免费电话:400-9961-933
邮箱:info@sabbiotech.com
欢迎光临本站
川博智能体 English
位置: 首页 > 磷酸化抗体 > PAK1(Phospho-Thr212) Antibody

PAK1(Phospho-Thr212) Antibody #11154

是否有货: 有货
产品详情

产品名称PAK1(Phospho-Thr212) Antibody

来源种属Rabbit

克隆性Polyclonal

纯化Antibodies were produced by immunizing rabbits with synthetic phosphopeptide and KLH conjugates. Antibodies were purified by affinity-chromatography using epitope-specific phosphopeptide. Non-phospho specific antibodies were removed by chromatogramphy using non-phosphopeptide.

应用WB IHC IF

种属反应性Human;Mouse;Rat

特异性The antibody detects endogenous level of PAK1 only when phosphorylated at threonine 212.

免疫原类型Peptide-KLH

免疫原描述Peptide sequence around phosphorylation site of threonine 212 (P-V-T(p)-P-T) derived from Human PAK1.

基因/蛋白名称PAK1

标记Unconjugated

别名p21-activated kinase 1; PAK-1; p65-PAK; Alpha-PAK;

数据库入口号Swiss-Prot: Q13153
NCBI Protein: NP_001122092.1

Uniprot Q13153

浓度1.0mg/ml

配方Supplied at 1.0mg/mL in phosphate buffered saline (without Mg2+ and Ca2+), pH 7.4, 150mM NaCl, 0.02% sodium azide and 50% glycerol.

保存Store at -20°C for long term preservation (recommended). Store at 4°C for short term use.

应用详情
Predicted MW: 68kd
Western blotting: 1:500~1:1000
Immunohistochemistry: 1:50~1:100
Immunofluorescence: 1:100~1:200
Western blot analysis of extracts from 293 cells untreated or treated with forskolin using PAK1(Phospho-Thr212) Antibody #11154.
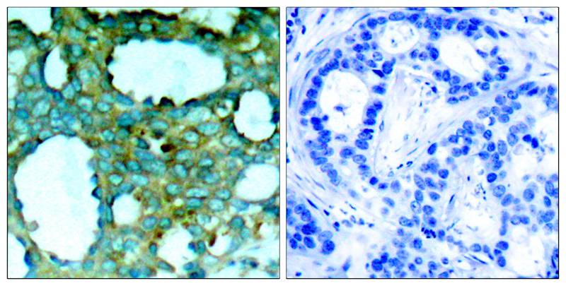
Immunohistochemical analysis of paraffin-embedded human breast carcinoma tissue using PAK1(Phospho-Thr212) Antibody #11154(left) or the same antibody preincubated with blocking peptide(right).
Immunofluorescence staining of methanol-fixed Hela cells using PAK1(Phospho-Thr212) Antibody #11154.
The activated kinase acts on a variety of targets. Likely to be the GTPase effector that links the Rho-related GTPases to the JNK MAP kinase pathway. Activated by CDC42 and RAC1. Involved in dissolution of stress fibers and reorganization of focal complexes. Involved in regulation of microtubule biogenesis through phosphorylation of TBCB. Activity is inhibited in cells undergoing apoptosis, potentially due to binding of CDC2L1 and CDC2L2.

Alexander K, et al. (2004) Mol Cell Biol; 24: 2808-2819
Thiel DA, et al. (2002) Curr Biol; 12:1227-1232
Rashid T, et al. (2001) J. Biol. Chem; 276: 49043 - 49052.

如果您使用该产品11154发表了文章,请通知我们,让我们可以引用您的文献。

et al,Estrogen-induced cell signaling in the sexually dimorphic nucleus of the rat preoptic area: potential involvement of cofilin in actin dynamics for cell migration.In Biochem Biophys Res Commun on 2013 May 3 by Yuko Wada-Kiyama, Chiaki Suzuki,et al..PMID:23537649 , (2013),
PMID: 23537649
et al,Phosphorylation of histone H3 on Ser10 by auto-phosphorylated PAK1 is not essential for chromatin condensation and meiotic progression in porcine oocytes. In J Anim Sci Biotechnol on 2013 Mar 22 by Xiaoling Xu, Chao Wang, et al..PMID: 23521812 , (2013),
PMID: 23521812

注释

应用

  • WB免疫印迹
  • IHC免疫组化
  • IF免疫荧光
  • ICC免疫细胞化学
  • FC流式细胞
  • IP免疫沉淀
  • E酶联免疫吸附法
  • DB免疫斑点法
  • ChIP染色质免疫沉淀
  • GICA胶体金免疫层析法
  • NC阴性对照

种属反应性

  • Hu
  • Ms小鼠
  • Rt大鼠
  • Dm果蝇
  • C线虫
  • Mk
  • Rb
  • B
  • D
  • P
  • Hm仓鼠
  • ChHm中国仓鼠
  • Chk
;

联系我们

Location :

南京市高新开发区星火路10号人才大厦C座

Phone :

400-9961-933
025-58868422

Email Address

info@sabbiotech.com