免费电话:400-9961-933
邮箱:info@sabbiotech.com
欢迎光临本站
川博智能体 English
位置: 首页 > 磷酸化抗体 > MEK1/MEK2(Phospho-Ser217/Ser221) Antibody

MEK1/MEK2(Phospho-Ser217/Ser221) Antibody #11205

是否有货: 有货
产品详情

产品名称MEK1/MEK2(Phospho-Ser217/Ser221) Antibody

来源种属Rabbit

克隆性Polyclonal

亚型IgG

纯化Antibodies were produced by immunizing rabbits with synthetic phosphopeptide and KLH conjugates. Antibodies were purified by affinity-chromatography using epitope-specific phosphopeptide. Non-phospho specific antibodies were removed by chromatogramphy using non-phosphopeptide.

应用IHC WB

种属反应性Human;Mouse;Rat

特异性The antibody detects endogenous level of MEK1/MEK2 only when phosphorylated at serine 217/221.

免疫原类型Peptide-KLH

免疫原描述Peptide sequence around phosphorylation site of serine 217/221 (I-D-S(p)-M-A) derived from Human MEK1/MEK2.

基因/蛋白名称MEK1/MEK2

标记Unconjugated

别名ERK activator kinase 1/ERK activator kinase2; MAP kinase kinase 1/MAP kinase kinase 2; MAP2K1/MAP2K1; MAPK/ERK kinase 1/MAPK/ERK kinase 2; MAPKK 1/MAPKK 1

数据库入口号Swiss-Prot: Q02750
NCBI Protein: NP _002746.1 NP _109587.1

Uniprot Q02750

浓度1.0mg/ml

配方Supplied at 1.0mg/mL in phosphate buffered saline (without Mg2+ and Ca2+), pH 7.4, 150mM NaCl, 0.02% sodium azide and 50% glycerol.

保存Store at -20°C for long term preservation (recommended). Store at 4°C for short term use.

应用详情
Predicted MW: 45kd
Western blotting: 1:500~1:1000
Immunohistochemistry: 1:50~1:100
Western blot analysis of extracts from Hela cell untreated or treated with UV MEK1/MEK2(Phospho-Ser217/Ser221) Antibody#11205
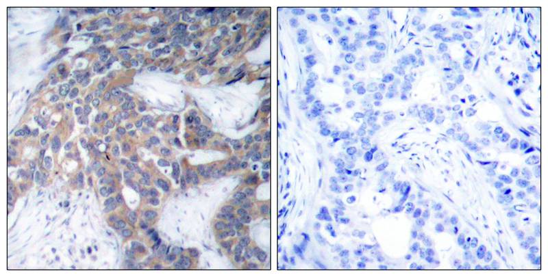
Immunohistochemical analysis of paraffin-embedded human breast carcinoma tissue using MEK1/MEK2(Phospho-Ser217/Ser221) Antibody #11205(left) or the same antibody preincubated with blocking peptide(right).
Catalyzes the concomitant phosphorylation of a threonine and a tyrosine residue in a Thr-Glu-Tyr sequence located in MAP kinases. Activates ERK1 and ERK2 MAP kinases.

Shen R, et al. (2002) Mol Cell Biol; 22(10): 3230-3236
Preisinger C, et al. (2005) EMBO J; 24(4): 753-765
Laine P, et al. (2000) Biochem J; 349(Pt 1): 19-25
Yaglom J, et al. (2003) Mol Cell Biol; 23(11): 3813-3824
Dahan S, et al. (2002) Infect Immun; 70(5): 2304-2310

如果您使用该产品11205发表了文章,请通知我们,让我们可以引用您的文献。

et al,G protein subunit 伪 q regulates gastric cancer growth via the p53/p21 and MEK/ERK pathways.In Oncol Rep on 2017 Apr by Yizhuo Wang , Huijie Xiao,et al..PMID: 28350126 , (2017),
PMID: 28350126
et al,Integrin 伪6/Akt/Erk signaling is essential for human breast cancer resistance to radiotherapy.In Sci Rep on 2016 Sep 14 by Ting Hu, Rui Zhou et al..PMID:27624978 , (2016),
PMID: 27624978
et al,Effect of Chaihushugan San on Expression of the Raf/mitogen-activated Protein Kinase/Extracellular Signal-Regulated Kinase Pathway in the Hippocampi of Perimenopausal Rats Induced by Immobilization Stress .In J Tradit Chin Med on 2015 Aug by Li Shengqiang, Liang Wenna et al..PMID:26427116 , (2015),
PMID: 26427116
et al,MicroRNA锟?46b, a sensitive indicator of mesenchymal stem cell repair of acute renal injury.In Stem Cells Transl Med on 2016 Oct by Yuan Zhu, Jing Yu et al..PMID:27400799 , (2016),
PMID: 27400799
et al,Suppressive action of acetate on interleukin锟? production via tubulin鈥愶拷?acetylation.In Immunol Cell Biol on 2014 Aug by Kazuhiro Ishiguro , Takafumi Ando et al..PMID:24777307 , (2014),
PMID: 24777307
et al,Exosomes Derived From Human Mesenchymal Stem Cells Confer Drug Resistance in Gastric Cancer.In Cell Cycle on 2015 Aug 3 by Runbi Ji , Bin Zhang et al..PMID:26091251 , (2015),
PMID: 26091251
et al,Mycoplasma ovipneumoniae induces sheep airway epithelial cell apoptosis through an ERK signalling-mediated mitochondria pathway. In BMC Microbiol on 2016 Sep 23 by Yanan Li, Zhongjia Jiang,et al..PMID:27663303 , (2016),
PMID: 27663303
查看更多
et al,TMEM16A-inhibitor loaded pH-responsive nanoparticles: A novel dual-targeting antitumor therapy for lung adenocarcinoma. In Biochem Pharmacol on 2020 Aug by Shuai Guo, Liang Qiu,et al..PMID:32492446 , (2020),
PMID: 32492446
et al,Inhibition of TMEM16A by Natural Product Silibinin: Potential Lead Compounds for Treatment of Lung Adenocarcinoma. In Front Pharmacol on 2021 Apr 14 by Shuai Guo, Xue Bai, et al..PMID:33935737 , (2021),
PMID: 33935737
et al,TMEM16A, a Homoharringtonine Receptor, as a Potential Endogenic Target for Lung Cancer Treatment. In Int J Mol Sci on 2021 Oct 10 by Shuai Guo, Xue Bai, et al..PMID:34681590 , (2021),
PMID: 34681590
et al,Matairesinoside, a novel inhibitor of TMEM16A ion channel, loaded with functional hydrogel for lung cancer treatment. In Int J Biol Macromol on 2024 Apr by Zhichen Wang, Ruili Geng, et al..PMID:38447844 , (2024),
PMID: 38447844
et al,7?dehydrocholesterol suppresses melanoma cell proliferation and invasion via Akt1/NF?kB signaling,In Oncol Lett on 2020 Dec by Jia Liu, Feiliang Zhong, et al..PMID: 33193858 , (2020),
PMID: 33193858
et al,Mechanism of the Proprietary Chinese Medicine “JiuLiWan” to Treat Ulcerative Colitis Revealed by Network Pharmacology, Molecular Docking, and Experimental … , (2025),
PMID: 40415848
et al,Response of MAPK pathway to iron oxide nanoparticles in vitro treatment promotes osteogenic differentiation of hBMSCs.In Biomaterials.On 2016 Apr by Wang Q, Chen B et al..PMID:26874888 , (2016),
PMID: 26874888

注释

应用

  • WB免疫印迹
  • IHC免疫组化
  • IF免疫荧光
  • ICC免疫细胞化学
  • FC流式细胞
  • IP免疫沉淀
  • E酶联免疫吸附法
  • DB免疫斑点法
  • ChIP染色质免疫沉淀
  • GICA胶体金免疫层析法
  • NC阴性对照

种属反应性

  • Hu
  • Ms小鼠
  • Rt大鼠
  • Dm果蝇
  • C线虫
  • Mk
  • Rb
  • B
  • D
  • P
  • Hm仓鼠
  • ChHm中国仓鼠
  • Chk
;

联系我们

Location :

南京市高新开发区星火路10号人才大厦C座

Phone :

400-9961-933
025-58868422

Email Address

info@sabbiotech.com