免费电话:400-9961-933
邮箱:info@sabbiotech.com
欢迎光临本站
川博智能体 English
位置: 首页 > 磷酸化抗体 > Histone H3.1(Phospho-Ser10) Antibody

Histone H3.1(Phospho-Ser10) Antibody #11184

是否有货: 有货
产品详情

产品名称Histone H3.1(Phospho-Ser10) Antibody

来源种属Rabbit

克隆性Polyclonal

纯化Antibodies were produced by immunizing rabbits with synthetic phosphopeptide and KLH conjugates. Antibodies were purified by affinity-chromatography using epitope-specific phosphopeptide. Non-phospho specific antibodies were removed by chromatogramphy using non-phosphopeptide.

应用WB IHC IF

种属反应性Human;Mouse;Rat

特异性The antibody detects endogenous level of Histone H3.1 onlywhen phosphorylated at serine 10.

免疫原类型Peptide-KLH

免疫原描述Peptide sequence around phosphorylation site of serine 10 (R-K-S(p)-T-G) derived from Human Histone H3.1.

基因/蛋白名称Histone H3.1

标记Unconjugated

别名H3/b, H3FB

数据库入口号Swiss-Prot: P68431
NCBI Protein: NP_003521.2

Uniprot P68431

实际分子量17

浓度1.0mg/ml

配方Supplied at 1.0mg/mL in phosphate buffered saline (without Mg2+ and Ca2+), pH 7.4, 150mM NaCl, 0.02% sodium azide and 50% glycerol.

保存Store at -20°C for long term preservation (recommended). Store at 4°C for short term use.

应用详情

Predicted MW: 17kd
Western blotting: 1:500~1:1000
Immunohistochemistry: 1:50~1:100
Immunofluorescence: 1:100~1:200

Immunohistochemical analysis of paraffin-embedded human breast carcinoma tissue using Histone H3.1(Phospho-Ser10) Antibody #11184(left) or the same antibody preincubated with blocking peptide(right).
Western blot analysis of extracts from SK-BR-3 cells, treated with insulin and EGF, and pretreated with U0126 and LY294002 cells using Histone H3.1 (Phospho-Ser10) Antibody #11184.
Immunofluorescence staining of methanol-fixed Hela cells using Histone H3.1 (Phospho-Ser10) Antibody #11184.
Immunofluorescence staining of methanol-fixed Hela cells using Histone H3.1 (Phospho-Ser10) Antibody #11184.
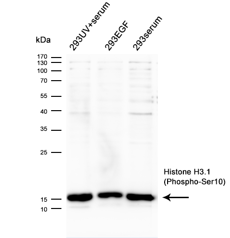
Western blot analysis of extracts of various cell lines, using Histone H3.1(Phospho-Ser10) Antibody #11184

Core component of nucleosome. Nucleosomes wrap and compact DNA into chromatin, limiting DNA accessibility to the cellular machineries which require DNA as a template. Histones thereby play a central role in transcription regulation, DNA repair, DNA replication and chromosomal stability. DNA accessibility is regulated via a complex set of post-translational modifications of histones, also called histone code, and nucleosome remodeling.

Dai J, et al. (2005) Genes Dev 19(4): 472-488.
Yih LH, et al. (2005) Carcinogenesis 26(1): 53-63.
 

如果您使用该产品11184发表了文章,请通知我们,让我们可以引用您的文献。

et al,PKM2 Regulates Chromosome Segregation and Mitosis Progression of Tumor Cells , (2014),
PMID: 24316223
et al,The protective effect of Alpha lipoic acid on Schwann cells exposed to constant or intermittent high glucose , (2012),
PMID: 22796564
et al,PKM2 phosphorylates histone H3 and promotes gene transcription and tumorigenesis. , (2012),
PMID: 22901803
et al,Resolvin D1 attenuates inflammation in lipopolysaccharide-induced acute lung injury through a process involving the PPAR娄脙/NF-娄脢B pathway , (2012),
PMID: 23199346
et al,PKM2 Phosphorylates Histone H3 and Promotes Gene Transcription and Tumorigenesis. In Cell on 2012 Aug 17 by Weiwei Yang, Yan Xia, et al..PMID: 22901803 , (2012),
PMID: 22901803
et al,Avian Blastoderm Dormancy Arrests Cells in G 2 and Suppresses Apoptosis.In FASEB J on 2017 Aug by Mee Hyun Ko Young Sun Hwang,et al..PMID: 28404741 , (2017),
PMID: 28404741
et al,UbcH10 overexpression increases carcinogenesis and blocks ALLN susceptibility in colorectal cancer.In Sci Rep on 2014 Nov 7 by Shang-Ze Li , Yang Song et al..PMID: 25376843 , (2014),
PMID: 25376843

注释

应用

  • WB免疫印迹
  • IHC免疫组化
  • IF免疫荧光
  • ICC免疫细胞化学
  • FC流式细胞
  • IP免疫沉淀
  • E酶联免疫吸附法
  • DB免疫斑点法
  • ChIP染色质免疫沉淀
  • GICA胶体金免疫层析法
  • NC阴性对照

种属反应性

  • Hu
  • Ms小鼠
  • Rt大鼠
  • Dm果蝇
  • C线虫
  • Mk
  • Rb
  • B
  • D
  • P
  • Hm仓鼠
  • ChHm中国仓鼠
  • Chk
;

联系我们

Location :

南京市高新开发区星火路10号人才大厦C座

Phone :

400-9961-933
025-58868422

Email Address

info@sabbiotech.com