK6

标记Unconjugated

别名MAP kinase kinase 6; MAP2K6; MAPK/ERK kinase 6; MAPKK 6; MEK6

数据库入口号Swiss-Prot: P52564
NCBI Protein: NP_002749.2

Uniprot P52564

浓度1.0mg/ml

配方Supplied at 1.0mg/mL in phosphate buffered saline (without Mg2+ and Ca2+), pH 7.4, 150mM NaCl, 0.02% sodium azide and 50% glycerol.

保存Store at -20°C for long term preservation (recommended). Store at 4°C for short term use.

应用详情

Predicted MW: 41kd
Western blotting: 1:500~1:1000
Immunohistochemistry: 1:50~1:100
Immunofluorescence: 1:100~1:200

Western blot analysis of extracts from HL60 cells untreated or treated with PMA using MKK6(Phospho-Ser207) Antibody #11146.
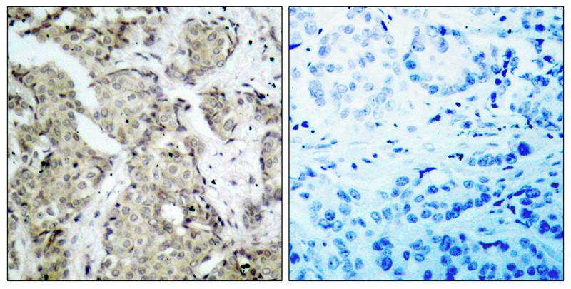
Immunohistochemical analysis of paraffin- embedded human breast carcinoma tissue using MKK6(Phospho-Ser207) Antibody #11146(left) or the same antibody preincubated with blocking peptide(right).
Immunofluorescence staining of methanol-fixed Hela cells showing cytoplasmic staining using MKK6(Phospho-Ser207) Antibody #11146.

Catalyzes the concomitant phosphorylation of a threonine and a tyrosine residue in MAP kinase p38 exclusively.

Wang W, et al. (2002) Mol Cell Biol ; 22(10): 3389-403.
Raingeaud J, et al. (1996) Mol Cell Biol; 16(3): 1247-55.

如果您使用该产品11146发表了文章,请通知我们,让我们可以引用您的文献。

et al,Suppression of phospho-p85α?CGTP-Rac1 lipid raft interaction by bichalcone analog attenuates cancer cell invasion. In Mol Carcinog on 2016 Dec by Hui-Li Lu, Shih-Shun Chen, et al..PMID: 26756739 , (2016),
PMID: 26756739

注释

应用

  • WB免疫印迹
  • IHC免疫组化
  • IF免疫荧光
  • ICC免疫细胞化学
  • FC流式细胞
  • IP免疫沉淀
  • E酶联免疫吸附法
  • DB免疫斑点法
  • ChIP染色质免疫沉淀
  • GICA胶体金免疫层析法
  • NC阴性对照

种属反应性

  • Hu
  • Ms小鼠
  • Rt大鼠
  • Dm果蝇
  • C线虫
  • Mk
  • Rb
  • B
  • D
  • P
  • Hm仓鼠
  • ChHm中国仓鼠
  • Chk
;

联系我们

Location :

南京市高新开发区星火路10号人才大厦C座

Phone :

400-9961-933
025-58868422

Email Address

info@sabbiotech.com