免费电话:400-9961-933
邮箱:info@sabbiotech.com
欢迎光临本站
川博智能体 English
位置: 首页 > 磷酸化抗体 > FAK(Phospho-Tyr397) Antibody

FAK(Phospho-Tyr397) Antibody #11215

是否有货: 有货
产品详情

产品名称FAK(Phospho-Tyr397) Antibody

来源种属Rabbit

克隆性Polyclonal

纯化Antibodies were produced by immunizing rabbits with synthetic phosphopeptide and KLH conjugates. Antibodies were purified by affinity-chromatography using epitope-specific phosphopeptide. Non-phospho specific antibodies were removed by chromatogramphy using non-phosphopeptide.

应用WB IHC

种属反应性Human;Mouse;Rat

特异性The antibody detects endogenous level of FAK only when phosphorylated at Tyrosine 397.

免疫原类型Peptide-KLH

免疫原描述Peptide sequence around phosphorylation site of tyrosine 397(D-D-Y(p)-A-E)derived from Human FAK.

基因/蛋白名称FAK

标记Unconjugated

别名FAK; FAK1; PTK2

数据库入口号Swiss-Prot: Q05397
NCBI Protein: NP_001186578.1

Uniprot Q05397

浓度1.0mg/ml

配方Supplied at 1.0mg/mL in phosphate buffered saline (without Mg2+ and Ca2+), pH 7.4, 150mM NaCl, 0.02% sodium azide and 50% glycerol.

保存Store at -20°C for long term preservation (recommended). Store at 4°C for short term use.

应用详情

Predicted MW: 125kd
Western blotting: 1:500~1:1000
 Immunohistochemistry: 1:50 - 1:100 

Western blot analysis of extract from 293 cells untreated or treated with EGF using FAK(Phospho-Tyr397) Antibody using #11215
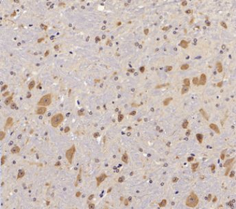
Immunohistochemical analysis of paraffin-embedded Mouse-brain tissue.

Non-receptor protein-tyrosine kinase implicated in signaling pathways involved in cell motility, proliferation and apoptosis. Activated by tyrosine-phosphorylation in response to either integrin clustering induced by cell adhesion or antibody cross-linking, or via G-protein coupled receptor (GPCR) occupancy by ligands such as bombesin or lysophosphatidic acid, or via LDL receptor occupancy. Microtubule-induced dephosphorylation at Tyr-397 is crucial for the induction of focal adhesion disassembly. Plays a potential role in oncogenic transformations resulting in increased kinase activity.

Matsuya M.et.al. (1998)J. Biol. Chem. 273:1003-1014
Fujita H.et.al. (1998)J. Biol. Chem. 273:26516-26521
Le Romancer M.et.al. (2008)Mol. Cell 31:212-221

如果您使用该产品11215发表了文章,请通知我们,让我们可以引用您的文献。

et al,Inhibition of hypoxia-induced epithelial mesenchymal transition by luteolin in non-small cell lung cancer cells , (2012),
PMID: 22552526
et al,PTBP3 contributes to the metastasis of gastric cancer by mediating CAV1 alternative splicing.In Cell Death Dis.On 2018 May 1 by PMID: 29752441 , (2018),
PMID: 29752441
et al,Luteolin reduces the invasive potential of malignant melanoma cells by targeting 尾3 integrin and the epithelial-mesenchymal transition.In Acta Pharmacol Sin on 2012 Oct by Ruan JS, Liu YP,et al..PMID:22983392 , (2012),
PMID: 22983392
et al,Identification of zinc finger protein of the cerebellum 5 as a survival factor of prostate and colorectal cancer cells.In Cancer Sci on 2017 Dec by Reiko Satow , Shota Inagaki,et al..PMID: 29024195 , (2017),
PMID: 29024195
et al,Anti-cancer effect of orally absorbable heparin on orthotopically induced exocrine and endocrine pancreatic cancer. In Cancers (Basel) on 2021 Nov 18 by Hae Hyun Hwang, Hee Jeong Jeong, et al..PMID:34830928 , (2021),
PMID: 34830928
et al,Focal adhesion kinase signaling is necessary for the hydrogen sulfide-enhanced proliferation, migration and invasion of HTR8/SVneo human trophoblasts , (2022),
PMID:
et al,Isobutyric acid promotes colorectal cancer metastasis through activating RACK1 In Cancer Sci On2023 OctbyJinglian Chen , Jiali Tang et al..PMID:37519194 , (2023),
PMID: 37519194
查看更多
et al,Focal adhesion kinase signaling is necessary for the hydrogen sulfide-enhanced proliferation, migration, and invasion of HTR8/SVneo human trophoblastsInOnby et al..PMID: , (2023),
PMID:
et al,FAK downregulation suppresses stem-like properties and migration of human colorectal cancer cellsIn PLoS OneOn2023 Apr 21byChunyan Xu? ,?Wenlu Zhang et al..PMID:37083591 , (2023),
PMID: 37083591
et al,GFRα1 Promotes Axon Regeneration after Peripheral Nerve Injury by Functioning as a Ligand. , (2025),
PMID: 39630029

注释

应用

  • WB免疫印迹
  • IHC免疫组化
  • IF免疫荧光
  • ICC免疫细胞化学
  • FC流式细胞
  • IP免疫沉淀
  • E酶联免疫吸附法
  • DB免疫斑点法
  • ChIP染色质免疫沉淀
  • GICA胶体金免疫层析法
  • NC阴性对照

种属反应性

  • Hu
  • Ms小鼠
  • Rt大鼠
  • Dm果蝇
  • C线虫
  • Mk
  • Rb
  • B
  • D
  • P
  • Hm仓鼠
  • ChHm中国仓鼠
  • Chk
;

联系我们

Location :

南京市高新开发区星火路10号人才大厦C座

Phone :

400-9961-933
025-58868422

Email Address

info@sabbiotech.com