免费电话:400-9961-933
邮箱:info@sabbiotech.com
欢迎光临本站
川博智能体 English
位置: 首页 > 磷酸化抗体 > mTOR(Phospho-Ser2448) Antibody

mTOR(Phospho-Ser2448) Antibody #11221

是否有货: 有货
产品详情

产品名称mTOR(Phospho-Ser2448) Antibody

来源种属Rabbit

克隆性Polyclonal

纯化Antibodies were produced by immunizing rabbits with synthetic phosphopeptide and KLH conjugates. Antibodies were purified by affinity-chromatography using epitope-specific phosphopeptide. Non-phospho specific antibodies were removed by chromatogramphy using non-phosphopeptide.

应用WB IHC IF

种属反应性Human;Mouse;Rat

特异性The antibody detects endogenous level of mTOR only when phosphorylated at serine 2448.

免疫原类型Peptide-KLH

免疫原描述Peptide sequence around phosphorylation site of serine 2448 (T-D-S(p)-Y-S) derived from Human mTOR.

基因/蛋白名称mTOR

标记Unconjugated

别名FRAP; FRAP1; FRAP2; RAFT1;

数据库入口号Swiss-Prot: P42345
NCBI Protein: NP_004949.1

Uniprot P42345

浓度1.0mg/ml

配方Supplied at 1.0mg/mL in phosphate buffered saline (without Mg2+ and Ca2+), pH 7.4, 150mM NaCl, 0.02% sodium azide and 50% glycerol.

保存Store at -20°C for long term preservation (recommended). Store at 4°C for short term use.

应用详情

Predicted MW: 289kd
Western blotting: 1:500~1:1000
Immunohistochemistry: 1:50~1:100
Immunofluorescence: 1:100~1:200

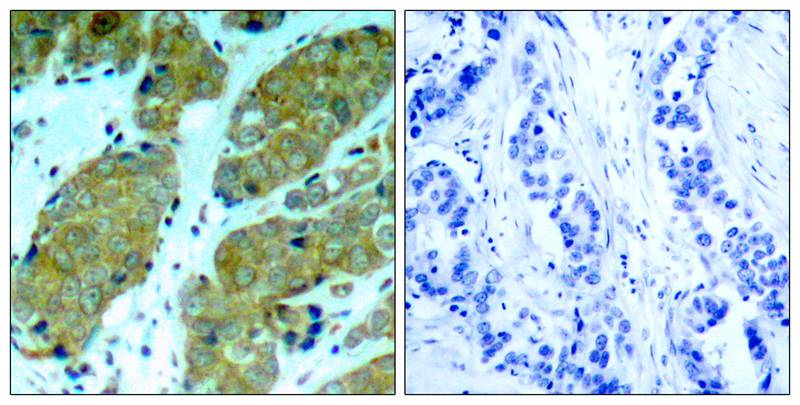
Immunohistochemical analysis of paraffin-embedded human breast carcinoma tissue using mTOR(Phospho-Ser2448) Antibody #11221(left) or the same antibody preincubated with blocking peptide(right).
Immunofluorescence staining of methanol-fixed MCF cells using mTOR(Phospho-Ser2448) Antibody #11221.
Western blot analysis of extracts from 293 cells untreatedor treated with PMA using mTOR(Phospho-Ser2448) Antibody #11221.
Immunohistochemical analysis ofparaffin-embedded human breast carcinomatissue using mTOR (Phospho-Ser2448) Antibody #11221
Western blot analysis of extracts from Hela cells, treatedwith IFNa or calf intestinal phosphatase (CIP), using mTOR(Phospho-Ser2448) Antibody #11221.

Kinase subunit of both mTORC1 and mTORC2, which regulate cell growth and survival in response to nutrient and hormonal signals. mTORC1 is activated in response to growth factors or amino-acids. Amino-acid-signaling to mTORC1 is mediated by Rag GTPases, which cause amino-acid-induced relocalization of mTOR within the endomembrane system. Growth factor-stimulated mTORC1 activation involves AKT1-mediated phosphorylation of TSC1-TSC2, which leads to the activation of the RHEB GTPase that potently activates the protein kinase activity of mTORC1. Activated mTORC1 up-regulates protein synthesis by phosphorylating key regulators of mRNA translation and ribosome synthesis. mTORC1 phosphorylates EIF4EBP1 and releases it from inhibiting the elongation initiation factor 4E (eiF4E). mTORC1 phosphorylates and activates S6K1 at 'Thr-421', which then promotes protein synthesis by phosphorylating PDCD4 and targeting it for degradation. mTORC2 is also activated by growth factors, but seems to be nutrient-insensitive. mTORC2 seems to function upstream of Rho GTPases to regulate the actin cytoskeleton, probably by activating one or more Rho-type guanine nucleotide exchange factors. mTORC2 promotes the serum-induced formation of stress-fibers or F-actin. mTORC2 plays a critical role in AKT1 'Ser-473' phosphorylation, which may facilitate the phosphorylation of the activation loop of AKT1 on 'Thr-308' by PDK1 which is a prerequisite for full activation. mTORC2 regulates the phosphorylation of SGK1 at 'Ser-422'. mTORC2 also modulates the phosphorylation of PRKCA on 'Ser-657'.

Albanell J,et al.(2007)Clin Transl Oncol.9(8):484-93.
Huang JJ,et al.

如果您使用该产品11221发表了文章,请通知我们,让我们可以引用您的文献。

et al,Spatiotemporal Characterization of mTOR Kinase Activity Following Kainic Acid Induced Status Epilepticus and Analysis of Rat Brain Response to Chronic Rapamycin Treatment. , (2013),
PMID: 23724051
et al,5-HT 2 receptor mediates high-fat diet-induced hepatic steatosis and very low density lipoprotein overproduction in rats.In Obes Res Clin Pract. On 2018 Jan - Feb by Li X, Guo K et al..PMID: 27133527 , (2018),
PMID: 27133527
et al,Epithelial Cells Attenuate Toll-Like Receptor-Mediated Inflammatory Responses in Monocyte-Derived Macrophage-Like Cells to Mycobacterium tuberculosis by Modulating the PI3K/Akt/mTOR Signaling Pathway.In Mediators Inflamm.On 2018 Sep by Yang Y, Sun Y et al..PMID:30356420 , (2018),
PMID: 30356420
et al,Immunohistochemical assessment of growth factor signalIng molecules: MAPK, Akt, and STAT3 pathways In oral epithelial precursor lesions and squamous cell carcInoma. In Odontology on 2019 May 6 by Tashiro K, Oikawa M, et al..PMID:31062130 , (2019),
PMID: 31062130
et al,Immunohistochemical assessment of growth factor signaling molecules: MAPK, Akt, and STAT3 pathways in oral epithelial precursor lesions and squamous cell carcinoma.In Odontology on 2020 Jan; by Tashiro K, Oikawa M, et al..PMID: 31062130 , (2020),
PMID: 31062130
et al,5-Aza-2'-deoxycytidine inhibited PDGF-induced rat airway smooth muscle cell phenotypic switching.In Arch Toxicol on 2013 May by Ning Y, Huang H,et al..PMID: 23423710 , (2013),
PMID: 23423710
et al,Spatiotemporal Characterization of mTOR Kinase Activity Following Kainic Acid Induced Status Epilepticus and Analysis of Rat Brain Response to Chronic Rapamycin Treatment. In PLoS One on 2013 May 28 by Matylda Macias, Magdalena Blazejczyk, et al..PMID: 23724051 , (2013),
PMID: 23724051
查看更多
et al,Tunneling Nanotubes Promote Intercellular Mitochondria Transfer Followed by Increased Invasiveness in Bladder Cancer Cells.In Oncotarget on 2017 Feb 28 by Jinjin Lu, Xiufen Zheng,et al..PMID: 28107184 , (2017),
PMID: 28107184
et al,Propranolol Sensitizes Thyroid Cancer Cells to Cytotoxic Effect of Vemurafenib.In Oncol Rep on 2016 Sep by Wei-Jun Wei , Chen-Tian Shen et al..PMID:27432558 , (2016),
PMID: 27432558
et al,TDRG1 regulates chemosensitivity of seminoma TCam-2 cells to cisplatin via PI3K/Akt/mTOR signaling pathway and mitochondria-mediated apoptotic pathway.In Cancer Biol Ther on 2016 Jul 2 by Yu Gan , Yong Wang et al..PMID:27104982 , (2016),
PMID: 27104982
et al,Long-term Stress with Hyperglucocorticoidemia-induced Hepatic Steatosis with VLDL Overproduction Is Dependent on both 5-HT2 Receptor and 5-HT Synthesis in Liver.In Int J Biol Sci on 2016 Jan 1 by Jihua Fu , Shaoxin Ma et al..PMID: 26884719 , (2016),
PMID: 26884719
et al,H2O2 treatment or serum deprivation induces autophagy and apoptosis in naked mole-rat skin fibroblasts by inhibiting the PI3K/Akt signaling pathway.In Oncotarget on 2016 Dec 20 by Shanmin Zhao, Li Li et al..PMID:27863375 , (2016),
PMID: 27863375
et al,Effective treatment with combination of peripheral 5鈥恏ydroxytryptamine synthetic inhibitor and 5鈥恏ydroxytryptamine 2 receptor antagonist on glucocorticoid鈥恑nduced whole鈥恇ody insulin resistance with hyperglycemia.In J Diabetes Investig on 2016 Nov by Shaoxin Ma , Tao Li et al..PMID:27177506 , (2016),
PMID: 27177506
et al,Amlexanox Enhances Temozolomide-Induced Antitumor Effects in Human Glioblastoma Cells by Inhibiting IKBKE and the Akt-mTOR Signaling Pathway. In ACS Omega on 2021 Feb 5 by Jinbiao Xiong, Gaochao Guo, et al..PMID:33644550 , (2020),
PMID: 33644550
et al,A Novel Late-Stage Autophagy Inhibitor That Efficiently Targets Lysosomes Inducing Potent Cytotoxic and Sensitizing Effects in Lung Cancer. In Cancers (Basel) on 2022 Jul 12 by Adrià Molero-Valenzuela, Pere Fontova, et al..PMID: 35884450 , (2022),
PMID: 35884450
et al,The AMPK-dependent inhibition of autophagy plays a crucial role in protecting photoreceptor from photooxidative injury In J Photochem Photobiol B On2023 AugbyYu-Lin Li , Tian-Zi Zhang et al..PMID:37302163 , (2023),
PMID: 37302160

注释

应用

  • WB免疫印迹
  • IHC免疫组化
  • IF免疫荧光
  • ICC免疫细胞化学
  • FC流式细胞
  • IP免疫沉淀
  • E酶联免疫吸附法
  • DB免疫斑点法
  • ChIP染色质免疫沉淀
  • GICA胶体金免疫层析法
  • NC阴性对照

种属反应性

  • Hu
  • Ms小鼠
  • Rt大鼠
  • Dm果蝇
  • C线虫
  • Mk
  • Rb
  • B
  • D
  • P
  • Hm仓鼠
  • ChHm中国仓鼠
  • Chk
;

联系我们

Location :

南京市高新开发区星火路10号人才大厦C座

Phone :

400-9961-933
025-58868422

Email Address

info@sabbiotech.com