免费电话:400-9961-933
邮箱:info@sabbiotech.com
欢迎光临本站
川博智能体 English
位置: 首页 > 磷酸化抗体 > Pyk2(Phospho-Tyr402) Antibody

Pyk2(Phospho-Tyr402) Antibody #11216

是否有货: 有货
产品详情

产品名称Pyk2(Phospho-Tyr402) Antibody

来源种属Rabbit

克隆性Polyclonal

纯化Antibodies were produced by immunizing rabbits with synthetic phosphopeptide and KLH conjugates. Antibodies were purified by affinity-chromatography using epitope-specific phosphopeptide. Non-phospho specific antibodies were removed by chromatogramphy using non-phosphopeptide.

应用WB IHC IF

种属反应性Human;Mouse;Rat

特异性The antibody detects endogenous level of Pyk2 only when phosphorylated at tyrosine 402.

免疫原类型Peptide-KLH

免疫原描述Peptide sequence around phosphorylation site of tyrosine 402 (D-I-Y(p)-A-E) derived from Human Pyk2.

基因/蛋白名称Pyk2

标记Unconjugated

别名FADK 2; FAK2; Focal adhesion kinase 2; PTK2B; Proline-rich tyrosine kinase 2 RAFTK

数据库入口号Swiss-Prot: Q14289
NCBI Protein: NP_004094.3

Uniprot Q14289

浓度1.0mg/ml

配方Supplied at 1.0mg/mL in phosphate buffered saline (without Mg2+ and Ca2+), pH 7.4, 150mM NaCl, 0.02% sodium azide and 50% glycerol.

保存Store at -20°C for long term preservation (recommended). Store at 4°C for short term use.

应用详情
Predicted MW: 116kd
Western blotting: 1:500~1:1000
Immunohistochemistry: 1:50~1:100
Immunofluorescence: 1:100~1:200
Western blot analysis of extracts from 293 cells untreated or treated with Serum using Pyk2(Phospho-Tyr402) Antibody #11216.
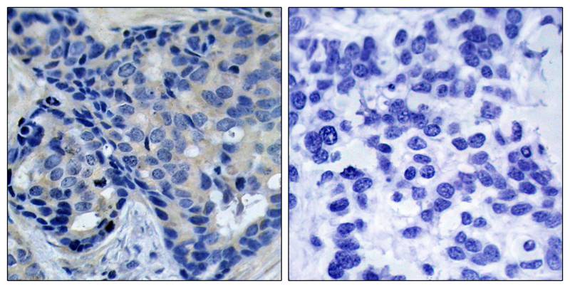
Immunohistochemical analysis of paraffin-embedded human breast carcinoma tissue using Pyk2(Phospho-Tyr402) Antibody #11216(left) or the same antibody preincubated with blocking peptide(right).
Immunofluorescence staining of methanol-fixed Hela cells using Pyk2(Phospho-Tyr402) Antibody #11216.
Involved in calcium induced regulation of ion channel and activation of the map kinase signaling pathway. May represent an important signaling intermediate between neuropeptide activated receptors or neurotransmitters that increase calcium flux and the downstream signals that regulate neuronal activity. Interacts with the SH2 domain of Grb2. May phosphorylate the voltage-gated potassium channel protein Kv1.2. Its activation is highly correlated with the stimulation of c-Jun N-terminal kinase activity. Involved in osmotic stress-dependent SNCA 'Tyr-125' phosphorylation.

Gluck SL, et al. (2004) J Clin Invest; 114(12): 1696-1699
Benzing T, et al. (2001) Proc Natl Acad Sci U S A; 98(17): 9784-9789
Tian D, et al. (2002) Mol Cell Biol; 22(8): 2650-2662
Lu Z, et al. (2001) Mol Cell Biol; 21(12): 4016-4031
Krishnan HH, et al. (2006) J Virol; 80(3): 1167-1180

如果您使用该产品11216发表了文章,请通知我们,让我们可以引用您的文献。

et al,Serum Calcium-decreasing Factor, Caldecrin, Inhibits Receptor Activator of NF- B Ligand (RANKL)-mediated Ca2 Signaling and Actin Ring Formation in Mature Osteoclasts via Suppression of Src Signaling Pathway. , (2012),
PMID: 22461633
et al,Serum Calcium-decreasing Factor, Caldecrin, Inhibits Receptor Activator of NF-魏B Ligand (RANKL)-mediated Ca2+ Signaling and Actin Ring Formation in Mature Osteoclasts via Suppression of Src Signaling Pathway. In J Biol Chem on 2012 May 25 by Mineko Tomomura, Hiroya Hasegawa, et al..PMID:22461633 , (2012),
PMID: 22461633
et al,Potential Involvement of M1 Macrophage and VLA4/VCAM-1 Pathway in the Valvular Damage Due to Rheumatic Heart Disease. In Front Biosci (Landmark Ed) on 2024 Jun 18 by Shenglin Xian, Yuan Li,et al..PMID:38940032 , (2024),
PMID: 38940032
et al,Calcium Channel Blocker Lacidipine Promotes Antitumor Immunity by Reprogramming Tryptophan Metabolism. , (2025),
PMID: 39585774

注释

应用

  • WB免疫印迹
  • IHC免疫组化
  • IF免疫荧光
  • ICC免疫细胞化学
  • FC流式细胞
  • IP免疫沉淀
  • E酶联免疫吸附法
  • DB免疫斑点法
  • ChIP染色质免疫沉淀
  • GICA胶体金免疫层析法
  • NC阴性对照

种属反应性

  • Hu
  • Ms小鼠
  • Rt大鼠
  • Dm果蝇
  • C线虫
  • Mk
  • Rb
  • B
  • D
  • P
  • Hm仓鼠
  • ChHm中国仓鼠
  • Chk
;

联系我们

Location :

南京市高新开发区星火路10号人才大厦C座

Phone :

400-9961-933
025-58868422

Email Address

info@sabbiotech.com