免费电话:400-9961-933
邮箱:info@sabbiotech.com
欢迎光临本站
川博智能体 English
位置: 首页 > 磷酸化抗体 > ADD1(Phospho-Ser726) Antibody

ADD1(Phospho-Ser726) Antibody #11182

是否有货: 有货
产品详情

产品名称ADD1(Phospho-Ser726) Antibody

来源种属Rabbit

克隆性Polyclonal

亚型IgG

纯化Antibodies were produced by immunizing rabbits with synthetic phosphopeptide and KLH conjugates. Antibodies were purified by affinity-chromatography using epitope-specific phosphopeptide. Non-phospho specific antibodies were removed by chromatogramphy using non-phosphopeptide.

应用WB IHC IF

种属反应性Human;Mouse;Rat

特异性The antibody detects endogenous level of ADD1only when phosphorylated at serine 726.

免疫原类型Peptide-KLH

免疫原描述Peptide sequence around phosphorylation site of serine 726 (T-P-S(p)-F-L) derived from Human ADD1.

基因/蛋白名称ADD1

标记Unconjugated

别名ADDA; Erythrocyte adducin alpha subunit;

数据库入口号Swiss-Prot: P35611
NCBI Protein: NP_001110.2

Uniprot P35611

浓度1.0mg/ml

配方Supplied at 1.0mg/mL in phosphate buffered saline (without Mg2+ and Ca2+), pH 7.4, 150mM NaCl, 0.02% sodium azide and 50% glycerol.

保存Store at -20°C for long term preservation (recommended). Store at 4°C for short term use.

应用详情
Predicted MW: 130kd
Western blotting: 1:500~1:1000
Immunohistochemistry: 1:50~1:100
Immunofluorescence: 1:100~1:200
Western blot analysis of extracts from Hela cells using ADD1(Phospho-Ser726) Antibody #11182 and the same antibody preincubated with blocking peptide.
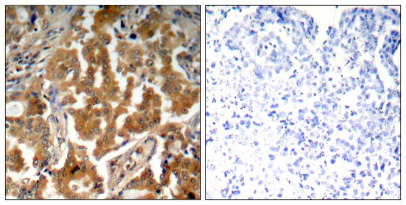
Immunohistochemical analysis of paraffin-embedded human lung carcinoma tissue using ADD1(Phospho-Ser726) Antibody #11182(left) or the same antibody preincubated with blocking peptide(right).
Immunofluorescence staining of methanol-fixed Hela cells using ADD1(Phospho-Ser726) Antibody #11182.
Adducins are a family of cytoskeleton proteins encoded by three genes (a, beta, gamma). Adducin is a heterodimeric protein that consists of related subunits, which are produced from distinct genes but share a similar structure. a- and beta-adducin include a protease-resistant N-terminal region and a protease-sensitive, hydrophilic C-terminal region. a- and gamma-adducins are ubiquitously expressed. In contrast, beta-adducin is expressed at high levels in brain and hematopoietic tissues. Adducin binds with high affinity to Ca(2+)/calmodulin and is a substrate for protein kinases A and C. Alternative splicing results in multiple variants encoding distinct isoforms; however, not all variants have been fully described.

Pariser H, et al. Proc Natl Acad Sci USA 2005 Aug 30; 102(35): 12407-12
Tamaru S, et al. Biochem Biophys Res Commun 2005 Jul 01; 332(2): 347-51
Barkalow KL, et al. J Cell Biol 2003 May 12; 161(3): 557-70

如果您使用该产品11182发表了文章,请通知我们,让我们可以引用您的文献。

et al,Adducin‐1 Facilitates Influenza Virus Endosomal Trafficking and Uncoating by Regulating Branched Actin Dynamics and Myosin IIB Activity , (2025),
PMID: 40472230

注释

应用

  • WB免疫印迹
  • IHC免疫组化
  • IF免疫荧光
  • ICC免疫细胞化学
  • FC流式细胞
  • IP免疫沉淀
  • E酶联免疫吸附法
  • DB免疫斑点法
  • ChIP染色质免疫沉淀
  • GICA胶体金免疫层析法
  • NC阴性对照

种属反应性

  • Hu
  • Ms小鼠
  • Rt大鼠
  • Dm果蝇
  • C线虫
  • Mk
  • Rb
  • B
  • D
  • P
  • Hm仓鼠
  • ChHm中国仓鼠
  • Chk
;

联系我们

Location :

南京市高新开发区星火路10号人才大厦C座

Phone :

400-9961-933
025-58868422

Email Address

info@sabbiotech.com