免费电话:400-9961-933
邮箱:info@sabbiotech.com
欢迎光临本站
川博智能体 English
位置: 首页 > 磷酸化抗体 > 4E-BP1(Phospho-Thr46) Antibody

4E-BP1(Phospho-Thr46) Antibody #11223

是否有货: 有货
产品详情

产品名称4E-BP1(Phospho-Thr46) Antibody

来源种属Rabbit

克隆性Polyclonal

亚型IgG

纯化Antibodies were produced by immunizing rabbits with synthetic phosphopeptide and KLH conjugates. Antibodies were purified by affinity-chromatography using epitope-specific phosphopeptide. Non-phospho specific antibodies were removed by chromatogramphy using non-phosphopeptide.

应用WB IHC

种属反应性Human;Mouse;Rat

特异性The antibody detects endogenous level of 4E-BP1 only when phosphorylated at Threonine 46.

免疫原类型Peptide-KLH

免疫原描述Peptide sequence around phosphorylation site of threonine 46 (S-T-T(p)-P-G) derived from Human 4E-BP1.

基因/蛋白名称4E-BP1

标记Unconjugated

别名EIF4EBP1; PHAS-1;

数据库入口号Swiss-Prot: Q13541
NCBI Protein: NP_004086.1

Uniprot Q13541

计算分子量13 kDa

实际分子量15-20 kDa

浓度1.0mg/ml

配方Supplied at 1.0mg/mL in phosphate buffered saline (without Mg2+ and Ca2+), pH 7.4, 150mM NaCl, 0.02% sodium azide and 50% glycerol.

保存Store at -20°C for long term preservation (recommended). Store at 4°C for short term use.

应用详情

Predicted MW: 18kd
Western blotting: 1:500~1:1000
Immunohistochemistry: 1:50~1:100

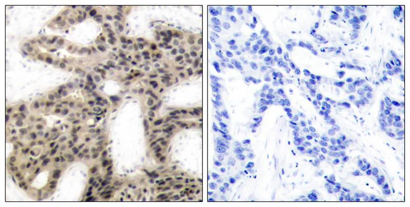
Immunohistochemical analysis of paraffin-embedded human breast carcinoma tissue using 4E-BP1(Phospho-Thr46) Antibody #11223(left) or the same antibody preincubated with blocking peptide(right).
All lanes : 4E-BP1(Phospho-Thr46) Antibody at 1/500 dilution
Lane 1 : 293T whole cell lysates
Lane 2 : 293T treated with 100nM insulin for 20min whole cell lysates
Lysates/proteins at 20 µg per lane.
Secondary
All lanes : Goat Anti-Rabbit IgG H&L (HRP) at 1/20000 dilution
Predicted band size: 13 kDa
Observed band size: 15-20 kDa
Exposure time: 5 seconds

4E-BP1 encodes one member of a family of translation repressor proteins. The protein directly interacts with eukaryotic translation initiation factor 4E (eIF4E), which is a limiting component of the multisubunit complex that recruits 40S ribosomal subunits to the 5' end of mRNAs. Interaction of this protein with eIF4E inhibits complex assembly and represses translation. This protein is phosphorylated in response to various signals including UV irradiation and insulin signaling, resulting in its dissociation from eIF4E and activation of mRNA translation.

Gingras AC, et al. (1998) Genes Dev 12(4): 502-513.
Brugarolas J, et al. (2004) Genes Dev 18(23): 2893-2904.
Kumar V, et al. (2000) EMBO J 19(5): 1087-1097.
Moody CA, et al. (2005) J Virol 79(9): 5499-5506.
Burnett PE, et al. (1998) Proc Natl Acad Sci U S A 95(4): 1432-1437.

如果您使用该产品11223发表了文章,请通知我们,让我们可以引用您的文献。

et al,Thoracic aortic disease in tuberous sclerosis complex: molecular pathogenesis and potential therapies in Tsc2+/篓C mice. , (2010),
PMID: 20159776
et al,Thoracic aortic disease in tuberous sclerosis complex: molecular pathogenesis and potential therapies in Tsc2+/锟?mice. In Hum Mol Genet on 2010 May 15 by Jiumei Cao, Limin Gong, et al..PMID: 20159776 , (2010),
PMID: 20159776
et al,Inhibition of mTOR signaling protects photoreceptor cells against serum deprivation by reducing oxidative stress and inducing G2/M cell cycle arrest.In Mol Med Rep on 2016 May by Bin Fan , Fu-Qaing Li et al..PMID: 27035647 , (2016),
PMID: 27035647
et al,The AMPK-dependent inhibition of autophagy plays a crucial role in protecting photoreceptor from photooxidative injury In J Photochem Photobiol B On2023 AugbyYu-Lin Li , Tian-Zi Zhang et al..PMID:37302163 , (2023),
PMID: 37302163

注释

应用

  • WB免疫印迹
  • IHC免疫组化
  • IF免疫荧光
  • ICC免疫细胞化学
  • FC流式细胞
  • IP免疫沉淀
  • E酶联免疫吸附法
  • DB免疫斑点法
  • ChIP染色质免疫沉淀
  • GICA胶体金免疫层析法
  • NC阴性对照

种属反应性

  • Hu
  • Ms小鼠
  • Rt大鼠
  • Dm果蝇
  • C线虫
  • Mk
  • Rb
  • B
  • D
  • P
  • Hm仓鼠
  • ChHm中国仓鼠
  • Chk
;

联系我们

Location :

南京市高新开发区星火路10号人才大厦C座

Phone :

400-9961-933
025-58868422

Email Address

info@sabbiotech.com