免费电话:400-9961-933
邮箱:info@sabbiotech.com
欢迎光临本站
川博智能体 English
位置: 首页 > 磷酸化抗体 > MEK1(Phospho-Ser221) Antibody

MEK1(Phospho-Ser221) Antibody#11161

是否有货: 有货
产品详情

产品名称MEK1(Phospho-Ser221) Antibody

来源种属Rabbit

克隆性Polyclonal

亚型IgG

纯化Antibodies were produced by immunizing rabbits with synthetic phosphopeptide and KLH conjugates. Antibodies were purified by affinity-chromatography using epitope-specific phosphopeptide. Non-phospho specific antibodies were removed by chromatogramphy using non-phosphopeptide.

应用WB IHC IF

种属反应性Human;Mouse;Rat

特异性The antibody detects endogenous level of MEK1 only when phosphorylated at serine 221.

免疫原类型Peptide-KLH

免疫原描述Peptide sequence around phosphorylation site of serine 221 (A-N-S(p)-F-V) derived from Human MEK1.

基因/蛋白名称MEK1

标记Unconjugated

别名ERK activator kinase 1; MAP kinase kinase 1; MAP2K1; MAPK/ERK kinase 1; MAPKK 1

数据库入口号Swiss-Prot: Q02750
NCBI Protein: NP_002746.1

Uniprot Q02750

浓度1.0mg/ml

配方Supplied at 1.0mg/mL in phosphate buffered saline (without Mg2+ and Ca2+), pH 7.4, 150mM NaCl, 0.02% sodium azide and 50% glycerol.

保存Store at -20°C for long term preservation (recommended). Store at 4°C for short term use.

应用详情

Predicted MW: 45kd
Western blotting: 1:500~1:1000
Immunohistochemistry: 1:50~1:100
Immunofluorescence: 1:100~1:200

Western blot analysis of extracts from Hela cells untreated or treated with EGF using MEK1(Phospho-Ser221) Antibody #11161.
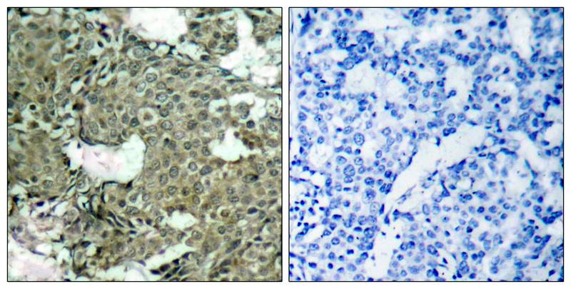
Immunohistochemical analysis of paraffin-embedded human breast carcinoma tissue using MEK1(Phospho-Ser221) Antibody #11161(left) or the same antibody preincubated with blocking peptide(right).
Immunofluorescence staining of methanol-fixed Hela cells using MEK1(Phospho-Ser221) Antibody #11161.
Western blot analysis of extracts from Hela cells, treated with calf intestinal phosphatase (CIP), using MEK1 (Phospho-Ser221) Antibody #11161.

Catalyzes the concomitant phosphorylation of a threonine and a tyrosine residue in a Thr-Glu-Tyr sequence located in MAP kinases. Activates ERK1 and ERK2 MAP kinases.

Zebisch A, et al. (2006) Cancer Res; 66(7): 3401-8.
Luciano BS, et al. (2006)J Biol Chem; 279(50): 52117-23.
Wang X, et al. (2003) Oncogene; 22(1): 109-16.
Gopalbhai K, et al. (2003) J Biol Chem; 278(10): 8118-25.
Ling MT, et al. (2002)Oncogene; 21(55): 8498-505.

如果您使用该产品11161发表了文章,请通知我们,让我们可以引用您的文献。

et al,MicroRNA-146b, a sensitive indicator of mesenchymal stem cell repair of acute renal injury. In Stem Cells Transl Med on 2016 Oct by Yuan Zhu, Jing Yu, et al..PMID: 27400799 , (2016),
PMID: 27400799
et al,Magnesium deprivation inhibits a MEK RK cascade and cell proliferation in renal epithelial Madin-Darby canine kidney cells. In Life Sci on 2010 May 8 by Akira Ikari, Kosuke Atomi, et al..PMID: 20338184 , (2010),
PMID: 20338184
et al,Magnesium deprivation inhibits a MEK CERK cascade and cell proliferation in renal epithelial Madin-Darby canine kidney cells. , (2010),
PMID: 20338184

注释

应用

  • WB免疫印迹
  • IHC免疫组化
  • IF免疫荧光
  • ICC免疫细胞化学
  • FC流式细胞
  • IP免疫沉淀
  • E酶联免疫吸附法
  • DB免疫斑点法
  • ChIP染色质免疫沉淀
  • GICA胶体金免疫层析法
  • NC阴性对照

种属反应性

  • Hu
  • Ms小鼠
  • Rt大鼠
  • Dm果蝇
  • C线虫
  • Mk
  • Rb
  • B
  • D
  • P
  • Hm仓鼠
  • ChHm中国仓鼠
  • Chk
;

联系我们

Location :

南京市高新开发区星火路10号人才大厦C座

Phone :

400-9961-933
025-58868422

Email Address

info@sabbiotech.com