免费电话:400-9961-933
邮箱:info@sabbiotech.com
欢迎光临本站
川博智能体 English
位置: 首页 > 磷酸化抗体 > HDAC2(Phospho-Ser394) Antibody

HDAC2(Phospho-Ser394) Antibody #11191

是否有货: 有货
产品详情

产品名称HDAC2(Phospho-Ser394) Antibody

来源种属Rabbit

克隆性Polyclonal

纯化Antibodies were produced by immunizing rabbits with synthetic phosphopeptide and KLH conjugates. Antibodies were purified by affinity-chromatography using epitope-specific phosphopeptide. Non-phospho specific antibodies were removed by chromatogramphy using non-phosphopeptide.

应用WB IHC IF

种属反应性Human;Mouse;Rat

特异性The antibody detects endogenous level of HDAC2 only when phosphorylated at serine 394.

免疫原类型Peptide-KLH

免疫原描述Peptide sequence around phosphorylation site of serine 394 (E-D-S(p)-G-D) derived from Human HDAC2.

基因/蛋白名称HDAC2

标记Unconjugated

别名HD2

数据库入口号Swiss-Prot: Q92769
NCBI Protein: NP_001518.2

Uniprot Q92769

浓度1.0mg/ml

配方Supplied at 1.0mg/mL in phosphate buffered saline (without Mg2+ and Ca2+), pH 7.4, 150mM NaCl, 0.02% sodium azide and 50% glycerol.

保存Store at -20°C for long term preservation (recommended). Store at 4°C for short term use.

应用详情

Predicted MW: 60kd
Western blotting: 1:500~1:1000
Immunohistochemistry: 1:50~1:100
Immunofluorescence: 1:100~1:200

Western blot analysis of extracts from 293 cells untreated or treated with EGF using HDAC2(Phospho-Ser394) Antibody #11191.
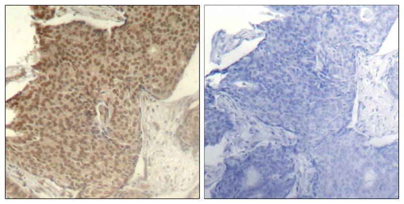
Immunohistochemical analysis of paraffin-embedded human breast carcinoma tissue using HDAC2(Phospho-Ser394) Antibody #11191(left) or the same antibody preincubated with blocking peptide(right).
Immunofluorescence staining of methanol-fixed Hela cells showing nuclear staining using HDAC2(Phospho-Ser394) Antibody #11191.
Western blot analysis of extracts from HepG2 cells, treated with calf intestinal phosphatase (CIP), using HDAC2 (Phospho-Ser394) Antibody #11191.

Responsible for the deacetylation of lysine residues on the N-terminal part of the core histones (H2A, H2B, H3 and H4). Histone deacetylation gives a tag for epigenetic repression and plays an important role in transcriptional regulation, cell cycle progression and developmental events. Histone deacetylases act via the formation of large multiprotein complexes

Tsai SC, et al.(2002)J Biol Chem; 277(35): 31826-33

如果您使用该产品11191发表了文章,请通知我们,让我们可以引用您的文献。

et al,Subchronic Exposure to Polystyrene Nanoplastics Disrupts Placental Development and Calcium Homeostasis: Insights from In Vivo and In Vitro Models , (2025),
PMID: 40171975

注释

应用

  • WB免疫印迹
  • IHC免疫组化
  • IF免疫荧光
  • ICC免疫细胞化学
  • FC流式细胞
  • IP免疫沉淀
  • E酶联免疫吸附法
  • DB免疫斑点法
  • ChIP染色质免疫沉淀
  • GICA胶体金免疫层析法
  • NC阴性对照

种属反应性

  • Hu
  • Ms小鼠
  • Rt大鼠
  • Dm果蝇
  • C线虫
  • Mk
  • Rb
  • B
  • D
  • P
  • Hm仓鼠
  • ChHm中国仓鼠
  • Chk
;

联系我们

Location :

南京市高新开发区星火路10号人才大厦C座

Phone :

400-9961-933
025-58868422

Email Address

info@sabbiotech.com