免费电话:400-9961-933
邮箱:info@sabbiotech.com
欢迎光临本站
川博智能体 English
位置: 首页 > 磷酸化抗体 > Jak2(Phospho-Tyr1007) Antibody

Jak2(Phospho-Tyr1007) Antibody #11151

是否有货: 有货
产品详情

产品名称Jak2(Phospho-Tyr1007) Antibody

来源种属Rabbit

克隆性Polyclonal

纯化Antibodies were produced by immunizing rabbits with synthetic phosphopeptide and KLH conjugates. Antibodies were purified by affinity-chromatography using epitope-specific phosphopeptide. Non-phospho specific antibodies were removed by chromatogramphy using non-phosphopeptide.

应用WB IHC

种属反应性Human;Mouse;Rat

特异性The antibody detects endogenous level of JAK2 only when phosphorylated at tyrosine 1007.

免疫原类型Peptide-KLH

免疫原描述Peptide sequence around phosphorylation site of tyrosine 1007 (K-E-Y(p)-Y-K) derived from Human JAK2.

基因/蛋白名称Jak2

标记Unconjugated

别名JAK-2; JAK2; Janus kinase 2; kinase Jak2;

数据库入口号Swiss-Prot: O60674
NCBI Protein: NP_004963.1

Uniprot O60674

浓度1.0mg/ml

配方Supplied at 1.0mg/mL in phosphate buffered saline (without Mg2+ and Ca2+), pH 7.4, 150mM NaCl, 0.02% sodium azide and 50% glycerol.

保存Store at -20°C for long term preservation (recommended). Store at 4°C for short term use.

应用详情

Predicted MW: 125kd
Western blotting: 1:500~1:1000
Immunohistochemistry: 1:50~1:100

Western blot analysis of extracts from HT29 cells untreated or treated with IL-4 using JAK2(Phospho-Tyr1007) Antibody #11151.
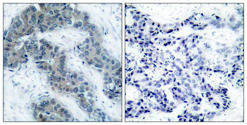
Immunohistochemical analysis of paraffin-embedded human breast carcinoma tissue using JAK2(Phospho-Tyr1007) Antibody #11151(left) or the same antibody preincubated with blocking peptide(right).
Western blot analysis of various lysates using Jak2(Phospho-Tyr1007) Antibody Antibody at 1:500 dilution. Secondary antibody: HRP-conjugated Goat anti-Rabbit IgG (H+L) (L3012) at 1:10000 dilution. Lysates/proteins: 25μg per lane.

Plays a role in leptin signaling and control of body weight

James C, et al. (2005) Nature. 434(7037): 1144-1148.
Argetsinger LS, et al. (2004) Mol Cell Biol. 24(11): 4955-4967.
Ungureanu D, et al. (2002) Mol Cell Biol. 22(10): 3316-3326.
Xie S, et al. (2001) Oncogene. 20(43): 6188-6195.

如果您使用该产品11151发表了文章,请通知我们,让我们可以引用您的文献。

et al,A thiazole-derived oridonIn analogue exhibits antitumor activity by directly and allosterically InhibitIng STAT3. In J Biol Chem on 2019 Nov 15;by Shen X, Zhao L,et al..PMID:31594861 , (2019),
PMID: 31594861
et al,The CombInation of Adipose-derived Schwann-like Cells and Acellular Nerve Allografts Promotes Sciatic Nerve Regeneration and Repair through the JAK2/STAT3 SignalIng Pathway In Rats. In Neuroscience on 2019 Dec 1 by Fu XM, Wang Y, et al..PMID:31682951 , (2019),
PMID: 31682951
et al,Cetuximab enhances oridonin-induced apoptosis through mitochondrial pathway and endoplasmic reticulum stress in laryngeal squamous cell carcinoma cells. In Toxicol In Vitro on 2020 May 12 by Ning Kang, Shijie Cao, et al..PMID:32407876 , (2020),
PMID: 32407876

注释

应用

  • WB免疫印迹
  • IHC免疫组化
  • IF免疫荧光
  • ICC免疫细胞化学
  • FC流式细胞
  • IP免疫沉淀
  • E酶联免疫吸附法
  • DB免疫斑点法
  • ChIP染色质免疫沉淀
  • GICA胶体金免疫层析法
  • NC阴性对照

种属反应性

  • Hu
  • Ms小鼠
  • Rt大鼠
  • Dm果蝇
  • C线虫
  • Mk
  • Rb
  • B
  • D
  • P
  • Hm仓鼠
  • ChHm中国仓鼠
  • Chk
;

联系我们

Location :

南京市高新开发区星火路10号人才大厦C座

Phone :

400-9961-933
025-58868422

Email Address

info@sabbiotech.com