免费电话:400-9961-933
邮箱:info@sabbiotech.com
欢迎光临本站
川博智能体 English
位置: 首页 > 磷酸化抗体 > 4E-BP1(Phospho-Thr37) Antibody

4E-BP1(Phospho-Thr37) Antibody #11222

是否有货: 有货
产品详情

产品名称4E-BP1(Phospho-Thr37) Antibody

来源种属Rabbit

克隆性Polyclonal

亚型IgG

纯化Antibodies were produced by immunizing rabbits with synthetic phosphopeptide and KLH conjugates. Antibodies were purified by affinity-chromatography using epitope-specific phosphopeptide. Non-phospho specific antibodies were removed by chromatogramphy using non-phosphopeptide.

应用WB IHC

种属反应性Human;Mouse;Rat

特异性The antibody detects endogenous level of 4E-BP1 only when phosphorylated at threonine 36.

免疫原类型Peptide-KLH

免疫原描述Peptide sequence around phosphorylation site of threonine 37(S-T-T(p)-P-G) derived from Human 4E-BP1.

基因/蛋白名称4E-BP1

标记Unconjugated

别名BP-1; 4EBP1; 4E-BP1; PHAS-I;

数据库入口号Swiss-Prot: Q13541; NCBI Gene ID: 1978; NCBI mRNA: NM_004095.3; NCBI Protein: NP_004086.1

Uniprot Q13541

计算分子量13 kDa

实际分子量15-20 kDa

浓度1.0mg/ml

配方Supplied at 1.0mg/mL in phosphate buffered saline (without Mg2+ and Ca2+), pH 7.4, 150mM NaCl, 0.02% sodium azide and 50% glycerol.

保存Store at -20°C

应用详情
Predicted MW: 18kd
Western blotting : 1:500~1:1000
Immunohistochemistry: 1:50~1:100
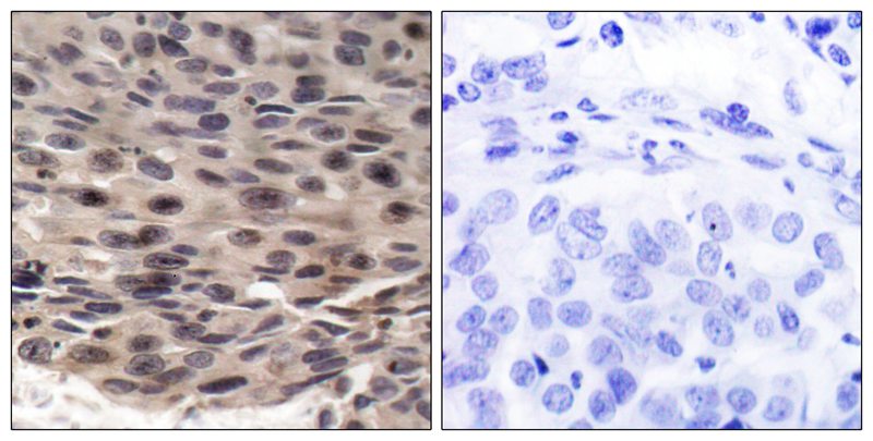
Immunohistochemical analysis of paraffin-embedded human breast carcinoma, using 4E-BP1 (phospho-Thr36) antibody (#11222).
All lanes : 4E-BP1(Phospho-Thr37) Antibody at 1/500 dilution
Lane 1 : MDA-MB-435 whole cell lysates
Lane 2 : MDA-MB-435 treated with 200ng/ml EGF for 30 minutes whole cell lysates
Lysates/proteins at 20 µg per lane.
Secondary
All lanes : Goat Anti-Rabbit IgG H&L (HRP) at 1/20000 dilution
Predicted band size: 13 kDa
Observed band size: 15-20
Exposure time: 7 seconds

 Regulates eIF4E activity by preventing its assembly into the eIF4F complex. Mediates the regulation of protein translation by hormones, growth factors and other stimuli that signal through the MAP kinase and mTORC1 pathways.

如果您使用该产品11222发表了文章,请通知我们,让我们可以引用您的文献。

et al,Monotropein inhibits epithelial-mesenchymal transition in chronic colitis via the mTOR/P70S6K pathway. , (2025),
PMID: 40041493

注释

应用

  • WB免疫印迹
  • IHC免疫组化
  • IF免疫荧光
  • ICC免疫细胞化学
  • FC流式细胞
  • IP免疫沉淀
  • E酶联免疫吸附法
  • DB免疫斑点法
  • ChIP染色质免疫沉淀
  • GICA胶体金免疫层析法
  • NC阴性对照

种属反应性

  • Hu
  • Ms小鼠
  • Rt大鼠
  • Dm果蝇
  • C线虫
  • Mk
  • Rb
  • B
  • D
  • P
  • Hm仓鼠
  • ChHm中国仓鼠
  • Chk
;

联系我们

Location :

南京市高新开发区星火路10号人才大厦C座

Phone :

400-9961-933
025-58868422

Email Address

info@sabbiotech.com